| Рис. 6.1. Сонограмма правой почки. Почка бобовидной формы. Кортико-медулярная зона относительно гипоэхогенна. Чашечно-лоханочный комплекс повышенной эхогенности. Норма. |
| Рис. 6.2. Сонограмма мочевого пузыря и предстательной железы (сагиттальная плоскость). Мочевой пузырь− норма. Предстательная железа увеличена, структура ее неоднородная – доброкачественная гиперплазия предстательной железы. |
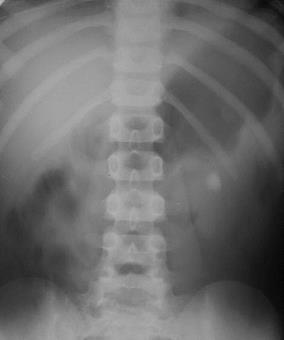
| Рис. 6.3. Экскреторная урограмма. 7 мин. Изображение чашечек, лоханок, мочеточников и мочевого пузыря. Норма. |
| Рис. 6.4. Ретроградная пиелография слева. Более контрастное изображение чашечек, лоханки по сравнению с экскреторной урограммой. Норма. |
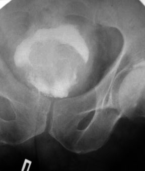
| Рис. 6.5. Прицельная рентгенограмма таза. Цистография. Определяется обширный дефект наполнения связанный со стенкой мочевого пузыря с неровными контурами. Рак мочевого пузыря. |
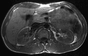
| Рис. 6.6. МРТ брюшной полости на уровне L2. Аксиальное Т1-ВИ нормальных почек. |
| Рис. 6.7. Радиоренограмма с 131I-гиппураном. слева− кривая над областью сердца, отражющая клиренс крови, т.е. скорость очищения крови от РФП. Справа – кривые характеризующие работу почек и выведение РФП. Норма (пояснения в тексте). |
| Рис. 6.8. Динамическая сцинтиграфия почек с 99mТс-пентатехом (ДТПА). Нарушение кровоснабжения и микроциркуляции обеих почек, больше правой. Функциональная активность паренхимы (клубочковая фильтрация) обеих почек значительно снижена, больше справа. Снижена экскреторная функция обеих почек. |
| Рис. 6.9. Статическая сцинтиграфия почек с 99mТс-технемеком (ДМСА). Накопление РФП обеими почками достаточно интенсивное и равномерное. Обе почки обычной формы, размеров и положения. Норма. |
| Рис. 6.10. Статическая сцинтиграфия почек с 99mТс-технемеком (ДМСА). На сцинтиграмме определяется только левая почка, обычно расположенная. Накопление РФП левой почкой достаточно интенсивное, его распределение диффузно неравномерное, в верхнем полюсе определяется дефект накопления радионуклида. Очаговое поражение верхнего полюса левой почки. Правая почка не определяется. |
| Рис. 6.11. Экскреторная урография. Прицельная рентгенограмма. Удвоение лоханки и мочеточников слева. |
| Рис. 6.12. Сонограмма правой почки. Определяется разобщение чашечно-лоханочной системы в виде раздельно расположенных чашечно-лоханочных структур. Удвоение правой почки. |
| Рис. 6.13. Динамическая сцинтиграфия почек с 99mТс-пентатехом (ДТПА). На полученных сцинтиграммах определяется единственная почка, расположенная в малом тазу над мочевым пузырем и воротами развернутая в правую сторону. Резкое нарушение функциональной активности (клубочковой фильтрации) и экскреторной функции единственной почки. Тазовая дистопия единственной почки с нарушением ее функции. |
| Рис. 6.14. Экскреторная урограмма. Положение стоя. Уровень лоханки левой почки на уровне IV поясничного позвонка. Острый лоханочно-мочеточниковый угол. Нефроптоз левой почки. |
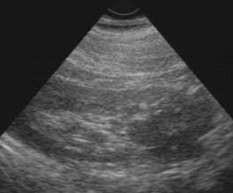
| Рис. 6.15. Сонограмма почек. Увеличение паренхимы правой почки (26 мм, двойная стрелка) и снижение ее эхогенности. Острый пиелонефрит правой почки. |
| Рис. 6. 16. Радиоренограмма с 131I-гиппураном. Кривые над почками. Левая почка − норма. Нарушение секреторной и экскреторной функции правой почки. Острый пиелонефрит правой почки. |
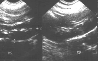
| Рис. 6.17. Сонограмма вдоль длинной оси правой почки. Карбункулы почки в виде гипоэхогенных зон с нечеткими контурами (стрелки). |
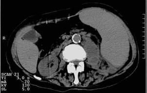
Рис. 6.18. Компьютерная томограмма брюшной полости на уровне L2. Левая почка деформирована с наличием псевдокистозных образований. Правая почка в норме. Абсцесс левой почки. | Рис. 6.19. Компьютерная томограмма брюшной полости на уровне L3. То же наблюдение, что и на предыдущей компьютерной томограмме. Определяется распространение абсцесса левой почки книзу в парааортальной области слева в виде объемного образования неоднородной плотности. |
| Рис 6.20. Динамическая сцинтиграфия почек с 99mТс-пентатехом (ДТПА). Резкое нарушение микроциркуляции, уродинамики и функциональной активности паренхимы (клубочковой фильтрации) правой почки. Значительное замедление экскреции в левой почке. |
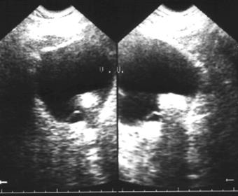
| Рис. 6.21. Сонограмма мочевого пузыря. Определяется камень в мочевом пузыре, имеющий гиперэхогенную структуру. Гипоэхогенная акустическая тень. Мочекаменная болезнь – камень в мочевом пузыре. |
| Рис. 6.22. Обзорная рентгенограмма брюшной полости. Определяется интенсивная округлая тень с четкими контурами в области левой почки. Камень в левой почке. |
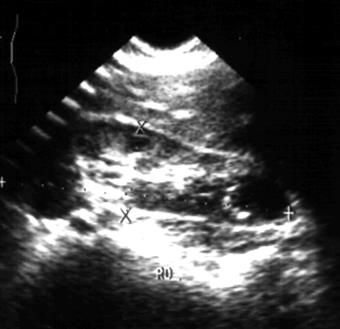
| Рис. 6.23. Сонограмма левой почки. Определяется объемное гипоэхогенное образование (стрелка) с неровными контурами в области верхнего полюса левой почки. Почечно-клеточный рак левой почки. |
| Рис. 6.24. Сонограмма левой почки. В области паренхимы левой почки определяется повышенной эхогенности образование с четкими контурами (стрелки). Ангиомиолипома (доброкачественная опухоль) левой почки. |
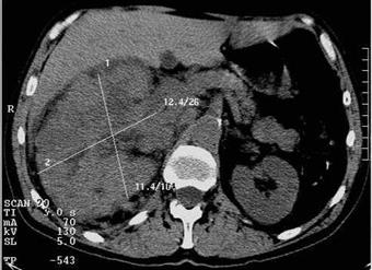
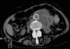
| Рис. 6.25. Компьютерная томограмма брюшной полости на уровне L2 позвонка. Правая почка значительно увеличена, контуры ее неровные, структура неоднородная. Почечно-клеточный рак правой почки. |
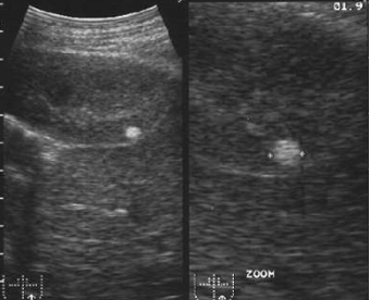
| Рис. 6.26. Сонограмма правой почки. Киста правой почки. |
| Рис. 6.27. Экскреторная урограмма. В области нижнего полюса правой почки скопление контрастного средства неправильной формы. Травма правой почки. Разрыв паренхимы правой почки в проекции нижней и средней больших чашечек. |
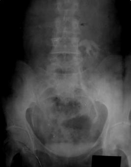
| Рис. 6.28. Экскреторная урография. Резкое расширение и деформация чашечек в правой почке. Гидронефроз правой почки. |
Рис. 6.18. Компьютерная томограмма брюшной полости на уровне L2. Левая почка деформирована с наличием псевдокистозных образований. Правая почка в норме. Абсцесс левой почки.
Рис. 6.19. Компьютерная томограмма брюшной полости на уровне L3. То же наблюдение, что и на предыдущей компьютерной томограмме. Определяется распространение абсцесса левой почки книзу в парааортальной области слева в виде объемного образования неоднородной плотности.






