Особенности заболеваний пародонта у детей:
• ведущим признаком является воспаление;
• отложение зубного камня встречается редко (в основном у старшеклассников);
• с возрастом распространенность заболеваний нарастает;
■км
• у детей почти не встречаются чисто дистрофические процессы (за исключением наследственного заболевания, сопровождающегося преждевременным старением).
В клинике стоматологии детского возраста до настоящего времени используется классификация болезней пародонта, принятая на XVI пленуме Всесоюзного научного общества стоматологов в 1983 г.:
I. Гингивит.
Формы: катаральный, гипертрофический, язвенный.
Течение: острое, хроническое, обострившееся.
Распространенность: локализованный, генерализованный.
II. Пародонтит (воспалительно-
дистрофическое поражение).
Течение: острое, хроническое, обострившееся.
Степень тяжести: легкая, средняя, тяжелая.
Распространенность: локализованный, генерализованный.
III. Парадонтоз — дистрофическое поражение пародонта.
IV. Идиопатические заболевания с прогрессирующим лизисом тканей пародонта (на фоне врожденных и приобретенных заболеваний).
V. Пародонтомы — опухолевые и
опухолеподобные процессы в обла
сти пародонта.
8.2.1. Гингивит
Для гингивита независимо от кли-нико-морфологической формы характерны следующие признаки:
• наличие того или иного количества неминерализованных и минерализованных зубных отложений;
• отсутствие десневых карманов;
• симптом кровоточивости даже при легком мануальном исследовании;
308.
• выраженная прямая корреляционная зависимость между состоянием десневого края и индексом гигиены (ИГ);
• отсутствие явлений деструкции межзубных перегородок при рентгенологическом исследовании.
В клинической практике наиболее часто встречается катаральный гингивит, первой причиной которого является микробная бляшка. Наибольшее значение в развитии воспалительных заболеваний придают Str. sanguis, Вас. milanogeni-cus, Actinomyces viscosus и др. Через 1—2 дня под влиянием токсинов микроорганизмов в десне развивается первичное воспаление, через 1—3 нед появляются все кли-нико-морфологические признаки последнего. Позднее эти микробы вызывают разрушение других структур пародонта, в том числе костной ткани альвеолярного отростка. По мнению большинства ученых рабочей группы ВОЗ, гингивит является предшественником пародонтита.
Катаральный гингивит может быть острым и хроническим.
Острый катаральный гингивит чаще всего служит признаком острого инфекционного заболевания (острый герпетический стоматит, ветряная оспа и др. или следствием острой травмы). Дети жалуются на боли, жжение в деснах, спонтанную кровоточивость. Слизистая оболочка десен резко отечна и гипереми-рована. Общее состояние ребенка соответствует тяжести инфекционного заболевания.
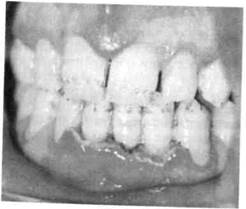
Хронический катаральный гингивит может возникнуть не только вследствие микробного налета, но и других местных причин — дефектов пломбирования и ортодонтического лечения, аномалий прикуса, прикрепления уздечек и тяжей слизистой оболочки, коротких уздечек губ, мелкого преддверия полости
рта, кариозных полостей придесне-вой локализации, изменения состава и уменьшения количества ротовой жидкости, а также различных видов травм (рис. 8.1).
Снижение резистентности тканей пародонта и развитие гингивита возможны при некоторых общих заболеваниях: эндокринных, хронических сердечно-сосудистых, легочных с гипоксией в тканях, хронических заболеваниях желудочно-кишечного тракта, сопровождающихся эндогенными гиповитаминозами
и др.
Генерализованные поражения десневого края, локализующиеся симметрично на верхней челюсти или в области передних зубов на обеих челюстях, свидетельствуют о преобладающем влиянии общих раздражающих факторов.
Усиление кровоточивости десен отмечается у девочек в предменструальный период и после него. У девочек в период полового созревания наблюдаются повышение экскреции половых гормонов и уменьшение выработки прогестерона. Развитие симптомов гингивита зависит от преобладания того или иного гормона. Ювенильный гингивит проявляется у подростков в период полового созревания как катаральный и исчезает через 2— 3 года, но может перейти в гипертрофический и пародонтит. Наиболее распространены гингивиты у девочек 10—11 лет, а у мальчиков 14—15 лет.
Жалобы при хроническом катаральном гингивите слабо выражены, основные из них — кровоточивость при приеме жесткой пищи и чистке зубов, запах изо рта. Слизистая оболочка десны синюшная, слабоотечная, выражен вазопарез (медленно исчезающий след при надавливании пинцетом). Проба Шиллера—Писарева положительная. Степень тяжести гингивита определяется совокупностью общих изменений в организме ребен-

Рис. 8.1. Хронический катаральный гингивит.
ка и степенью вовлечения десневого края в воспалительный процесс. Гингивит легкой степени тяжести характеризуется вовлечением в патологический процесс межзубных сосочков, средней степени — вовлечением в процесс межзубного и маргинального участков десны; тяжелой форме гингивита присуще поражение всех отделов десны (межзубных сосочков, маргинального и альвеолярного участков).
В связи с тем что начало и развитие гингивита не сопровождается болью, пациенты за врачебной помощью не обращаются, однако для уменьшения кровоточивости они перестают чистить зубы, употребляют только мягкую пищу, что ведет к быстрому ухудшению состояния десны.
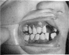
Хронический катаральный гингивит в стадии обострения характеризуется болевыми ощущениями, резкой спонтанной кровоточивостью десен. При этой форме воспаления десневого края часто отмечается поражение всех трех участков десны. Из анамнеза можно установить, что ребенок периодически страдал кровоточивостью десен и ранее (рис. 8.2; 8.3).
Язвенный гингивит имеет острое течение. В патогенезе этой формы
|
Рис. 8.2. Обострение хронического катарального гингивита при лечении несъемной ортодонтической техникой.

Рис. 8.3. Обострение хронического катарального гингивита.

Рис. 8.4. Язвенный гингивит. 310
Рис. 8.5. Гипертрофический гингивит. Фиброзная форма.
гингивита преобладает снижение общей и местной резистентности. Язвенный гингивит может быть симптомом тяжелого течения острого инфекционного заболевания (острый герпетический стоматит, ветряная оспа и др.). В возрасте до 3 лет выявление язвенного гингивита при отсутствии острого инфекционного заболевания позволяет думать о болезнях крови, в пред-дошкольном и раннем школьном возрасте — о болезнях крови и ре-тикулогистиоцитозе.
У детей среднего и старшего школьного возраста язвенный гингивит может встречаться как самостоятельное заболевание вследствие активизации фузоспирохетарной флоры в условиях снижения реактивности организма и плохой гигиены полости рта.
Процесс начинается с катарального гингивита, затем происходят некроз и изъязвление десны. При обследовании отмечается гнилостный запах изо рта. Некротизиро-ванная десна в виде серой каймы покрывает изъязвленный край (рис. 8.4). Характерно отложение зубного камня и налета. У ослабленных детей некротический процесс быстро прогрессирует вглубь и по периферии. Заболевание протекает с выраженной интоксика-
цией, повышением температуры тела. Ребенок отказывается от еды, плохо спит, капризничает. Регионарные лимфатические узлы увеличены и болезненны при пальпации.
Обнаруживаются изменения в форменных элементах крови, повышается СОЭ.
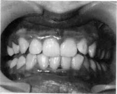
Гипертрофический гингивит представляет собой чаще всего хронический процесс и характеризуется пролиферацией десны на различных участках. Часто отмечается гипертрофия передних отделов верхней и нижней челюстей (рис. 8.5).
Существенную роль в развитии такого гингивита играют гормональные сдвиги (пре- и пубертатный периоды развития ребенка, во время беременности), дефицит витамина С. Кроме того, гипертрофический гингивит нередко развивается при лечении детей с эпилепсией некоторыми препаратами (ди-фенин, гидантоин), реже при болезнях крови (лейкемические рети-кулезы). Наиболее частой местной причиной развития такой патологии является скученное положение зубов в переднем отделе верхней и/или нижней челюсти. Очаговый гипертрофический гингивит развивается под действием механической травмы (кламмер ортодонтического аппарата, нависающие края пломб, кариозный процесс придесневой локализации).
Течение гингивита хроническое, сопровождается деформацией рельефа десны, увеличением межзубных сосочков и десневого края. Различают 3 формы заболевания: фиброзную, гранулирующую (отечную) и смешанную.
В большинстве случаев преобладает продуктивный фиброзный процесс, при котором десневой край слабо кровоточит или не кровоточит, больных беспокоит лишь необычный вид десны. При гранулирующей (отечной) форме десна темно-красного цвета, отличается значи-

Рис. 8.6. Гипертрофический гингивит после приема дифенина.
тельной пастозностью и кровоточивостью, иногда отмечается боль при еде. При гранулирующей форме гипертрофического гингивита у детей, помимо разрастания десневых сосочков, определяется ее цианоз. Наиболее часто эти изменения наблюдаются во фронтальном участке, реже в области других зубов. При смешанной форме имеются признаки первых двух форм. При гипертрофическом гингивите, вызванном приемом лекарственных средств, разрастание десны определяется не только с вестибулярной, но и с оральной поверхности (рис. 8.6).
Все виды гипертрофии сопровождаются развитием глубоких ложных карманов, где задерживаются пищевые остатки; происходит мацерация эпителия, появляются неприятный запах изо рта и косметический дефект.
Выделяют 3 степени гиперплазии десны:
I — десневой край слегка утолщен и приподнят в виде валика, выступая в преддверие полости рта, закрывает коронки на у3;
II — десна покрывает коронки зубов до у2;
III — десна достигает режущего края или жевательной поверхности зубов.
8.2.2. Пародонтит
Пародонтит — это поражение всех тканей пародонта, характеризующееся воспалением десны, разрушением зубодесневого прикрепления с образованием патологических зу-бодесневых карманов, деструкцией кости альвеолярного отростка, а при развившейся стадии — подвижностью и выпадением зубов. В практической работе часто выделяют такие стадии процесса, как активное течение пародонтита или ремиссию (рис. 8.7).
Пародонтит может быть локализованным или генерализованным. Наиболее частыми причинами локализованного пародонтита являются аномалии положения зубов и прикрепления мягких тканей к лицевому скелету, функциональная перегрузка отдельных зубов.
Генерализованный пародонтит у здоровых детей встречается после 10 лет. Большую роль в развитии данного заболевания играют дисфункции эндокринных желез, особенно гипогонадизм.
|
| Рис.8.7. Пародонтит фронтального отдела нижней челюсти. |
| in |
Существуют формы пародонтита, отличающиеся повышенной агрессивностью. Отличие их заключается в присутствии во флоре полости рта специфических видов микроорганизмов и их сочетаний. Препубер-
татный пародонтит характеризуется вовлечением в процесс зубов постоянного и временного прикуса. Раннее развитие и агрессивное течение обусловлены наличием у таких пациентов дефектов общей защиты — моноцитов и полиморфно-ядерных лейкоцитов.
Развитие ювенильного пародонтита наиболее часто отмечается в тех случаях, когда влияние гормонов дополняется действием других негативных факторов (негигиеническое содержание полости рта, ор-тодонтическая патология, неравномерная нагрузка зубов и др.). У подростков это заболевание протекает тяжело, с быстрым прогрессирова-нием. Характерны жалобы на зуд и жар в деснах, чувство распирания, желание сжать челюсти, кровоточивость десен. Слюна густая, плохой вкус и дурной запах изо рта. Из патологических зубодесневых карманов появляется гноетечение.
Изучение особенностей кровена
полнения при пародонтитах пока
зало, что реографические показате
ли характеризуются значительной
вариабельностью, неизменной
остается только общая тенденция. Наблюдается снижение реографи-ческого индекса — время подъема восходящей и нисходящей частей кривой незначительно возрастает. Показатель тонуса сосудов может быть увеличен, но часто соответствует величине такого показателя у детей с интактным пародонтом. Дикротический индекс (ДИ) при пародонтите повышен (табл. 8.1).
Таблица 8.1. Реографические показатели при различных состояниях тканей пародонта у подростков 13—14 лет [Гаврилова О.А., 2001]
| Показатель | Больные с интактным пародонтом | Больные катаральным гингивитом | Больные пародон- титом |
| РИ, ом | 0,19±0,02 | 0,16±0,02 | 0,11+0,03 |
Тяжесть пародонтита определяется в основном тремя признаками: глубиной зубодесневого кармана, степенью резорбции костной ткани и расшатанностью зубов. При легкой форме (I стадия) — атрофия кости до У корня, глубина карманов по 3,5 мм, подвижность зубов может не наблюдаться; при средней тяжести (II стадия) - атрофии кости до У корня, подвижность зубов I—II степени, глубина кармана 4— 5 мм; при тяжелой форме (III стадия) _ глубина пародонтального кармана 6 мм и более, деструкция кости более у и подвижность зубов III—IV степени.
8.2.3. Пародонтоз
Пародонтоз — дистрофическое поражение пародонта. У детей практически не встречается.
8.2.4. Идиопатические заболевания
с прогрессирующим лизисом тканей
пародонта
Особая тяжесть и частота пародон-толизиса установлена у детей, страдающих сахарным диабетом, который чаще встречается в периоды усиленного роста — в 3—6 и 11 — 12 лет. Сахарный диабет приводит к глубоким нарушениям всех видов обмена. Поражение пародонта определяется у 50—51 % больных [Плотников Н.В., 1973]. Считают, что сахарный диабет в молодом возрасте связан не только с нарушением углеводного обмена. Большую роль в патологии играет повышенная функция надпочечников и щитовидной железы, результатом чего являются изменения органической структуры кости. Учитывая, что симптомы пародонтита возникают при диабете раньше других клинических проявлений, необходимо считать изменения в тканях пародонта важным диагностическим признаком.
Тяжесть пародонтолизиса зависит от тяжести диабета, длительности заболевания и адекватности проводимого лечения. Продолжающаяся резорбция межальвеолярных перегородок у детей, страдающих сахарным диабетом, является верным признаком неправильно проводимого лечения.
У детей, больных диабетом, рано появляются катаральный гингивит, который быстро переходит в пародонтит (характерный цианотичный цвет, пастозность и рыхлость десны, обильные, выбухающие из карманов грануляции). Экссудат может быть гнойным и геморрагическим. Постепенно развивается подвижность зубов. Глубина морфологических изменений в кости обычно соответствует тяжести гингивита (рис. 8.8). Наиболее характерный вид рассасывания костной ткани лунок — воронкообразная резорбция в области моляров. При тяжелой стадии заболевания подвижность зубов резко выражена и часто не соответствует степени деструкции костной ткани.
Рентгенологическим признаком поражения тканей пародонта при диабете служит «воронкообразный» характер деструкции костной ткани, которая никогда не распространяется на подлежащие участки тела челюсти.
Нередко изменения в тканях пародонта сочетаются с поражением других отделов слизистой оболочки полости рта — отмечается яркая гиперемия на щеках, небе, часто присоединяется кандидоз.
Пародонтолиз у детей с диабетом течет тяжело, быстро прогрессируя. В дифференциальной диагностике необходимо учитывать анамнез, жалобы больных на жажду и сухость во рту, показатели анализов крови и мочи — содержание сахара, изменение сахарной кривой.
Пародонтолизис при нейтропении. В настоящее время известны 2 формы наследственной нейтропении: постоянная и циклическая (перио-

Рис. 8.8. Пародонтолиз при сахарном
диабете.
дическая). При постоянной форме число лейкоцитов нормальное или слегка снижено, отмечается резкое уменьшение нейтрофилов вплоть до полного их отсутствия; при циклической форме происходит периодическое исчезновение нейтрофилов из крови.
Во время криза повышается температура тела, резко ухудшается состояние ребенка. Число лейкоцитов снижается до 2,0—3,0-109/л, появляются моноцитоз и эозинофилия. Фаза минимального количества или отсутствия нейтрофилов в крови продолжается 4—5 дней и повторяется через строго определенное время, чаще через 21 день.
Клинически нейтропения характеризуется появлением уже в первые недели и месяцы жизни ребенка гнойничковых поражений кожи и слизистых оболочек. Нередко развиваются нагноительные процессы в легких. При такой картине, обусловленной снижением неспецифического иммунитета, наличие признаков пародонтита может оказаться достаточно демонстративным диагностическим критерием. Для обеих форм нейтропении характерен пародонтолизис, рано приводящий к полной потере зубов.
Прорезывание зубов сопровождается язвенным гингивитом, с 3 лет
гингивит усугубляется образованием патологических зубодесневых карманов, резорбцией кости альвеолярного отростка, подвижностью и ранней потерей молочных зубов.
Наблюдаются поражение паро-донта постоянных зубов, а к 12—14 годам — почти полная потеря зубов. В период криза отмечается обострение процесса в области па-родонта, возможно абсцедирова-ние. Однако деструктивный процесс в костной ткани челюсти ограничен лишь областью альвеолярного отростка и, как правило, имеет четкие границы. Пользование протезами может приводить к образованию язв в местах прилежания протеза. На языке, небе могут быть эрозии округлой формы диаметром от нескольких миллиметров до 1,5—2 см. Основание этих элементов обычно кровоточит. Заживление ран идет медленно.
Комплексное лечение этих детей проводят гематолог, педиатр и стоматолог.
Пародонтолизис при Х-гистиоци-тозе. Х-гистиоцитоз чаще встречается у лиц мужского пола, у 40 % больных в возрасте до 10 лет. По характеру течения и степени вовлечения в патологический процесс костной и лимфоидной ткани и по особенностям висцеральных поражений выделяют 4 основные нозологические формы.
Болезнь Таратынова, или соли-тарная эозинофильная гранулема, — поражение одной из костей скелета. У детей грудного возраста в период, предшествующий прорезыванию молочных зубов, на десневом валике обычно возникают участки некротизированной ткани серовато-зеленого цвета, после отторжения которой остаются незаживающие эрозии и язвы. В дальнейшем на этих участках преждевременно прорезываются молочные зубы, обладающие значительной подвижностью в результате разрушения их зоны роста патологическим процес-
сом. Однако эта форма заболевания чаше проявляется у детей школьного возраста. Процесс развивается хронически, имеет благоприятный прогноз.
Первые проявления заболевания (вялость, сонливость, потеря аппетита, нарушения сна) выражены скудно и воспринимаются обычно как детские болезни. Затем на коже может появиться мелкая папулезная сыпь. Вначале развивается гингивит, затем образуются патологические зубодесневые карманы, заполненные грануляциями без признаков гноетечения; происходит обнажение шеек зубов; отмечаются запах изо рта, прогрессирующая подвижность и потеря зубов в очаге поражения.
С целью дифференциальной диагностики нужно проводить рентгенографию скелета, особенно плоских костей, исследования крови, мочи.
Болезнь Хенда—Шюллера—Крис-чена (хронический ксантоматоз) сопровождается генерализованным поражением костной системы. Изменения в тканях пародонта при этом заболевании начинаются с гипертрофического гингивита, позднее на деснах образуются покрытые оранжевым налетом язвы, увеличивается глубина зубодесневых карманов, из них появляется гнойное отделяемое. Увеличивающаяся подвижность приводит к выпадению зубов. На рентгенограмме — резорбция костной ткани округлой или овальной формы с ровными или фестончатыми краями.
Кроме изменений в зубочелюст-ной системе, заболевание имеет и Другие признаки. В связи с тем что в основе этой патологии лежит нарушение липидного обмена, в крови наблюдается повышенное содержание холестерина, а в моче обнаруживается нейтральный жир. Может быть выражена триада: несахарный диабет, экзофтальм, множественное поражение костей черепа.

Рис. 8.9. Пародонтолиз при лимфогранулематозе.