| 5,а-в. Препарат - матка кошки; поперечный разрез. Окраска гематоксилин-эозином. |
а)Малое увеличение Полный размер | б)Среднее увеличение Полный размер | в)Большое увеличение Полный размер |
| На поперечном разрезе просвет (1) матки кошки - очень узкий и имеет звёздчатую форму. |
| Тканевой состав | Эндометрий (2) выстлан однослойным призматическим эпителием (2А), под которым находится собственная пластинка (2Б) слизистой оболочки, - образованная рыхлой волокнистой соединительной тканью - и пронизанная многочисленными маточными железами (3). |
| Эпителий: клеточный состав | а) Как и в яйцеводах, в матке эпителий содержит два типа клеток: реснитчатые и железистые (слизеобразующие). б) Но реснитчатые клетки находятся лишь возле устьев маточных желёз и приобретают реснички только к концу менструального цикла; причём, реснички по размеру не очень велики. |
| Маточные железы | Маточные железы (3) образованы такими же железистыми клетками, какие содержатся в покровном эпителии, по морфологии являются простыми, трубчатыми (п. 7.4.2.2) и бóльшую часть времени неразветвлёнными (в предменструальном периоде возможно ветвление), ориентированы перпендикулярно к поверхности эндометрия, | |
распространяются на всю толщину эндометрия (даже подчас внедряясь в миометрий) и продуцируют слизь во второй половине менструального цикла (в период секреции). |
| Децидуаль- ные клетки | а) Некоторые клетки собственной пластинки эндометрия (одни из которых имеют костномозговое, а другие – местное происхождение) трансформируются в децидуальные клетки – крупные, округлой формы, с включениями гликогена и липопротеинов. б) Особенно много этих клеток образуется при беременности: они входят в состав плаценты, где, возможно, продуцируют гормон релаксин (правда, в литературе указываются и другие его источники), а также, за счёт высокой литической (макрофагальной) активности, способствуют отторжению плаценты после родов. |
II. Физиологические слои эндометрия: базальный и функциональный
I. Эндометрий в предменстру- альном периоде. Полный размер | II. Стенка матки в менструальном периоде Полный размер |
| Функцио- нальное различие | а) Важнейшей особенностью эндометрия является то, что, помимо гистологического подразделения (на эпителий и собственную пластинку), |
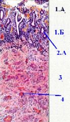
он подразделяется и по функциональному признаку. б) По данному признаку в эндометрии выделяют такие 2 слоя: функциональный (1А) – поверхностный и больший по толщине, который отторгается при менструации, и базальный (1Б) – узкий слой, сохраняющийся при менструации и обеспечивающий регенерацию эндометрия в постменструальном периоде. в) Причём, регенерация желёз и покровного эпителия осуществляется за счёт донышек (2А) маточных желёз (2), остающихся после менструации. | |
| Морфоло- гическое различие | 1. Какой-либо границы между слоями на гистологических препаратах не видно. 2. а) Между тем такая граница имеется: она определяется видом артерий, питающих каждый слой. б) Эти артерии находятся в миометрии и делятся на два вида: прямые артерии – от них капилляры идут в базальный слой, и спиралевидные артерии – посылают капилляры в функциональный слой. |
| Отторжение функцио- нального слоя | Перед менструацией наступает спазм спиралевидных артерий, это приводит к некротизации функционального слоя, затем эти сосуды вновь открываются, и под напором крови омертвевшая ткань этого слоя отторгается. | |
| Регенерация функцио- нального слоя | До следующей менструации функциональный слой полностью восстанавливается: в постменструальный период цикла происходит регенерация этогослоя, а в последующем (предменструальном) периоде функциональный слой набухает – за счёт гиперемии и накопления жидкости в строме. |
