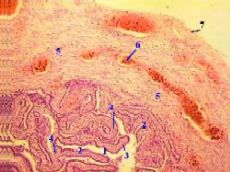
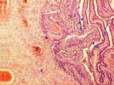
Препарат яйцевода

4,а-в. Препарат - яйцевод. Окраска гематоксилин-эозином.
а)Малое увеличение Полный размер б)Среднее увеличение Полный размер в)Большое увеличение Полный размер
1. На снимках мы видим просвет яйцевода (1) и в нём - многочисленные складки слизистой оболочки (2). 2. а) Складки покрыты однослойным призматическим реснитчатым эпителием (3). б) В толще складок - рыхлая соединительная ткань, составляющая собственную пластинку (4) слизистой оболочки. 3. Основную часть толщины стенки составляет мышечная оболочка (5) из двух слоёв - циркулярного и продольного. 4. Между мышечными пучками идут прослойки соединительной ткани с многочисленными кровеносными сосудами (6). 5. Ещё кнаружи находится соединительная ткань серозной оболочки (7).




double arrow
Сейчас читают про: