1. Дайте название рисунку и определения структурам, изображённым на рисунке; заполните формулу:
| Орган слуха и равновесия. Общий вид. 1. - ушная раковина 2.- наружный слуховой проход 3. - барабанная перепонка 4. - барабанная полость 5. - слуховые косточки 6. - слуховая (евстахиева) труба |

**С.Л. Кузнецов, Н.Н. Мушкамбаров «Гистология, цитология и эмбриология» учебник для студентов медицинских ВУЗов, Москва 2005г. Стр. 267
2. Дайте название рисунку и определения структурам, изображённым на рисунке; заполните формулы:



*С.Л. Кузнецов, Н.Н. Мушкамбаров «Атлас по гистологии, цитологии и эмбриологии» 2- е издание, Москва 2006г. Стр.141
3. Дайте название рисунку и определения структурам, изображённым на рисунке:
|
|
*С.Л. Кузнецов, Н.Н. Мушкамбаров «Атлас по гистологии, цитологии и эмбриологии» 2- е издание, Москва 2006г. Стр.142
4. Что такое слуховая труба, опишите её строение и функции?
Соединяет барабанную полость с носовой частью глотки и внешней средой, просвет – 1-2 мм, выстлана многорядным мерцательным эпителием, под ним рыхлая волокнистая соединительная ткань. Функция – выравнивает давление воздуха между барабанной полостью и окружающей средой.
|
|
|
**С.Л. Кузнецов, Н.Н. Мушкамбаров «Гистология, цитология и эмбриология» учебник для студентов медицинских ВУЗов, Москва 2005г. Стр. 267-270
**** Ю.И. Афанасьев, Н.А. Юрина «Гистология», учебник, Москва 1999г., изд. «Медицина»,стр.366.
5. Заполните таблицу:
Распределение функций между частями лабиринта
| Часть перепончатого лабиринта | РЕЦЕПТОРНАЯ СТРУКТУРА | ФУНКЦИЯ |
| Улитка | Спиральный (кортиев) орган | Восприятие звука |
| Сферический мешочек | Пятно (макула) | Восприятие гравитации и вибрации |
| Эллиптический мешочек | Пятно (макула) | Восприятие гравитации |
| Ампулы полукружных каналов | Ампулярные гребешки | Восприятие угловых ускорений при вращении головы и тела |
**С.Л. Кузнецов, Н.Н. Мушкамбаров «Гистология, цитология и эмбриология» учебник для студентов медицинских ВУЗов, Москва 2005г. Стр. 269.
6. Опишите развитие органа слуха и равновесия:
а) Развитие органа слуха и равновесия начинается с того, что в эктодерме головы эмбриона (на уровне продолговатого мозга) появляются утолщения — слуховые плакоды, при их последующем впячивании образуются слуховые ямки, а затем — слуховые пузырьки, выстланные многорядным эпителием.
б)Далее слуховые пузырьки разделяются перетяжкой на два отдела:
—передний — закладку сферического мешочка и перепончатой улитки,
—задний — закладку эллиптического мешочка и перепончатых полукружных каналов.
Из многорядного эпителия развиваются эпителиоциты рецепторных структур — кортиева органа, пятен и ампулярных гребешков.
|
|
|
в)Устанавливается также связь со слуховыми нервными ганглиями, которые тоже делятся на две части, но несколько иначе:
—одна часть — чисто улитковая (спиральный ганглий), связана лишь с кортиевым органом;
—вторая часть — преддверная, связана с рецепторами и преддверия, и полукружных каналов.
Дендриты нейронов этих узлов образуют синапсы с соответствующими сенсорными клетками. Аксоны же формируют улитковый и преддверный нервы, которые объединяются в единый n. vestibulocochlearis (n. VIII), идущий к стволу головного мозга. Позднее вокруг перепончатого лабиринта из мезенхимы происходит образование перепончатого лабиринта.
**С.Л. Кузнецов, Н.Н. Мушкамбаров «Гистология, цитология и эмбриология» учебник для студентов медицинских ВУЗов, Москва 2005г. Стр. 269.
7. Дайте название рисунку и определения структурам, изображённым на рисунке:
|
|
*С.Л. Кузнецов, Н.Н. Мушкамбаров «Атлас по гистологии, цитологии и эмбриологии» 2- е издание, Москва 2006г. Стр.143
8. Заполните таблицу:
| Эндолимфа | Перилимфа | |
| Локализация в улитковом канале перепончатого лабиринта | Перепончатый канал | Вестибулярная и барабанная лестницы |
9. Сосудистая полоска: чем образована, функция.
Многорядным эпителием, кровеносными капиллярами. Продуцирует эндолимфу.
**С.Л. Кузнецов, Н.Н. Мушкамбаров «Гистология, цитология и эмбриология» учебник для студентов медицинских ВУЗов, Москва 2005г. Стр. 271
10. Покровная мембрана: чем образована, функция.
Лентовидная пластинка желеобразной консистенции, основу которой образуют коллагеновые волокна. Раздражение (прикосновением) рецепторных клеток.
**С.Л. Кузнецов, Н.Н. Мушкамбаров «Гистология, цитология и эмбриология» учебник для студентов медицинских ВУЗов, Москва 2005г. Стр. 271.
11. Базилярная пластинка: чем образована, функция.
Она натянута между спиральным костным гребнем (как бы дополняя его) и спиральной связкой наружной стенки.
а) Со стороны барабанной лестницы базилярная пластинка покрыта эндотелием (эпителием мезенхимного происхождения).
б) Основу пластинки составляют коллагеновые волокна, погруженные в матрикс. Они тянутся не поперек пластинки, а в косом направлении, причем их длина уменьшается при переходе от вершины улитки к ее основанию (за счет все более прямого их хода). Возможно, волокна играют роль струн, откликающихся на колебания определенной частоты.
в) Со стороны эндолимфы на базилярной пластинке располагается спиральный, или кортиев орган, который имеет собственную базальную мембрану и воспринимает акустические раздражения.
**С.Л. Кузнецов, Н.Н. Мушкамбаров «Гистология, цитология и эмбриология» учебник для студентов медицинских ВУЗов, Москва 2005г. Стр. 271.
12. Дайте название рисунку и определения структурам, изображённым на рисунке:
|
|
*С.Л. Кузнецов, Н.Н. Мушкамбаров «Атлас по гистологии, цитологии и эмбриологии» 2- е издание, Москва 2006г. Стр.145
13. Заполните таблицу «клетки Кортиева органа», дайте краткое описание этим клеткам:
| Сенсорные клетки: а) Локализация. Эти клетки лежат на фаланговых, и их количество соответствует количеству подлежащих клеток: — внутренние сенсорные клетки (всего их — около 3500) расположены в 1 ряд, — наружные сенсорные клетки (их — от 12000 до 20000) образуют 3-5 рядов. Покровная (текториальная) мембрана контактирует с апикальной поверхностью обеих групп сенсорных клеток. б) Строение I.На апикальной поверхности сенсорных клеток присутствуют два образования: — кутикула — пленка гликопротеиновой природы и — особые микроворсинки — стереоцилии, которые объединяются в пучки, прободают кутикулу и контактируют с покровной мембраной. II. Основания же сенсорных клеток не только лежат на фаланговых клетках, но и образуют синапсы с нервными окончаниями двух видов: — во-первых, с дендритами чувствительных нейронов, тела которых находятся в спиральном ганглии, — и, во-вторых, с эфферентными нервными волокнами. III. Ядро волоскового эпителиоцита смещено к базальной части клетки, в цитоплазме — много митохондрий. **С.Л. Кузнецов, Н.Н. Мушкамбаров «Гистология, цитология и эмбриология» учебник для студентов медицинских ВУЗов, Москва 2005г. Стр. 272. |
14. Как осуществляется восприятие и передача звуковых раздражений?
|
|
|
Путь акустических сигналов:

**С.Л. Кузнецов, Н.Н. Мушкамбаров «Гистология, цитология и эмбриология» учебник для студентов медицинских ВУЗов, Москва 2005г. Стр. 274
15. Опишите звенья слухового анализатора:
| Часть анализатора | Чем представлена | локализация |
| Периферическая | Сенсорные волосковые эпителиоциты + чувствительные нейроны спирального ганглия | внутреннее ухо |
| Промежуточная | Вставочные нейроны (вторые нейроны) | ядра варолиева моста |
| Центральная | третьи нейроны - центральная часть слухового анализатора | Кора головного мозга |
**С.Л. Кузнецов, Н.Н. Мушкамбаров «Гистология, цитология и эмбриология» учебник для студентов медицинских ВУЗов, Москва 2005г. Стр. 273-274.
16. Спиральный ганглий: локализация, краткая характеристика нейронов:
**С.Л. Кузнецов, Н.Н. Мушкамбаров «Гистология, цитология и эмбриология» учебник для студентов медицинских ВУЗов, Москва 2005г. Стр. 273-274.
17. Из каких отделов головного мозга идут эфферентные нервные волокна к кортиеву органу, и что они образуют?
От олив (ядра продолговатого мозга), образуют т.н. оливокохлеарный пучок.
**С.Л. Кузнецов, Н.Н. Мушкамбаров «Гистология, цитология и эмбриология» учебник для студентов медицинских ВУЗов, Москва 2005г. Стр. 274.

ОРГАН РАВНОВЕСИЯ - Вестибулярная часть перепончатого лабиринта.
1.
|

|
|
|
2. Заполните таблицу:
| Участки локализации сенсорных клеток в | мешочках | ампулах |
| Основное название | пятна | гребешки |
| синоним | (макулы) | (кристы) |
| строение | Выстланы эпителием (а) опорных; б) сенсорных клеток); поверхность покрыта студенистой отолитовой мембраной (кристаллы карбоната кальция - отолиты) | Выстланы эпителием (а) опорных; б) сенсорных клеток); поверхность покрыта желатинообразным прозрачным куполом. |
| функция | Место восприятия линейных ускорений (земное притяжение, гравитация), а сферический мешочек – ещё и вибрации. | Место восприятия угловых ускорений |
| Виды сенсорных клеток | А) столбчатые Б) грушевидные | А) столбчатые Б) грушевидные |
**С.Л. Кузнецов, Н.Н. Мушкамбаров «Гистология, цитология и эмбриология» учебник для студентов медицинских ВУЗов, Москва 2005г. Стр. 275-277.
**** Ю.И. Афанасьев, Н.А. Юрина «Гистология», учебник, Москва 1999г., изд. «Медицина»,стр.373 - 375.
3. Опишите звенья вестибулярного анализатора:
| Часть анализатора | Чем представлена | локализация |
| Периферическая | Сенсорные волосковые эпителиоциты + чувствительные нейроны вестибулярного ганглия. | внутреннее ухо + внутренний слуховой проход височной кости. |
| Промежуточная | Вставочные нейроны (вторые нейроны) | ядра варолиева моста |
| Центральная | третьи нейроны - центральная часть вестибулярного анализатора | Кора головного мозга |
**С.Л. Кузнецов, Н.Н. Мушкамбаров «Гистология, цитология и эмбриология» учебник для студентов медицинских ВУЗов, Москва 2005г. Стр. 276.
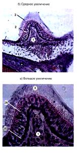
4. Что изображено на рисунке, подпишите структуры отмеченные арабскими цифрами:
|
|
*С.Л. Кузнецов, Н.Н. Мушкамбаров «Атлас по гистологии, цитологии и эмбриологии» 2- е издание, Москва 2006г. Стр.147
**** Ю.И. Афанасьев, Н.А. Юрина «Гистология», учебник, Москва 1999г., изд. «Медицина»,стр.374.
5. Что изображено на рисунке, подпишите структуры, отмеченные арабскими цифрами:
|
|
*С.Л. Кузнецов, Н.Н. Мушкамбаров «Атлас по гистологии, цитологии и эмбриологии» 2- е издание, Москва 2006г. Стр.148
**** Ю.И. Афанасьев, Н.А. Юрина «Гистология», учебник, Москва 1999г., изд. «Медицина»,стр.374.
6. Что изображено на рисунке, подпишите структуры, отмеченные арабскими цифрами:
|
*С.Л. Кузнецов, Н.Н. Мушкамбаров «Атлас по гистологии, цитологии и эмбриологии» 2- е издание, Москва 2006г. Стр.149
|
7. Опишите кратко принцип восприятия гравитационных воздействий:
Под влиянием гравитационного воздействия происходит смещение отолитовой мембраны, важно отклонение пучков стереоцилии. Если стереоцилии отклоняются в сторону киноцилии, то под влиянием механической тяги в апикальной плазмолемме открываются ионные каналы — сенсорная клетка возбуждается.
**С.Л. Кузнецов, Н.Н. Мушкамбаров «Гистология, цитология и эмбриология» учебник для студентов медицинских ВУЗов, Москва 2005г. Стр. 276.
**** Ю.И. Афанасьев, Н.А. Юрина «Гистология», учебник, Москва 1999г., изд. «Медицина»,стр.373 - 375.
8. Опишите кратко принцип восприятия угловых ускорений:
Желатинозный купол — очень высокий (на снимках большая его часть отсутствует). При вращении тела купол (под влиянием эндолимфы) смещается, отчего происходит отклонение стереоцилии — в сторону киноцилии или от нее. В первом случае в сенсорных клетках открываются ионные каналы, т. е. клетки возбуждаются.
**С.Л. Кузнецов, Н.Н. Мушкамбаров «Гистология, цитология и эмбриология» учебник для студентов медицинских ВУЗов, Москва 2005г. Стр. 277.
**** Ю.И. Афанасьев, Н.А. Юрина «Гистология», учебник, Москва 1999г., изд. «Медицина»,стр.375.
9. Кроме рецепторных участков (макул и гребешков), в эпителии мешочков и полукружных каналов имеется несколько секреторных областей. Какими клетками представлены эти области и какую функцию выполняют эти клетки?
Прочие участки эпителия мешочков преддверия и полукружных каналов
а) Кроме рецепторных участков (макул и гребешков), в эпителии мешочков и полукружных каналов имеется несколько секреторных областей. Клетки этих областей,
—во-первых, продуцируют эндолимфу (наряду с сосудистой полоской улитки)
—и, во-вторых, вместе с поддерживающими клетками участвуют в формировании и обмене желатинозного купола и отолитовой мембраны.
б) В остальных участках стенки мешочков преддверия и полукружных каналов выстланы однослойным плоским эпителием.
**С.Л. Кузнецов, Н.Н. Мушкамбаров «Гистология, цитология и эмбриология» учебник для студентов медицинских ВУЗов, Москва 2005г. Стр. 277.
*С.Л. Кузнецов, Н.Н. Мушкамбаров «Атлас по гистологии, цитологии и эмбриологии» 2- е издание, Москва 2006г. Стр.149