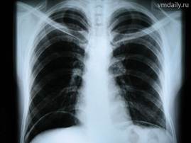
Обзорная рентгенография органов грудной клетки в прямой и боковой проекциях позволяет диагностировать изменения скелета (переломы ребер), инфильтративные и очаговые изменения в легочной ткани, наличие жидкости в плевральной полости (гидроторакс), изменение размеров и формы тени сердца и крупных сосудов и другие патологические состояния (рис. 3).

А Б
Рис. 3. Проведение рентгенографии грудной клетки (А), рентгенограммагрудной клетки в прямойпроекции (Б)
Цель исследования: диагностика патологических изменений грудной клетки, органов грудной полости и близлежащих анатомических структур.
Подготовка пациента к исследованию:
2.Выдача направления.
3. Специальной подготовки не требуется.
Перед проведением рентгенологического исследования следует освободить область планируемого исследования от одежды, мазевых повязок, наклеек из лейкопластыря, электродов для мониторирования ЭКГ и пр., попросить снять часы, металлические украшения и подвески.
Проведение исследование: Исследование проводит рентген-лаборант. Положение пациента при проведении процедуры – стоя, при тяжелом состоянии пациента – лежа.
Заключение: заключение дает врач в письменном виде.