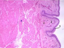
| 4,а-в. Препарат - мочевой пузырь. Окраска гематоксилин-эозином. | ||
| Слои стенки мочевого пузыря | В стенке мочевого пузыря мы встречаем те же слои, что и в стенке мочеточника: слизистую оболочку и в ней - переходный эпителий (1) и - собственную пластинку (2), | а) Малое увеличение Полный размер |
нечётко отделённую от последней подслизистую основу (3), мышечную (4) и наружную оболочки. (Последняя в поле зрения не попала). |
II. Сопоставление с препаратом языка
| Сходство с языком | а) Мочевой пузырь часто путают с языком (см. тему 23). Действительно, и там, и там на препарате орган имеет неровную поверхность (что обусловлено на языке сосочками, а в мочевом пузыре – складками), а также присутствуют многослойный эпителий и обширные массы мышечной ткани. б) Причём, определить, какая это ткань - поперечнополосатая скелетная (в языке) или гладкая (в мочевом пузыре), на рядовом препарате не всегда удаётся. | |
| Отличия: 1) поверх- ность органа | Тем не менее различить два органа не так уж сложно. а) Первый признак - поверхность органа: сосочки языка (содержащиеся на его верхней поверхности) существенно отличаются резкостью своей формы от плавных изгибов поверхности пузыря. б) Особенно это относится к нитевидным сосочкам – длинным и острым. | |
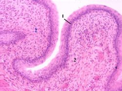
| Отличия: 2) вид эпителия | Второй признак - эпителий, егоповерхностные слои: в мочевом пузыре ядра поверхностных клеток опять-таки являются круглыми (переходный эпителий), на нижней поверхностиязыка ядра поверхностных клеток – плоские (многослойный плоский неороговевающий эпителий), | б) Мочевой пузырь. Большое увеличение Полный размер |
а на верхней поверхности языка нитевидные сосочки обычно заканчиваются длинным роговым стержнем (многослойный плоский, частично ороговевающий эпителий). |
III. Ещё два снимка мочевого пузыря
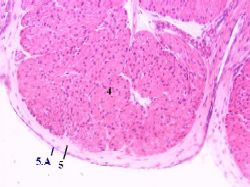
| Наружная часть стенки мочевого пузыря | а) На верхнем снимке - часть мышечной оболочки (4) и наружная оболочка (5) мочевого пузыря. б) Между мышечными пучками - прослойки соединительной ткани и сосуды. в) Наружная оболочка покрыта мезотелием (5.А), т.е. является в данном случае серозной. | в-г) Мочевой пузырь. Большое увеличение Полный размер |
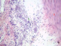
| Интра- муральный ганглий | а) А на данном снимке между слоями мышечной оболочки (2) мочевого пузыря виден интрамуральный ганглий (1). б) В его составе - крупные тела нейроцитов, окружённые глиальными и соединительнотканными клетками. | Полный размер |

слизистую оболочку и в ней - переходный эпителий (1) и - собственную пластинку (2),
Полный размер
Полный размер
Полный размер
Полный размер 





