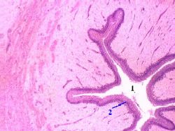
| 3,а-г. Препарат - мочеточник (поперечный срез). Окраска гематоксилин-эозином. | ||
| Просвет и эпителий | а) Просвет (1) мочеточника имеет на поперечном разрезе извилистый (звёздчатый) вид – из-за образования слизистой оболочкой продольных складок. б) К просвету обращён переходный эпителий (2). в) Под ним последовательно располагаются прочие слои стенки: | а-б) Малое увеличение Полный размер |
| Прочие слои стенки | собственная пластинка (3) слизистой оболочки, подслизистая основа (4), мышечная оболочка (5), адвентициальная оболочка (6). | Полный размер |
II. Сопоставление с препаратом пищевода
| Сходство с пищево- дом | Мочеточник обычно путают с пищеводом. Последний тоже имеет на поперечном сечении (см. тему 23) круглую форму, извилистый просвет, те же 4 оболочки и очень похожий многослойный эпителий. | |
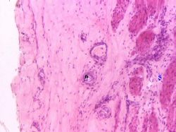
| Отличия: 1) вид эпителия | Отличия же состоят в следующем. 1) Первый признак - вид эпителия, определяемый по форме ядер самых поверхностных клеток: в мочеточнике они – круглые (переходный эпителий), | в) Мочеточник. Большое увеличение Полный размер |
а в пищеводе – резко уплощены и ориентированы параллельно поверхности (многослойный плоский неороговевающий эпителий).. | ||
| Отличия: 2) железы и 3) мышечная пластинка | 2) Второй признак касается желёз в подслизистой основе: в мочеточнике они практически отсутствуют, а в пищеводе – очень многочисленны.. 3) И третий признак - мышечная пластинка слизистой оболочки: в мочеточнике её опять-таки нет, а в пищеводе она достаточно выражена. |
III. Ещё один снимок мочеточника
| Наружная часть стенки мочеточ- ника | а) В заключение приведём ещё один снимок мочеточника. б) На нём при большом увеличении видны мышечная (5) и адвентициальная (6) оболочки. | г) Мочеточник. Большое увеличение Полный размер |

продольных складок. б) К просвету обращён переходный эпителий (2). в) Под ним последовательно располагаются прочие слои стенки:
Полный размер
Полный размер
Полный размер
Полный размер 





