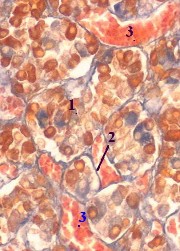
Перечень компонентов. В передней доле имеются три тканевых элемента: секреторные клетки (1) (клетки железистого эпителия), соединительнотканная строма (2) и многочисленные синусоидные (т.е. очень широкие) капилляры (3). Секреторные клетки. а) Секреторные клетки лежат группами, называемыми аденомерами. б) Аденомеры формируют тяжи, складывающиеся в разветвлённую сеть Строма образована прослойками рыхлой соединительной ткани, которые разделяют аденомеры. | 2,б. Препарат – гипофиз человека. Окраска смесью Маллори по Генденгайну. (Среднее увеличение) Полный размер |
Попутно напомним, что капсула гипофиза образована плотной волокнистой соединительной тканью. Синусоидные капилляры. а) Эти капилляры (наряду с капиллярами средней доли) составляют вторичную капиллярную сеть портальной системы гипофиза. (Первичная сеть, как отмечалось в пп. 22.2.1.1 и 18.1.1.3, находится в медиальном возвышении гипоталамической области.) б) С помощью капилляров вторичной сети либерины и статины гипоталамуса попадают к своим клеткам-"мишеням" - клеткам железистого эпителия, а гормональные продукты этого эпителия выходят в кровь. |

22.2.2.3. Передняя доля гипофиза:
тинкториальные типы железистых клеток
секреторные клетки (1) (клетки железистого эпителия),
Полный размер 





