а) Эти клетки синтезируют АКТГ (адренокортикотропный гормон), отчего называются кортикотропоцитами. б) У них форма клетки – неправильная, ядро (1), как следует из названия, – дольчатое, в цитоплазме содержатся секреторные гранулы (2), представляющие собой мембранные пузырьки с плотной белковой сердцевиной и содержащие АКТГ. | |
III-А.Базофильные клетки первого типа- тиротропные клетки
1. Функция. Базофильные клетки I-го типа образуют ТТГ (тиреотропный гормон, стимулирующий щитовидную железу) и потому называются тиротропоцит ами. |
2. Нормальная тиротропная клетка. В норме тиротропоцитимеет неправильную, угловатую форму, ядро (1), расположенное в центре, в цитоплазме: - мелкие секреторные гранулы (2) с базофильным содержимым, - а также обычные органеллы: митохондрии (3), ЭПС (4), комплекс Гольджи (5). | |
3. Клетка тиреоидэктомии. 1. а) Но морфология тиротропоцитов резко меняется при недостатке в организме тиреоидных гормонов, т.е. гормонов щитовидной железы. б) Такой недостаток может возникать, например, после оперативного удаления щитовидной железы - всей или её значительной части. 2. а) Тогда тиреотропные клетки резко усиливают продукцию ТТГ. Поэтому расширяющиеся цистерны ЭПС превращаются в крупные вакуоли (5), в которых содержатся гранулы (4) гормона, и цитоплазма приобретает крупноячеистой вид. | |
III-Б.Базофильные клетки второго типа -гонадотропные клетки
1. Функция. а) Базофильные клетки II типа образуют гонадотропные гормоны – ФСГ и ЛГ (действующие на половые железы - гонады), в соответствии с чем называются гонадотропоцитами. б) Как уже отмечалось (в п. 22.1.3.1), данные клетки, видимо, не подразделяются на 2 популяции: каждая клетка синтезирует сразу оба гормона. |
2. Нормальные гонадотропные клетки. а) Морфология клеток в обычном состоянии: округлая форма, в центре располагается комплекс Гольджи (1), который при световой микроскопии воспринимается как макула - светлый участок или кольцо, (ср. с "двориком" в плазмоцитах, п. 9.2.2.2). | |
эксцентрическое положение ядра, в цитоплазме - гранулы с базофильным содержимым. |
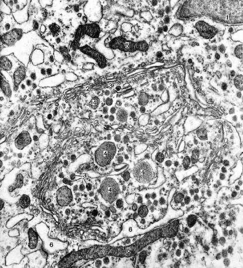
| б)Электронная микрофотография - гонадотропоцит. |
Этот снимок иллюстрирует структуру комплекса Гольджи в рассматриваемых клетках. A. Мы видим образующие его диктиосомы (2) - скопления плоских мембранных цистерн, лежащих параллельно друг другу, а также концевые расширения (3) этих цистерн, в которых первоначально концентрируется продукт секреции. | |
B. Рядом - сформированные секреторные гранулы (4), содержащие готовые гормоны. C. Другие видимые на снимке структуры: шероховатая ЭПС (6), ядро (1), митохондрии (5). |
3. Клетка кастрации. а) При недостатке в организме половых гормонов усиливается деятельность гонадотропных клеток. б) В крайних случаях (напр., после кастрации) в области макулы образуется крупная вакуоль (3), занимающая большую часть клетки. | |
IV. Ацидофильные клетки - лакто- и соматотропные клетки
1. Функция. Ацидофильные клетки подразделяются на 2 популяции: одни клетки образуют СТГ (соматотропный гормон) и называются поэтому соматотропоцитами, другие клетки вырабатывают ЛТГ (пролактин) и называются лактотропоцитами. |
2. Морфология. а) В морфологии и тех, и тех клеток - много общего: размер клеток - средний, форма - округлая (или овальная), ядро - в центре и тоже округлое, цистерны ЭПС (1) лежат концентрически вокруг ядра в цитоплазме - ацидофильные гранулы (отсюда - оранжевый цвет клеток). б) Отличие же состоит лишь в том, что в соматотропных клетках гранулы гормона (2) - мелкие, а в лактотропных клетках гранулы (2) - значительно крупнее. | Соматотропная клетка Лактотропная клетка |
