1. Имеются 4 паращитовидные железы (1) -
две правые и две левые; причём, на каждой стороне - верхняя и нижняя.
2. Расположены они на задней поверхности боковых долей щитовидной железы (2) и часто погружены в её капсулу.
3. а) Размеры каждой железы - очень невелики: 6 4 2 мм.
б) Всё это приводит к тому, что при оперативном удалении части щитовидной железы (например, в связи с наличием в ней опухоли)
существует реальная опасность удалить и околощитовидные железы.
| Рисунок - паращитовидные железы.
|
4. а) Развиваются эти железы
из эпителия III и IV жаберных карманов глотки.
б) Здесь происходят интенсивные клеточные деления, в результате чего образуются компактные скопления клеток.
в) Затем эти скопления отделяются от жаберных карманов и мигрируют к местам постоянной локализации.
|

22.3.2.2. Общий план строения
1. Капсула и строма.
а) Каждая паращитовидная железа покрыта соединительнотканной капсулой.
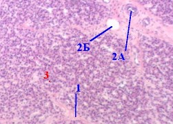
б) А. От неё отходят прослойки рыхлой соединительной ткани (1),
составляющие строму железы и содержащие многочисленные кровеносные сосуды.
Б. Так, на снимке мы видим мелкую артерию (2.А) и вену (2.Б).
в) Кроме того, имеются прослойки жировой ткани.
| 4,а. Препарат – паращитовидная железа. Окраска гематоксилин-эозином.
(Малое увеличение)
Полный размер
|
2. Паренхима.
а) Основной же компонент железы – клетки железистого эпителия, паратироциты (3). Они
нередко сгруппированы в мелкие розеткообразные структуры,
но могут образовывать также тяжи и компактные скопления.
б) В пожилом возрасте в околощитовидных железах появляются и фолликулы. Однако содержащаяся в их просвете коллоидоподобная жидкость лишена веществ с гормональной активностью.
|

две правые и две левые;
4
Полный размер






