I. Общий вид

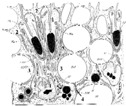
Ориен- тация Основания клеток Сертоли лежат на базальной мембране между сперматогониями, верхушки же обращены к просвету семенного канальца. Схема - клетка Сертоли. Полный размер
Ядро (1) Ядро находится в базальной части и имеет изрезанный контур.
Другие органеллы В клетках Сертоли хорошо развиты многие другие органеллы (из-за разнообразия их функций; см. ниже), в т.ч. агранулярная ЭПС, но наличие последней не является определяющим морфологическим признаком, как, например, в случае клеток Лейдига.
Вид на препарате а) Обычно на препаратах можно разглядеть лишь ядросодержащую базальную часть клетки Сертоли. б) Апикальная же часть представлена многочисленными цитоплазматическими отростками (2) и маскируется сперматогенными клетками.



double arrow
Сейчас читают про: