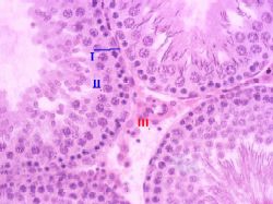
| Интер- стиций и его состав | Между канальцаминаходится рыхлая соединительная ткань - интерстиций (III),- а в её составе:
сосуды – кровеносные и лимфатические,
обычные соединительнотканные элементы и
|
|
интерстициальные клетки (клетки Лейдига, или гландулоциты), продуцирующие мужские половые гормоны (тестостерон и его производные).
| ||
| Роль лимфати- ческих сосудов | При этом, по современным представлениям,
каждый семенной каналец почти целиком окружён лимфатическим синусоидным капилляром (т.н. лимфатическим “чехликом ”, или “футляром”),
а мужские половые гормоны, в отличие от всех прочих гормонов, попадают вначале не в кровеносное, а в лимфатическое русло.
|
Теперь рассмотрим компоненты названных слоёв стенки семенного канальца.

сосуды – кровеносные и лимфатические,






