При наличии обоснованного подозрения на рак поджелудочной железы проводят КТ с контрастным усилением. Высокую значимость имеет КТ, позволяющая наряду с выявлением дилатации протоков и причины их обструкции выполнить прицельную биопсию или декомпрессионное вмешательство. В отличие от УЗИ диагностические способности метода не снижаются при метеоризме, асците, ожирении.
В последние годы широкое распространение приобретает магнитно-резонансная холангиопанкреатография (МРХПГ), обладающая высокой точностью в диагностике причин механической желтухи, особенно в оценке характера и протяженности стриктур желчных путей, а также внутрипротоковых образований. Вместе с тем этот метод лишен пункционно-дренажных лечебных возможностей.
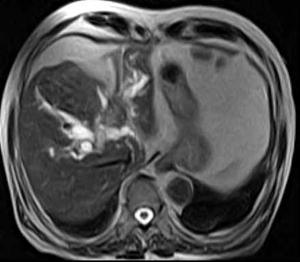
А
Б
Рисунок 10 – А – КТ-изображение холангиокарциномы;
Б – МРТ-изображение холедохолитиаза
5. РАДИОИЗОТОПНАЯ СЦИНТИГРАФИЯ — метод изучения распределения радионуклидов, селективно поглощаемых печенью, с целью оценки её структуры. Сканирование позволяет выявить внутрипеченочные дефекты накопления.
Причины внутрипеченочных дефектов накопления:
• Опухоли доброкачественные и злокачественные (первичные, метастатические);
• Абсцессы (гнойные, амебные, туберкулезные);
• Кисты (солитарные, поликистоз, эхинококкоз);
• Другие причины (цирроз, очаговая узловатая гиперплазия, острый гепатит, амилоидоз).
Различные очаговые поражения выявляются на сцинтиграммах в виде зон резкого понижения накопления радионуклидов, что выглядит на черно-белых сцинтиграммах как фокусы с неровным контуром, редкой штриховкой или без неё или области резкого изменения цвета штрихов.






