Проведение ЭРХПГ противопоказано при:
1) остром панкреатите;
2) остром инфаркте миокарда, инсульте, гипертоническом кризе, недостаточности кровообращения и у других тяжелых больных;
3) непереносимости препаратов йода.
Применение ЭРПХГ ограничено после перенесенной ранее операции на желудке, когда большой дуоденальный сосочек (БДС) недоступен для эндоскопических манипуляций, расположении БДС в полости крупных дивертикулов, технически непреодолимом препятствии в выходном отделе общего желчного протока (стриктура, конкремент, опухоль). В целом не удается получить информацию о состоянии желчевыводящих протоков при ЭРХПГ у 10–15% пациентов с холедохолитиазом, что требует применения других диагностических методов.

Рисунок 4 – Проведение ЭРХПГ
А
Б
Рисунок 5 – А – дуоденоскоп; Б – канюляция БДС
А
Б
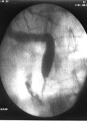
Рисунок 6 – ЭРХПГ: А – камни в желчном пузыре без патологии протоков;
Б – картина холедохолитиаза (расширен холедох, визуализируются конкременты)
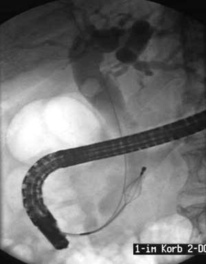
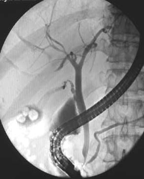
А
Б
Рисунок 7 – ЭРХПГ: А – холедохолитиаз, введена корзинка Дормия для литоэкстракции; Б – стриктура дистального отдела холедоха с престенотическим расширением






