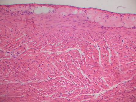
На препарате хорошо виден эндокард и часть миокарда. В эндокарде хорошо видны эндотелий, субэндотелиальный слой, мышечно-эластический, субэндокардиальный (наружный соединительнотканный). Проводящие кардиомиоциты лежат под эндокардом и входят в состав мышечной оболочки сердца.
При малом увеличении микроскопа:
а) найти эндокард. Видны синие ядра эндотелиоцитов и коллагеновые волокна субэндотелиального слоя. Гладкие миоциты мышечно-эластического слоя видны плохо. Субэндокардиальный слой часто содержит адипоциты и коллагеновые волокна этого слоя расположены непосредственно над пучками проводящих кардиомиоцитов.
б) найти атипичные кардиомиоциты (проводящие кардиомиоциты). Это крупные клетки со слабо оксифильной цитоплазмой.
При большом увеличении микроскопа:
а) рассмотреть эндокард. На свободной поверхности эндокарда видны базофильно окрашенные ядра эндотелия, оксифильные волокна соединительной ткани субэндотелиального слоя. Видны темно-розовые уплощенные клетки (гладкие миоциты) мышечно-эластического слоя. Ниже расположены оксифильные коллагеновые волокна субэндокардиального слоя эндокарда.
Фото 1.5.7.
Зарисовать препарат и обозначить на рисунке:
I. Эндокард
1. эндотелиальный слой
2. субэндотелиальный слой
3. мышечно-эластический
4. субэндокардиальный (наружный соединительнотканный)
II. Миокард
5. проводящие кардиомиоциты
6. поперечный срез сократительных кардиомиоцитов
7. продольный срез сократительных кардиомиоцитов
8. вставочный диск
9. сосуды
III. Эпикард
10. рыхлую волокнистую соединительную ткань
11. адипоциты
12. сосуд
13. мезотелий
Фото 1.5.1. Стенка сердца. Эндокард и миокард.
Гем.-Эоз. Малое увеличение. (Ув.10х7)
| сократительные кардиомиоциты (поперечный срез) | |
| сократительные кардиомиоциты (продольный срез) | |
Фото 1.5.2. Стенка сердца. Миокард и эпикард.
Гем.-Эоз. Малое увеличение. (Ув.10х7)
Фото 1.5.3. Стенка сердца. Эндокард и миокард.
Гем.-Эоз. Большое увеличение (Ув.90х7)
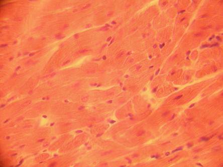
Фото 1.5.4. Стенка сердца. Миокард. Кардиомиоциты. Продольный срез Гем.-Эоз. Большое увеличение.(Ув.40х7)
| сократительный кардиомиоцит | |
| ядро сократительного кардиомиоцита | |
Фото 1.5.5. Стенка сердца. Миокард. Кардиомиоциты. Поперечный срез. Гем.-Эоз. Большое увеличение.(Ув.40х7)
| ядра сократительных кардиомиоцитов | |
Фото 1.5.6. Стенка сердца. Миокард. Кардиомиоциты. Продольный срез Гем.-Эоз. Большое увеличение.(Ув.90х7)
Фото 1.5.7. Эндокард быка. Гем.-Эоз.
Среднее увеличение. (Ув.10х7)
| сократительные кардиомиоциты | |
| гладкие миоциты мышечно-эластического слоя | |
