I. Крупный бронх

3,а-б. Препарат - лёгкое. Окраска гематоксилин- эозином. (Малое увеличение) а)Полный размер (Большое увеличение) б)Полный размер  
 
Компо- ненты стенки крупного бронха В стенке крупного бронха (1) - те же элементы, что и в стенке трахеи: а) компоненты слизистой оболочки -
многорядный мерцательный эпителий (I.A), собственная (I.Б) и мышечная (I.В) пластинки; б) подслизистая основа (II) и в ней - концевые отделы (II.A) желёз;
в) фиброзно-хрящевая оболочка (III) и в её составе - гиалиновый хрящ, окружённый надхрящницей (III.A); г) адвентициальная оболочка (IV) и в ней - нервный ствол (IV.A).
Отличия от трахеи Но можно указать на три отличия от трахеи: эпителий (I.A) становится менее высоким, чем в трахее; зато мышечная пластинка (I.В) является более выраженной, и это придаёт внутренней поверхности при фиксации слабоизвилистый характер.
Замеча- ние На снимке 3,а к стенке бронха прилегает артерия (2).


II. Средний бронх

3,в-г. Препарат - лёгкое. Окраска гематоксилин- эозином. (Малое увеличение) в)Полный размер (Большое увеличение) г)Полный размер  
 
В среднем бронхе (1), представленном на снимках, имеются следующие особенности. –
а) Эпи- телий Высота эпителия (I.А) - ещё меньше, чем в предыдущем случае. (хотя видно, что эпителий по-прежнему является реснитчатым).
б) Мышеч- ная пластин- ка а) Мышечная пластинка (I.В) слизистой оболочки хорошо выражена. б) Поэтому на препаратах после фиксации внутренняя поверхность бронха становится складчатой.
в) Фиб- розно- хрящевая оболочка Фиброзно-хрящевая оболочка представлена небольшими островками хрящевой ткани (III). (Заметим, что на данном снимке хрящевая ткань является гиалиновой, а не эластической - более типичной для бронхов подобного калибра.)
г) Подсли- зистая основа Железы (II.A) подслизистой основы (II) располагаются не только перед хрящами, но и между ними.
Замеча- ние Кроме названных структур, на снимках видны: собственная пластинка (1Б) слизистой оболочки, лимфатический фолликул (II.Б) в подслизистой основе, кровеносный сосуд (3), входящий в сосудисто-бронхиальный пучок.


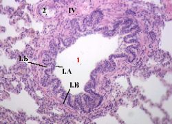
III. Мелкий бронх

3,д. Препарат - лёгкое. Окраска гематоксилин-эозином.
Оболочки мелкого бронха а) Здесь среди лёгочной паренхимы - мелкий бронх (1). б) Как отмечалось выше,, в его стенке нет подслизистой основы с железами и хрящевых пластинок. в) Так что имеются лишь 2 оболочки: Полный размер
слизистая и адвентициальная (IV).
Слизис- тая оболочка мелкого бронха а) Видны следующие компоненты слизистой оболочки: двухрядный мерцательный эпителий (I.A), тонкая собственная (I.Б) пластинка и выраженная мышечная (I.В) пластинка.
б) Последняя вновь обусловливает складчатость внутренней поверхности на препарате.
Сосуды Рядом с бронхом располагаются сопровождающие его кровеносные сосуды (2).





Подборка статей по вашей теме: