1.2.3 Внеклеточное уничтожение
v NK-клетки (естественные киллеры) (англ. natural – естественный и killers – убийца) – разновидность лимфоцитов, имеющих гранулы в цитоплазме
Назначение: спонтанное (т.е. без предварительной иммунизации) уничтожение (рисунок 2)
· некоторых опухолевых клеток
· клеток, пораженных вирусом
Механизм уничтожения
Ø цитотоксичность –в месте контакта с клеткой-мишенью вырабатывают белки перфорины, цитолизины, которые «пробивают» данную клетку, вызывая ее уничтожение путем апоптоза (подобно Т-киллерам);
Ø продукция цитокинов (см. раздел), которые усиливают воспалительную реакцию и другие доиммунные механизмы защиты

Рисунок 2 – NK-клетка (НК) атакует клетку-мишень (М)
(фото из Ройта А. и др., 2000)
Локализация в организме
· в тканях (иные, чем у Т-лимфоцитов места): в печени (основное мест), красной пульпе селезенки, в слизистых оболочках (особенно репродуктивных органов);
· в циркулирующей крови (до 15% от всех лимфоцитов), в лимфе отсутствуют.
Ограниченность защитных функций – отсутствие способности к молекулярному распознаванию, т.к. нет специфических рецепторов, присущих Т- и В-лимфоцитам (а именно ТКР, ВКР, МНС)
|
|
|
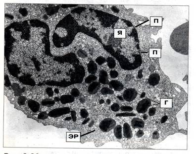
v Эозинофилы (эозин – краситель (греч. eos – заря), phileo- любить) разновидность зернистых лейкоцитов (рисунок 3).

Рисунок 3 – Эозинофил (фото из А. Ройта, 2000 г.)
Я – ядро, П – ядерные поры, Г – гранулы, ЭР – эндоплазматическая сеть
Защитные функции:
Ø фагоцитоз;
Ø цитотоксичность, вызванная антителами IgA и IgE – уничтожение крупных мишеней, которые не поддаются фагоцитозу. Например,этоединственный известный способ санации от гельминтов, шистосомул и др.
Механизм уничтожения.
На эозинофилах есть рецепторы к комплексу антитело-антиген. Связывание такого комплекса побуждает эозинофилы синтезировать и секретировать высокотоксичные протеины, способные убить гельминта. Кроме этого синтезируются целый ряд биологически активных веществ, вызывающих развитие аллергических реакций.






