Кора надпочечников отчётливо подразделяется на три зоны (2.А, 2.Б, 2.В), последовательно переходящие одна в другую и в то же время отличающиеся друг от друга по следующим основным признакам: расположению эпителиальных клеток, виду синтезируемых стероидных гормонов и способу регуляции. Вот их краткая характеристика. | |
| Клубочковая зона (2.А) | Пучковая зона (2.Б) | Сетчатая зона (2.В) |
Находится с поверхности; составляет 15 % объёма коры; клетки (среднего размера) образуют скопления в виде округлых арок (клубочков). | Самая протяжённая по толщине; составляет 78 % объёма коры; клетки (самые крупные в коре) формируют длинные пучки (шириной в 1–2 клетки), перпендикулярные поверхности коры. | Самая глубокая зона коры; составляет лишь 7 % объёма коры; относительно мелкие клетки образуют тяжи, идущие в разных направлениях и составляющие рыхлую сеть. |
В клубочковой зоне синтезируется минерало- кортикоид: альдостерон, стимулирующий в канальцах почек реабсорбцию ионов Na+ в кровь (в обмен на секрецию ионов К+ и Н+). | Пучковая зона образует глюкокортикоиды - гормоны, обеспечивающие приспособление организма к хроническому стрессу: кортикостерон, кортизон, гидрокортизон (и др.). б) Один из аспектов этого приспособления - снижение массы лимфоидных органов (п.20.2.6,II). Отсюда - противовоспалительное и антиаллергическое действия. | Сетчатая зона выделяет аналоги мужских половых гормонов - андрогенов: андростендиол (и др.) |
| Секрецию стимулирует образуемый в почках ренин (подробней - в теме 28) | Обе эти зоны находятся под стимулирующим контролем АКТГ (гормона аденогипофиза). |
II. Ростковые области коры
| Количество областей | а) С обеих сторон от клубочковой зоны находятся две очень узкие (и поэтому на обычном препарате неразличимые) ростковые области. б) Они состоят из мелких малодифференцированных клеток. |
| Первая ростковая область | а) Одна из этих областей расположена над клубочковой зоной – между ней и капсулой. б) Она служит для восполнения клеток клубочковой зоны. |
| Вторая ростковая область | а) Вторая ростковая область лежит под клубочковой зоной, отделяя её от пучковой зоны. б) За счёт клеток этой области пополняются пучковая и сетчатая зоны. |
III. Зоны коры при большом увеличении
Рассмотрим кратко серию снимков коры надпочечников.
| 5,б-д. Препарат – надпочечник. Окраска гематоксилин-эозином. | ||
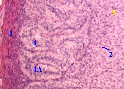
| Капсула и клубочко- вая зона | На этом снимке – поверхностные области коры. 1. а) От толстой соединительнотканной капсулы (1) вглубь железы отходят тонкие прослойки (2) рыхлой соединительной ткани. б) В этих прослойках – кровеносные и лимфатические сосуды, а также нервы. в) Продолжением прослоек являются ретикулярные волокна, оплетающие отдельные эндокриноциты в виде сеточки. | б)Полный размер |
| 2. Под капсулой находится клубочковая зона (4) с характерными аркообразными скоплениями клеток – клубочками (4А). | ||
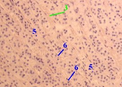
| Пучковая зона | На этих снимках – пучковая зона коры (5). 1. Между пучками эндокриноцитов расположены соединительнотканные прослойки (6) с синусоидными капиллярами (3). 2. а) Сами эндокриноциты в большинстве своём имеют светлую цитоплазму - в связи с высоким содержанием липидных капель с гормонами. б) Встречаются также тёмные клетки: в них липидные капли ещё не успели накопиться. | (Среднее увеличение) в)Полный размер (Большое увеличение) г)Полный размер |
| Сетчатая зона | И, наконец, на последнем снимке – сетчатая зона (7), граничащая с мозговым веществом (8). а) Уже отмечалось, что в этой зоне – самые мелкие в коре эндокриноциты. б) Поэтому в объёме клеток высока доля ядер, что придаёт клеткам относительно тёмный вид. | д)Полный размер |

расположению эпителиальных клеток,
б)Полный размер
в)Полный размер (Большое увеличение)
г)Полный размер
д)Полный размер 





