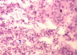
а) В мозговом веществе (8), как и в соседней сетчатой зоне (7) коры, клетки лежат без определённой упорядоченности, образуя скопления и тяжи. б) Но существуют и отличия: железистые клетки мозгового вещества - крупней и имеют более базофильную цитоплазму, кроме того, между ними - много синусоидных капилляров и относительно крупных венул. | 5,е. Препарат – надпочечник. Окраска гематоксилин-эозином. Полный размер |
II. Клетки мозгового вещества
| Виды клеток | а) Основной вид клеток паренхимы мозгового вещества – мозговые эндокриноциты, или хромаффинные клетки. б) В очень незначительном количестве (составляя около 1%) присутствуют также ганглиозные клетки – нейроны симпатической нервной системы (которые, как и мозговые эндокриноциты, происходят из нервных гребней) и поддерживающие клетки – разновидность глиальных элементов. в) Далее мы будем говорить только о хромаффинных клетках. |
| Популяции хромаф- финных клеток: образова- ние катехол- аминов | а) Мозговые эндокриноциты подразделяются на две популяции: А-клетки, преобладающие по численности и образующие адреналин, и Н-клетки, синтезирующие норадреналин. б) И там, и там гормоны содержатся в многочисленных гранулах, окружённых мембраной и имеющих плотную сердцевину. в) При этом сердцевина – специальный белок-носитель, аккумулирующий гормоны. г) Оба гормона относятся к биогенным аминам, а в пределах этого обширного семейства – к катехоламинам. |
| Принад- лежность к APUD- серии: образова- ние пептидных гормонов | 1. а) Сами же мозговые эндокриноциты относятся к клеткам APUD-серии (п. 22.1.2.5,II). б) Это означает, что, кроме биогенных аминов, они образуют и пептидные гормоны. Последние довольно разнообразны (энкефалины, эндорфины и др.) и в небольших количествах содержатся в тех же секреторных гранулах, что и катехоламины. 2. а) Предшественники этих пептидов (длинные полипептидные цепи) синтезируются в гранулярной ЭПС и созревают в аппарате Гольджи. б) Поэтому названные структуры хорошо выражены в мозговых эндокриноцитах. |
III. Клетки мозгового вещества (продолжение)
| Хромаф- финость | а) Мозговые эндокриноциты, как видно из предыдущего, называются также хромафинными клетками. б) Заметим: данный термин означает не хромофильность, а аффинность, т.е. сродство, к хрому. в) Он обусловлен тем, что клетки при обработке бихромат-ионом восстанавливают последний до низших окислов хрома, а эти окислы откладываются в клетках в виде бурого осадка. |
| Общие свойства хромаф- финных клеток | а) Подобные клетки обнаруживаются также в других частях организма. Все они, в т.ч. мозговые эндокриноциты, происходят из ганглиозных пластинок (нервных гребней), являются аналогами эффекторных симпатических нейронов, так же, как последние, синтезируют катехоламин, но, в отличие от симпатических нейронов, не имеют отростков, отчего вырабатываемый катехоламин оказывается не медиатором, а гормоном. б)Именно наличие секреторных гранул с катехоламинами и придаёт всем этим клеткам хромаффинность. |
| Регуляция | а) В отличие от коркового вещества, активность мозгового вещества регулируется не гормональным путём, а симпатической нервной системой. б) К каждому мозговому эндокриноциту (так же, как к нейронам симпатических ганглиев) подходит преганглионарное симпатическое волокно. Поступающие по нему сигналы и стимулируют секрецию клеткой гормонов. в) Таким образом, при остром стрессе симпатическая нервная система действует двумя способами: во-первых, сама воздействует на многочисленные эффекторные органы (п. 14.1.3.1,II), и, во-вторых, инициирует выброс в кровь гормонов мозговым веществом надпочечников. |
IV. Кровоток в мозговом веществе
| Приток крови | Приток крови к мозговому веществу происходит двумя путями. 1. а) Во-первых, как уже отмечалось, сюда продолжаются синусоидные капилляры коры, причём, в мозговом веществе они становятся заметно шире. б) Поэтому проходящая через надпочечники кровь последовательно обогащается гормонами сначала коркового, а затем мозгового вещества. 2. Во-вторых, имеются медуллярные артериолы, которые идут, не разветвляясь, от капсулы через кору в мозговое вещество, где вливаются в сеть синусоидных капилляров этого вещества. 3. Как и в коре, эндотелий капилляров является фенестрированным. |
| Отток крови | а) Капилляры собираются в венулы, которые образуют в мозговом веществе венозное сплетение. Отсюда одни вены идут в воротную вену, другие – в нижнюю полую. б) Это позволяет гормонам попадать одновременно и в печень, и в другие органы-мишени. |

железистые клетки мозгового вещества - крупней и имеют более базофильную цитоплазму,
Полный размер 





