Отделы головного мозга

а) Итак, в головном мозгу различают 5 отделов. б) Перечислим их (и составляющие их образования), обратившись к изображениям уже сформированного мозга.
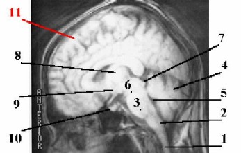
1. Продолговатый мозг (2)- это непосредственное продолжение спинного мозга (1) в ствол головного мозга. 2. а) Собственно задний мозг включает две части: варолиев мост (3) (расположенный вентрально, у основания мозга) и мозжечок (4) (расположенный дорсально). Магнитная резонансная томография (МРТ) головы.
б) Остатком полости заднего мозгового пузыря является IV желудочек (5) мозга, находящийся на уровне продолговатого мозга и мозжечка. 3. а) Средний мозг тоже имеет две части; его составляют ножки мозга (6) - проводящие пути к переднему мозгу и лежащая над ними пластинка четверохолмия (7). б) Остаток полости среднего мозгового пузыря - узкий канал, т.н. сильвиев водопровод. Схема - сагиттальный срез головного мозга человека. Полный размер
4. В промежуточном мозгу– опять-таки две части. а) Зрительные бугры (8) (в ед. числе - thalamus) - большие парные скопления серого вещества, между которыми находится полость III желудочка- остаток полости переднего мозгового пузыря.
б) Гипоталамическая область (на уровне нижних отделов III желудочка и под ним) включает высшие центры регуляции эндокринной системы - собственно гипоталамус (9) и гипофиз (10).
5. а) Конечный мозг содержит большие полушария (11) и подкорковые ядра. б) В полушариях находятся боковые желудочки, которые, как и III желудочек, происходят из полости переднего мозгового пузыря.
Замечание. В соответствии с исходным делением головного мозга на три пузыря, или три части, отделы I и II часто объединяют термином “задний мозг”, а отделы IV и V – термином “передний мозг





Подборка статей по вашей теме: