УЗИ играет роль скрининг-метода (отсеивающего фактора) в дифференциальной диагностике печеночной и подпеченочной желтух и должно выполняться первым из инструментальных методов исследования. При указании на диффузное поражение печени и неизмененных желчных протоках наиболее вероятна печеночная желтуха, причины которой могут быть определены с помощью биопсии печени.
Важнейшие достоинства метода:
• Скрининговый характер, неинвазивность, отсутствие осложнений;
• Возможность использования при любой степени тяжести состояния пациента и во время беременности;
• Одновременная оценка состояния желчных протоков и других анатомических структур (печени, поджелудочной железы, забрюшинного пространства);
• Возможность ультразвукового наведения при пункционных методах декомпрессии и биопсии;
• Объективный выбор метода декомпрессии желчевыводящих путей.
Ультразвуковыми критериями обтурационного характера желтухи являются:
• Увеличение диаметра холедоха более 8 мм, а внутрипеченочных протоков более 4 мм;
• Утолщение стенки холедоха и взвесь в его просвете (холангит);
• Увеличение и деформация желчного пузыря, неоднородное содержимое, мелкие конкременты, визуализация камня в протоке;
• Визуализации патологии головки поджелудочной железы;
• Визуализация патологии БДС – сложно.
Традиционное УЗИ позволяет выявить причину механической желтухи не более чем в 75% случаев.

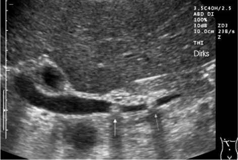
Рисунок 1 – Классическое УЗИ (расширение холедоха и визуализация двух конкрементов в его дистальной части)






