Срез красного костного мозга выглядит как скопление множества клеток с синими ядрами. Это гемопоэтические клетки разных стадий развития и зрелые форменные элементы крови. В отличие от мазка красного костного мозга, на его срезе отдельные виды клеток практически невозможно отличить друг от друга. Исключение составляют гигантские клетки костного мозга – мегакариоциты. В красном костном мозге всегда присутствуют жировые клетки. На препарате можно встретить артерии и синусоидные капилляры, заполненные эритроцитами.
Задание:
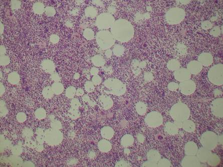
При малом увеличении микроскопа:
а) рассмотреть гемопоэтическую ткань. Клетки миелоидной ткани мелкие, округлые, ядра окрашены базофильно.
б) найти адипоциты. Адипоциты (жировые клетки) - крупные, округлой формы, расположены обычно группами.
Фото.2.1.1.
При большом увеличении микроскопа:
а) найти мегакариоцит. Гигантские клетки костного мозга мельче адипоцитов, имеют оксифильно окрашенную цитоплазму и базофильно окрашенное дольчатое ядро.
б) найти ретикулярную клетку. Ретикулярные клетки стромы костного мозга легче всего найти между прилегающими друг к другу клетками жировой ткани. Ретикулярные клетки мелкие, имеют отростки. Ядро округлое, цитоплазма слабо оксифильно окрашена.
|
|
|
Фото.2.1.2.
Зарисовать препарат при большом увеличении микроскопа и обозначить:
1. гемопоэтические клетки
2. адипоцит
3. мегакариоцит
4. ретикулярную клетку
Фото 2.1.1. Красный костный мозг. Срез.
Гем.-Эоз. Малое увеличение. (Ув.10х7)
|
|
|
Фото 2.1.2. Красный костный мозг. Срез.
|
|
|
|
2.2. Тимус.
Тимус (вилочковая железа) покрыт соединительнотканной капсулой, от которой отходят трабекулы, которые делят его на дольки. Строму долек тимуса образуют ретикулоэпителиальные клетки. В каждой дольке различают корковое и мозговое вещество. Корковое вещество образует периферическую часть дольки и содержит более 90% всех тимоцитов (Т-лимфоцитов тимуса). В этой зоне происходит антигеннезависимая пролиферация и дифференцировка Т-лимфоцитов из полустволовых клеток, мигрирующих в орган из красного костного мозга. Ретикулоэпителиальные клетки стромы и эндотелий капилляров создают в корковом вещества тимуса барьер между кровью и развивающимися тимоцитами (гематотимусный). В мозговом веществе тимоцитов всего 10% и это, в основном, рециркулирующий пул зрелых лимфоцитов. Эпителиоретикулярные клетки в мозговом веществе дольки тимуса образуют тельца тимуса (слоистые эпителиальные тельца,тельца Гассаля). Тельца тимуса – это частично ороговевшие клетки стромы, образующие концентрические наслоения друг на друга.
|
|
|






