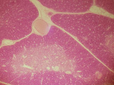
Дольки состоят из округых тимоцитов, окрашенных резко базофильно. В дольке корковое вещество окрашено более интенсивно, чем центральная часть – мозговое вещество, что связано с различным содержанием тимоцитов (Т-лимфоцитов) в них. В мозговом веществе между лимфоцитами расположены оксифильно окрашенные тельца тимуса и хорошо видны сосуды (в основном вены).
Задание:
При малом увеличении микроскопа:
а) рассмотреть дольки тимуса
б) рассмотреть междольковую соединительную ткань
в) рассмотреть крупную дольку с хорошо выраженным корковым и мозговым веществом. Корковое вещество дольки тимуса более темное, т.к. в нем больше лимфоцитов. Между лимфоцитами располагаются клетки ретикулоэпителиальной стромы и макрофаги - крупные, слабо окрашенные клетки.
г) рассмотреть мозговое вещество тимуса. В мозговом веществе тимуса содержится 3-5% от всех лимфоцитов тимуса – оно светлее коркового. Между лимфоцитами мозгового вещества располагаются клетки ретикулоэпителиальной стромы, сосуды и слоистые эпителиальные тельца (тельца Гассаля, тельца тимуса).
|
|
|
д) рассмотреть в корковом веществе дольки тимуса ретикулоэпителиальные клетки.Они имеют отростки (на препарате отростки не видно из-за плотно лежащих лимфоцитов), слабо базофильно окрашенное ядро и оксифильно окрашенную цитоплазму.
Фото 2.2.1.; 2.2.2.
При большом увеличении микроскопа:
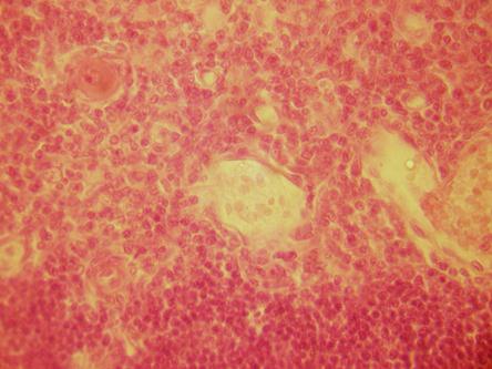
а) найти и рассмотреть в мозговом веществе дольки тимуса тимическое тельце тельце. Тельце тимуса имеет слоистое строение и ярко розовую окраску. Тельца расположены только в мозговом веществе.
б) найти и рассмотреть сосуды в мозговом веществе дольки тимуса. В отличие от оксифильно окрашенных телец тимуса, сосуд может быть полым или иметь зернистую структуру, если заполнен эритроцитами желтого цвета.
Фото 2.2.3.
Зарисовать препарат и обозначить на рисунке:
1. капсулу
2. дольку
а) корковое вещество
б) мозговое вещество
3. междольковую соединительную ткань
4. междольковый сосуд
5. тимоцит
6. эпителиоретикулоцит
7. тельце тимуса
8. внутридольковый сосуд
Фото 2.2.1. Тимус. Гем.-Эоз.
Малое увеличение. (Ув.10х7)
|
|
|
|
Фото 2.2.2. Тимус. Гем.-Эоз.
Малое увеличение. (Ув.10х7)
|
Фото 2.2.3. Тимус. Мозговое вещество. Гем.-Эоз.
Большое увеличение. (Ув.40х7)
|
|







