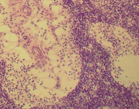
Под соединительнотканной оксифильно окрашенной капсулой узла (плотная неоформленная соединительная ткань) расположены лимфатические фолликулы коркового вещества синего цвета. Большинство фолликулов имеют выраженный светлый центр и более темный венец из лимфоцитов. Центральную часть лимфатического узла занимает мозговое вещество, в котором различают окрашенные базофильно мозговые тяжи – структуры состоящие в основном, из плазматических клеток. Лимфоциты маскируют ретикулярную ткань, ее можно увидеть только в синусах узла при большом увеличении микроскопа. В синусах узла расположено значительное количество клеток: малых лимфоцитов, макрофагов.
При малом увеличении микроскопа:
а) найти капсулуузла и трабекулы. От капсулы внутрь органа отходят соединительно-тканные оксифильно окрашенные тяжи – трабекулы
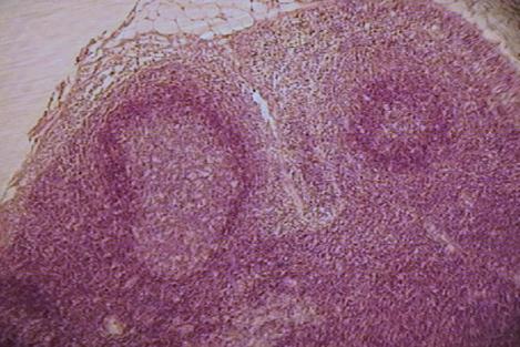
б) найти корковое вещество узла. Состоит из базофильно окрашенных лимфатических фолликулов, расположенных по периферии. В корковом веществе узла на гистологическом препарате фолликулы часто расположены в несколько рядов, если срез проведен не по центру органа и, как правило, на таких препаратах плохо выражено мозговое вещество.
|
|
|
в) найти мозговое вещество узла. По сравнению с корковым веществом, мозговое более светлое. В нем располагаются мозговые тяжи (базофильно окрашенные) и мозговые синусы.
г) найти паракортикальную зону на границе коркового и мозгового вещества. Паракортикальная зона расположена непосредственно под лимфатическими фолликулами и не имеет четких границ.
д) найти краевой (подкапсулярный) синус - светлое пространство между капсулой и лимфатическими фолликулами, заполненное клетками.
е) найти вокругузелковый синус - светлое пространство между трабекулами и лимфатическими фолликулами, заполненное клетками.
ж) найти мозговые тяжи. Базофильно окрашенные неправильной формы скопления клеток в мозговом веществе лимфоузла.
з) найти мозговой синус - светлое пространство, заполненное клетками, расположенное между мозговыми тяжами и трабекулами.
Фото 2.3.1.; 2.3.2.; 2.3.3.
При большом увеличении микроскопа:
а) найти и рассмотреть ретикулярные клетки стромы органа. В более светлом мозговом веществе, в мозговом синусе видны мелкие клетки, имеющие отростки, округлое светло-синее ядро и розовую цитоплазму.
б) найти и рассмотреть сосуды в трабекулах мозгового вещества.
Фото 2.3.4.
Зарисовать препарат и обозначить на рисунке:
1.капсулу
I.корковое вещество
2. лимфатический фолликул
а) центр размножения (светлый центр)
б) корону из малых лимфоцитов
3.трабекулу
4.краевой синус
5.вокругузелковый синус
II.паракортикальную зону
|
|
|
III.мозговое вещество
6.мозговой синус
7. ретикулярную клетку
8.трабекулярный сосуд
9.мозговой тяж
Фото. 2.3.1. Лимфатический узел. Гем.-Эоз.
Малое увеличение. (Ув.10х7)
|
|
|
|
Фото 2.3.2. Лимфатический узел. Корковое вещество и паракортикальная зона. Гем.-Эоз.
Малое увеличение. (Ув.10х7)
|
|
|
|
|
Фото 2.3.3. Лимфатический узел. Мозговое вещество. Малое увеличение.
Гемм.-Эоз. (Ув.10х7)
|
|
|
Фото 2.3.4. Мозговое вещество лимфатического узла. Гем.-Эоз.
Большое увеличение. (Ув.40х7)
|
|
|
|







