Знать:
- основы медицинской и врачебной этики и деонтологии в работе с пациентом, с медицинским персоналом и коллегами по работе;
- правила ведения основной медицинской документации;
- этапы опроса больного;
- правила проведения общего осмотра пациента;
- классификации основных клинических синдромов;
- этиологию, патогенез, клинику, симптоматику основных терапевтических симптомов и синдромов;
- методы обследования больных с заболеваниями дыхательной, сердечно-сосудистой, пищеварительной, мочевыделительной систем;
- электрокардиографические признаки нарушений ритма и проводимости;
- патологические изменения данных лабораторных и инструментальных методов исследования при различных клинических синдромах.
Уметь:
- применять правила медицинской этики и деонтологии;
- собирать жалобы пациента и анамнестические данные;
- проводить общий осмотр больного, пальпацию, перкуссию и аускультацию органов и систем;
- выделять основные патологические симптомы и синдромы;
|
|
|
- объединять выявленные симптомы в синдром;
- назначать адекватное лабораторное и инструментальное дообследование;
- интерпретировать результаты лабораторных и инструментальных методов исследования больного;
- оформлять историю болезни, согласно принятым нормам.
Тема № 1
ОСНОВНЫЕ КЛИНИЧЕСКИЕ СИНДРОМЫ ЗАБОЛЕВАНИЙ ОРГАНОВ ДЫХАНИЯ: СИНДРОМ ВОСПАЛИТЕЛЬНОГО УПЛОТНЕНИЯ ЛЕГОЧНОЙ ТКАНИ, БРОНХООБСТРУКТИВНЫЙ СИНДРОМ НА ПРИМЕРЕ БРОНХИАЛЬНОЙ АСТМЫ И ОБСТРУКТИВНОГО БРОНХИТА. РЕНТГЕН-ДИАГНОСТИКА
Уплотнение легочной ткани может наблюдаться в случаях:
· заполнения части альвеол воспалительным экссудатом, кровью (пневмония, инфаркт-пневмония);
· замещения части альвеол соединительной тканью (пневмосклероз);
· прорастания части воздушной ткани легкого опухолью (первичный рак легкого).
СИНДРОМ ВОСПАЛИТЕЛЬНОГО УПЛОТНЕНИЯ ЛЕГОЧНОЙ ТКАНИ (ПНЕВМОНИЯ)
Пневмония – заболевание, характеризующееся воспалительными изменениями в легочной ткани. При этом в альвеолах происходит накопление воспалительного экссудата.
Этиология. В подавляющем большинстве случаев причиной воспаления легочной ткани являются пневмококки. Остальную часть составляют стафилококки, клебсиеллы, хламидии, микоплазмы, вирусы, грибы и др.
Факторы риска:
· переохлаждение;
· курение;
· злоупотребление алкоголем;
· тяжелые хронические заболевания (длительный постельный режим).
Патогенез. Возбудитель проникает чаще бронхолегочным путем, фиксируется на слизистой оболочке, колонизируется, инвазируется и вырабатывает токсины, что в сочетании с предрасполагающими факторами приводит к воспалению. Воспаление легочной ткани происходит по типу экссудативного, т.е. обязательным компонентом заболевания является наличие в альвеолах воспалительного выпота.
|
|
|
Воспаление вызывает появление общих и местных симптомов (рис.1), степень выраженности которых зависит от иммунного статуса пациента и от объема поражения легочной ткани.
Клинические проявления

Рис. 1. Основные симптомы при пневмонии
Объективный осмотр
Общий осмотр. Частота дыхания зависит от тяжести процесса и может варьировать в широких пределах. При крупозной пневмонии половина грудной клетки, соответствующая воспалительному очагу, отстает в акте дыхания. При очаговой пневмонии движения грудной клетки симметричны.
Пальпация. Над областью поражения - усиление голосового дрожания.
Перкуссия. Над очагом определяется притупление перкуторного звука.
Аускультация. В 1 стадию заболевания – ослабленное везикулярное или бронховезикулярное дыхание, в стадию разрешения – крепитация, возможны мелкопузырчатые влажные хрипы и усиление бронхофонии.
Лабораторные данные. Общий анализ крови – лейкоцитоз со сдвигом формулы влево, повышение СОЭ. Микроскопия мокроты и посев на питательную среду позволяют верифицировать возбудителя и определить его чувствительность к антибиотикам.
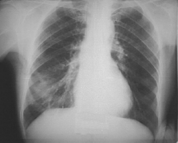
Инструментальные данные. Рентгенологическое исследование позволяет уточнить локализацию и размеры воспалительной инфильтрации, которая определяется, как участок затемнения без четких контуров (рис. 2).

Рис. 2. Пневмония в правом легком
БРОНХООБСТРУКТИВНЫЙ СИНДРОМ
Бронхиальная астма
Бронхиальная астма — инфекционно-аллергическое заболевание, основным проявлением которого являются приступы бронхоспазма (удушья) в ответ на экзогенный или эндогенный аллерген.
Этиология и патогенез. При бронхиальной астме нарушается нервная регуляция функции бронхов, в результате чего раздражаются окончания блуждающего нерва, иннервирующие легкие. При контакте с аллергеном, происходит активация прессорных механизмов гладких мышц бронхов, что приводит к бронхоспазму и к сужению их просвета. Это затрудняет выдох и приводит к удушью. Обычно больные вначале имеют повышенную чувствительность лишь к одному аллергену, в последующем количество их значительно увеличивается. Нередко бронхиальная астма возникает после инфекционных заболеваний. В этих случаях роль аллергенов играет микробная флора. Иногда приступы бронхиальной астмы возникают под влиянием сильных психических потрясений, черепно-мозговых травм.






