| Состав барьера | а) Из вышеизложенного вытекает, что между просветом альвеолы (ПА) и просветом кровеносного капилляра (ПК) находятся следующие структуры: |
мембранная фаза (1) и гипофаза (2) сурфактантного комплекса, тонкий слой цитоплазматической части альвеолоцита 1-го типа (3) на базальной мембране, и тонкий слой цитоплазматической части эндотелиоцита (4) тоже на базальной мембране. | |
| б) Иногда между двумя базальными мембранами оказывается ещё один тонкий слой – рыхлой соединительной ткани. | |
| Прохож- дение газов через барьер | Проникновение газов через все эти структуры (кислорода из альвеол в капилляры и СО2 в обратном направлении) происходит путём простой диффузии – т.е. в сторону меньшей концентрации и без участия каких-либо мембранных переносчиков. |
II. Ещё одна иллюстрация барьера
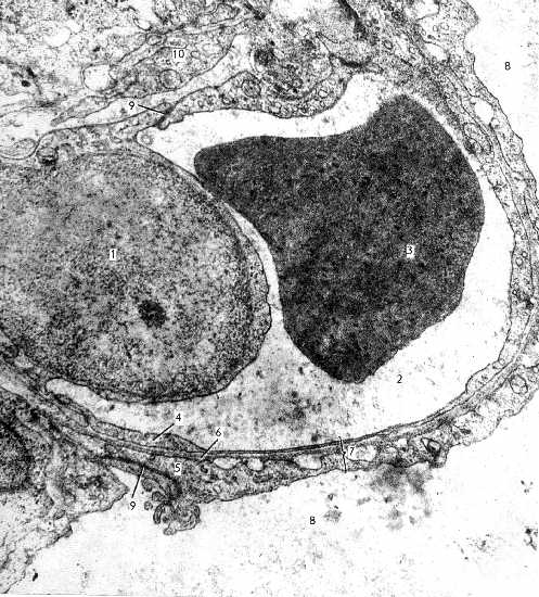
| Электронная микрофотография. Лёгкое: аэрогематический барьер. | |
На этом снимке - несколько иной ракурс. а) Основную часть кадра занимает кровеносный капилляр, где 1 - ядросодержащая часть одного из эпителиоцитов, выбухающая в просвет (2) капилляра; 3 - эритроцит. б) Просвет альвеолы - 8; сурфактант на снимке отсутствует. в) Остальные компоненты барьера - налицо: тонкие цитоплазматические части (5) альвеолоцитов I типа, соединённых между собой десмосомами (9), слившиеся базальные мембраны (6) эпителия и эндотелия, тонкие цитоплазматические части (4) эндотелиоцитов, тоже соединённых между собой десмосомами (9) (вверху снимка) | |
| г) Ещё выше на снимке виден фрагмент (10) неэпителиальной клетки. Это может быть адвентициальная клетка капилляра или какая-либо иная клетка - например, липофибробласт. |
III. Альвеолоциты 2-го порядка
| Общие сведения | а) Компоненты сурфактантного комплекса – фосфолипиды, белки, углеводы – синтезируются специальными клетками альвеолярного эпителия – альвеолоцитами 2-го порядка (2-го) типа, или секреторными альвеолоцитами. б) Эти клетки называют также большими альвеолоцитами, поскольку они гораздо крупней и выше альвеолоцитов 1-го типа. в) На них (клетки 2-го типа) приходятся оставшиеся 5% поверхности альвеол. | |
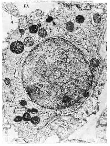
| Электронная микрофотография. Альвеолоцит 2-го типа в стенке альвеолы. | ||
| Морфо- логия альвеоло- цитов-II | 1.а) Кроме обычных органелл – ядрá (1), митохондрий (2), развитой ЭПС и аппарата Гольджи, – альвеолоцит 2-го типа содержит в цитоплазме слоистые,или пластинчатые, тельца – цитофосфолипосомы (3). б) Основной компонент последних – фосфолипиды; по этой причине тельца являются осмиофильными. 2. а) Некоторые фосфолипосомы (4) находятся в процессе выделения в просвет альвеолы. | |
| б) Далее из их материала и будет формироваться мембранная фаза сурфактанта. 3. Базальной своей стороной альвеолоцит 2-го типа лежит на базальной мембране (5) альвеолярного эпителия. | ||
| Замеча- ние | Есть мнение, что данные клетки выполняют ещё одну функцию – служат камбиальными элементами. |

мембранная фаза (1) и гипофаза (2) сурфактантного комплекса,