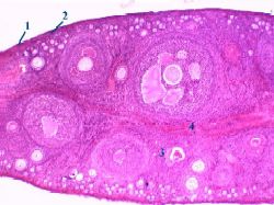
1. а) А. Яичник с поверхности покрыт не всем слоем брюшины, а только мезотелием (1) (что облегчает овуляцию). Б. На апикальной поверхности клеток мезотелия имеются микроворсинки. б) Под эпителием находится белочная оболочка (2), образованная плотной волокнистой соединительной тканью. 2. Собственно яичник подразделяют на корковое вещество (3), прилегающее к поверхности, и мозговое вещество (4), располагающееся в глубине органа. | 1,а. Препарат - яичник. Окраска гематоксилин- эозином. Полный размер |
II. Корковое вещество яичника: фолликулы
Определение. а) Основное, что содержится в корковом веществе, это фолликулы. б) Каждый фолликул включает, как минимум, два компонента: один ооцит (1) - предшественник яйцеклетки и окружающие его фолликулярные клетки (2). в) Последние имеют эпителиальную природу и лежат на базальной мембране, которая покрывает фолликулярный эпителий с наружной стороны. г) Все фолликулы яичника можно поделить на три группы: покоящиеся, развивающиеся и погибающие. | I. Схема - яичник: развитие фолликулов, овуляция и образование жёлтого тела. Полный размер |
I. Покоящиеся фолликулы. б) Покоящиеся фолликулы называются примордиальными (3). Это очень мелкие фолликулы, в большом количестве сосредоточенные, в основном, в субкапсулярной (поверхностной) зоне коркового вещества. |
II. Развивающиеся фолликулы. 1. Развивающиеся фолликулы образуются из примордиальных фолликулов, некоторое количество которых (от 3 до 30) в каждом менструальном цикле вступает в созревание. |
2. а) В данной группе различают первичные (4), вторичные (5) и третичные (6) фолликулы. б) Это последовательные стадии развития фолликулов, и по мере перехода от примордиального фолликула к третичному значительно увеличивается объём ооцита и всего фолликула, причём в фолликуле появляются новые структуры: | |
дополнительные оболочки, гормонпродуцирующие клетки и заполненные жидкостью полости, возрастающие в размере и сливающиеся друг с другом. 3. а) Таким образом, самыми крупными являются третичные фолликулы, и бoльшую часть их объёма занимает полость с жидкостью. б) Поэтому данные фолликулы называются граафовыми пузырьками. в) Один из них на определённой стадии менструального цикла подвергается овуляции. |
III. Погибающие фолликулы. а) Кроме фолликула, дошедшего до овуляции, все остальные созревающие фолликулы останавливаются в своём развитии на той или иной стадии и | |
подвергаются атрезии – процессу, ведущему к гибели ооцита и фолликулярных клеток. б) Причём, как показано на схеме, на начальной стадии такие фолликулы называются атрезирующими; позже они превращаются в атретические тела (9) и скопления интерстициальных клеток. в) Постоянно вступает в атрезию и какое-то количество покоящихся (примордиальных) фолликулов. | Схема - яичник Полный размер |
III. Корковое вещество яичника: прочие компоненты
| Жёлтое тело | а) Согласно той же схеме (см. выше), фолликул, который прошёл овуляцию, превращается затем в жёлтое тело (7А-7Б) – внутриорганную железу, продуцирующую прогестерон (женский половой гормон из группы прогестинов). б) Данная железа функционирует в течение предменструальной стадии цикла, а в случае беременности – в течение её первой половины. | |
| Белое тело | Потом жёлтое тело превращается в соединительнотканный рубец – белое тело (8), которое в конце концов рассасывается. |
| Строма | Между перечисленными компонентами коркового вещества находятся тонкие прослойки волокнистой соединительной ткани с сосудами, составляющие строму. |
IV. Мозговое вещество яичника
1. Мозговое вещество в яичнике – это узкая полоса соединительной ткани (11) в глубине органа, в которой содержатся а) сосуды (10), идущие далее в корковое вещество; б) нервные волокна (тоже продолжающиеся в кору) - чувствительные, а также эффекторные - симпатические и парасимпатические; в) эпителиальные тяжи и трубочки (12), образующие сеть яичника и представляющие собой остатки канальцев (12) первичной почки (из которой, как и яички, развиваются яичники). | Схема - яичник Полный размер |
| * * * а) Таким образом, основные компоненты яичника находятся в его корковом веществе. б) И если к мозговому веществу мы уже возвращаться не будем, то структуры коркового вещества необходимо рассмотреть более подробно. |
