Лактирующая молочная железа

Роль про- гестерона а) Лактирующая способность приобретается к концу беременности. б) А. Большую роль в преобразовании железы играет прогестерон, на фоне продукции которого протекает беременность. Б. Прогестерон стимулирует в молочной железе разрастание млечных альвеолярных ходов и формирование на их концах альвеол, или ацинусов. в) Так что каждый концевой отдел теперь содержит два компонента: несколько альвеол и альвеолярный ход.
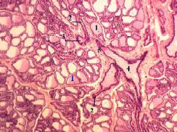
Препарат 6. Препарат - лактирующая молочная железа. Окраска гематоксилин-эозином.
а)Малое увеличение Полный размер б)Большое увеличение Полный размер
Альвеолы а) В лактирующей железе альвеолы (1) представляют собой полые мешочки, заполненные секретом. б) Стенка мешочка образована одним слоем лактоцитов (1.А) - железистых клеток (на базальной мембране), имеющих кубическую форму, круглые ядра, внутриклеточные секреторные канальцы (как в париетальных клетках желёз желудка; тема 24), по которым белковый компонент молока (казеин) перемещается в просвет альвеолы; и микроворсинки на апикальной поверхности. в) Местами в стенке находятся и миоэпителиальные клетки (1.Б): они окружают альвеолу снаружи, охватывая её своими отростками, и отличаются палочковидными ядрами. г) В просвете альвеол - капли секрета (1.В).
Альвео- лярные ходы а) Альвеолы открываются в млечные альвеолярные ходы (2). б) Образующие их клетки, видимо, тоже способны к секреции, но в существенно меньшей степени (чем лактоциты альвеол).
в) Их морфология такова: ядра - столь же крупные и округлые ядра, что и в лактоцитах, но объём цитоплазмы гораздо меньше (в связи с меньшей секреторной активностью), поэтому клеточные ядра расположены гораздо ближе друг к другу г) Последнее обстоятельство и позволяет отличить альвеолярный ход от альвеолы.
Выводные (млечные) протоки а) Последующие выводные протоки нам уже известны: альвеолярные ходы переходят в разветвлённые внутридольковые протоки (3), те - в междольковые протоки (4 на снимке а, 2 на снимке б), а последние собираются в долевые протоки. б) В лактирующей железе ёмкость млечных синусов (расширений долевых протоков) становится существенно больше. в) Между альвеолами и протоками находятся соединительнотканные перегородки (5) и скопления жировых клеток. а) Малое увеличение б) Большое увеличение




double arrow
Сейчас читают про: