На рентгенограммах в прямой передней и задней проекциях выявляются 12 пар ребер, однако отмечаются проекционные наслоения их передних и задних концов (рис. 6.6, 6.7). В прямой задней проекции видны шейки и бугорки ребер. Головки ребер проекционно наслаиваются на тела и поперечные отростки позвонков. В боковой проекции четко определяются контуры и структура тела ребра. Щель реберно-поперечного сустава проекционно наслаивается на поперечные отростки позвонков и практически не видна.
| Рис. 6.6. Рентгенограмма грудной клетки в передней прямой проекции (ребёнок 3-х лет). 1- ключица; 2- сердце; 3,4- рёбра. | Рис. 6.7. Обзорная рентгенограмма грудной клетки (прямая задняя проекция). |
6.1.4. Рентгеноанатомия черепа
Для получения полного представления костей черепа применяют несколько проекций. Основными из них являются прямая и боковая проекции (рис. 6.8, 6.9)
Проекции дают возможность провести измерения, определить форму черепа, произвести анализ швов, грануляций и пальцевых вдавлений и т.д.
Прямая проекция (фасная) применяется для изучения костей мозгового, лицевого черепа, лобных и гайморовых пазух, глазницы. На рентгенограммах черепа, выполненных в прямой проекции, видны теменные кости со стреловидным швом, чешуя лобной кости, ограниченная хорошо выраженным венечным швом и внизу глазницами. Клиновидная пазуха в данной проекции создает просветление четырехугольной формы, расположенное между глазницами. В прямой проекции хорошо видны альвеолярные отростки челюстей и зубы, особенно резцы и клыки. Черепные ямки располагаются одна за другой (передняя, средняя, задняя).
|
|
|
На рентгенограммах черепа, выполненных в боковой проекции, определяются кости лицевого, мозгового черепа, швы и сосудистые борозды. Особенно хорошо видны кости свода черепа. Четко контурируются наружная и внутренняя пластинки компактного вещества костей, между которыми располагается полоска просветления губчатого вещества (диплоэ). Четко определяются швы костей черепа (венечный, стреловидный и ламбдовидный). Они имеют зубчатое строение. В боковой проекции на основании черепа отчетливо видны три черепные ямки, а также кости лицевого черепа. Прежде всего определяется тень лобной кости. В нижней части ее отмечается просветление в виде темного треугольника или овала неправильной формы. Это - проекция лобной пазухи. Ниже лобной кости располагается сложная тень глазницы, а под нижней стенкой глазницы расположена гайморова пазуха, дающая просветление неправильной формы. Четко определяются альвеолярные отростки челюстей, зубы и дугообразная тень нижнечелюстного сустава.
|
|
|
| Рис. 6.8. Обзорная рентгенограмма черепа (прямая проекция). | Рис. 6.9. Обзорная рентгенограмма черепа (боковая проекция). |
6.1.5. Рентгеноанатомия суставов ВЕРХНЕЙ КОНЕЧНОСТИ
Грудино-ключичный сустав изучают в передней прямой проекции. При этом хорошо прослеживаются суставная поверхность на грудине (ключичная вырезка) и выпуклый грудинный конец ключицы. Суставной диск на рентгенограмме не виден.
Акромиально-ключичный сустав исследуется в прямой задней проекции. Четко определяется форма суставных поверхностей. Размеры суставных поверхностей не соответствуют друг другу. Рентгеновская суставная щель прямолинейна.
Плечевой сустав. В образовании сустава участвуют суставная впадина лопатки и головка плечевой кости. На рентгенограммах в прямой задней и аксиальной проекциях отчетливо выявляются суставные поверхности и рентгеновская суставная щель (рис. 6.10). На рентгенограмме в прямой задней и аксиальной проекциях отчетливо выявляются суставные поверхности и рентгеновская суставная щель. Она соответствует толщине хрящей, покрывающих сочленение кости и дает равномерное просветление шириной 3-4мм.
Локтевой сустав образован сочленением трех костей: плечевой, лучевой, локтевой. Исследуют локтевой сустав в прямой и боковых прокциях (рис.6. 11А,Б).
В прямой проекции выявляются суставные поверхности плечевой кости. Головка мыщелка плечевой кости располагается латерально и имеет четкие закругленные контуры. Блок плечевой кости находится медиально и формирует вогнуто-выпуклую линию. Суставная поверхность на лучевой кости (ямка головки) имеет контуры овальной формы. Рентгеновская суставная щель плече-лучевого сустава определяется в виде просветления дугообразной формы. Суставная щель плечелоктевого сустава имеет вид линейного просветления изогнутой формы. В боковой проекции головка мыщелка и блок плечевой кости наслаиваются друг на друга. Отчетливо видны головка и шейка лучевой кости.
Лучезапястный сустав на рентгенограмме обычно исследуют в прямой проекции (рис.6.12). Суставную щель лучезапястного сустава сверху ограничивает дистальный конец лучевой кости. С медиальной стороны запястная суставная поверхность лучевой кости дополняется хрящевым диском, отделяющим от сустава локтевую кость. Рентгеновская суставная щель дает просветление полуовальной формы, причем ширина просветления неодинакова. Она более узкая между лучевой и ладьевидной костями и более широкая между трехгранной и локтевой костями, так как хрящевой диск не выявляется.
| Рис. 6.10. Рентгенограмма плечевого пояса (возраст 8 лет). 1- ключица; 2- акромион; 3- клювовидный отросток лопатки; 4- головка плечевой кости; 5,7- проксимальный отдел плечевой кости; 6- суставная впадина; 8- лопатка; 9- ребра. |
| Рис. 6.11. Обзорная рентгенограмма правого локтевого сустава (А- прямая, Б- боковая проекция). |
Суставы кисти. Наиболее часто для исследования кисти применяют прямую ладонную проекцию, для которой характерны лишь незначительные проекционные наслоения костей запястья (рис. 6.12). Между костями проксимального и дистального рядов запястья видна рентгеновская суставная щель среднезапястного сустава. Она имеет S-образную форму. Рентгеновские суставные щели пястно-фаланговых сочленений дают дугообразные лентовидные просветления одинаковой ширины во всех суставах. Между фалангами пальцев отчетливо видны просветления – это рентгеновские суставные щели межфаланговых суставов. Межфаланговые суставы – типичные блоковидные суставы.
| Рис. 6.12. Рентгенограмма костей и суставов кисти, правой. 1 - radius; 2- processus styloideus radii; 3- os scaphoideum; 4- os trapezium; 5- os trapezoideum; 6- os metacarpale I; 7- os sesamoideum; 8- phalanx proximalis pollicis; 9- phalanx distalis pollicis; 10- phalanx proximalis; 11- phalanx media; 12- phalanx distalis; 13- os metacarpale V; 14- hamulus ossis hamati; 15- os capitatum; 16- os hamatum; 17- os pisiforme; 18- os triquetrum; 19- os lunatum; 20- processus styloideus ulnae; 21- ulna. Рентгеновская суставная щель:I- лучезапястного сустава; II- среднезапястного сустава; III- пястно-фалангового сустава; IV- межфалангового сустава. |
6.1.6. Рентгеноанатомия суставов нижней конечности
|
|
|
Лобковый симфиз (хрящевое соединение между тазовыми костями с полостью внутри) на рентгенограмме в прямой проекции представлен полосой просветления с четкими контурами (рис. 6.13).
Крестцово-подвздошный сустав образован ушковидными поверхностями крестца и подвздошной кости. При исследовании в прямой передней проекции эти суставы проецируются
в виде ромбовидной или овальной узкой полоски просветления в латеральном отделе крестца.
Тазобедренный сустав образован впадиной тазовой кости и головкой бедренной кости. На рентгенограмме в прямой проекции (рис. 6.14) отчетливо видны суставные поверхности и рентгеновская суставная щель. Головка бедренной кости дает шаровидную тень с гладкими контурами. В этом месте выявляется углубление с неровными контурами. Рентгеновская суставная щель представлена дугообразной полоской просветления.
Коленный сустав исследуется в двух проекциях. В прямой проекции хорошо видны ровные контуры мыщелков бедра и большеберцовой кости (рис.6.15). В боковой проекции хорошо различаются овальные контуры мыщелков бедренной кости, тени которых наслаиваются друг на друга. Отчетливо виден надколенник. Рентгеновская суставная щель представлена полосой просветления, более широкой спереди и сзади (рис. 6.15).
Обзорные снимки коленного сустава показаны на рис.6.15.
| Рис. 6.13. Обзорная рентгенограмма соединений тазовых костей (прямая передняя проекция). |
| Рис. 6.14. Рентгенограмма тазобедренного сустава, правого (зрелый возраст). 1- подвздошная кость; 2- лобковая кость; 3- седалищная кость; 4- «рентгеновская суставная щель»; 5- головка бедренной кости. |
Межберцовый сустав -это сочленение головки малоберцовой кости и малоберцовой суставной поверхности большеберцовой кости. Рентгеновская суставная щель этого сустава прослеживается в виде узкой, косой полоски просветления (рис.6.16).
|
|
|
Межберцовый синдесмоз располагается в дистальном отделе голени между малоберцовой вырезкой большеберцовой кости и медиальной поверхностью нижней части малоберцовой кости. На рентгенограмме данное соединение определяется в виде вертикально направленного просветления.
| Рис. 6.15. Обзорная рентгенограмма костей коленного сустава в двух проекциях с законченным ростом костей. Инородное тело в суставной рентгеновской щели. |
| Рис. 6.16. Обзорная рентгенограмма костей голени и коленного сустава. Нижняя треть бедренной кости ребёнка с незаконченным ростом костей. |
Голеностопный сустав образован нижней суставной поверхностью большеберцовой кости, суставными поверхностями лодыжек и блоком таранной кости. В прямой проекции все эти образования выявляются отчетливо (рис.6.17). Рентгеновская суставная щель голеностопного сустава представлена просветлением в виде буквы «П». В боковой проекции кости голени проекционно наслаиваются друг на друга (рис. 6.18). Рентгеновская суставная щель сустава представлена дугообразным просветлением равномерной ширины, просматриваемым на фоне теней лодыжек над блоком таранной кости.
| Рис. 6.17. Рентгенограмма голеностопного сустава. 1- большеберцовая кость; 2- малоберцовая кость; 3- «рентгеновская суставная щель»; 4- таранная кость. |
Суставы стопы исследуют в прямой подошвенной, прямой тыльной, боковой и аксиальной проекциях. В прямой подошвенной проекции хорошо выявляются фаланги пальцев, кости плюсны и частично кости предплюсны, отчетливо видны суставы между костями предплюсны. Они прослеживаются в виде просветлений различной формы и ширины. В частности, отчетливо определяется рентгеновская суставная щель поперечного сустава предплюсны (Шопарова сустава). Суставная щель данного сустава имеет S-образную форму. Суставная щель предплюсне-плюсневых суставов (Лисфранков сустав) характеризуется поперечно расположенным просветлением, имеющим вид ломаной линии. В боковой проекции стопы из всех костей предплюсны отчетливо выявляется пяточная и таранная кости (рис.6.19). Клиновидные и кубовидная кости проекционно наслаиваются друг на друга, поэтому выявляются неотчетливо. В боковой проекции определяют форму и величину продольных сводов стопы.
| Рис. 6.18. Рентгенограмма стопы (положение «на пальцах»). 1- большеберцовая кость; 2- малоберцовая кость; 3- пяточная кость; 4- таранная кость; 5- ладьевидная кость; 6- медиальная клиновидная кость; 7- кости плюсны; 8- проксимальная фаланга большого пальца стопы. |
| Рис.6.19. Обзорная рентгенограмма костей голеностопного сустава и суставов стопы (Боковая проекция). Отчётливо видно заднюю и нижнюю «шпоры» пяточной кости. |
6.1.7. КОМПЬЮТЕРНАЯ ТОМОГРАФИЯ В ИССЛЕДОВАНИИ КОСТЕЙ
И ИХ СОЕДИНЕНИЙ
Рентгеновская компьютерная томография (КТ) является рентгенологической методикой, способной оценить морфологические изменения органов и тканей, что, в свою очередь, способствует постановке клинического диагноза. Данные, получаемые с ее помощью, должны использоваться лечащим врачом только в совокупности с данными, полученными с помощью других методов исследования.
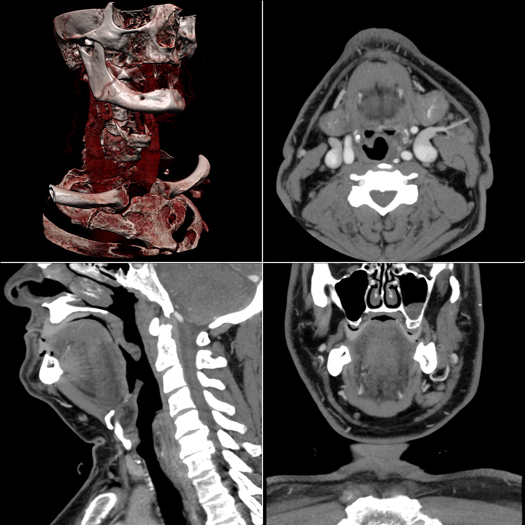
Компьютерный томограммы представляют собой карты распределения в плоскости томографирования коэффициентов ослабления рентгеновского излучения (см. рис. 6.20).
В настоящее время компьютерная томография подразделяется на пошаговую (традиционную) КТ, при которой одномоментно сканируется 1 томографический срез, и спиральную КТ, при которой данные снимаются со всего исследуемого объема, а затем из них реконструируются отдельные томографические срезы. Спиральная КТ, в свою очередь, подразделяется на односрезовую, при которой одновременно можно получить только один томографический слой и многослойную (мультсрезовую) КТ, при которой одновременно реконструируются от 2 до 64 томографических срезов.
КТ длинных трубчатых костей (плечевых и бедренных, костей предплечья и голени) проводится для выявления травматических повреждений, воспалительных и опухолевых заболеваний их осложнений, а также оценки состояния костномозговой полости. Костная структура на КТ видна гораздо лучше, чем на обычных рентгенограммах. Наличие фиксационных конструкций (штифтов, пластин, шурупов и т.д.) после проведенных оперативных вмешательств исключает возможность в дальнейшем использовать магнитно-резонансную томографию, поэтому метод компьютерной томографии остается наиболее информативным методом контроля за состоянием структуры костей, за консолидацией переломов и эффективностью проводимого лечения.

Рис. 6.20. Многослойная («мультиспиральная») компьютерная томография с внутривенным контрастным усилением и трёхмерной реконструкцией изображения.
КТ суставов используют для комплексной диагностики состояния не только самого сустава, но и окружающих его параартикулярных тканей. Особенно ценен метод КТ при обследовании крупных и сложных по строению суставов, состоящих из разнородных по плотности компонентов. В частности, таким суставом является коленный, состоящий из нескольких сочленяющихся костей (включая надколенник), менисков, внутрисуставных и внесуставных связок, а также нескольких околосуставных сумок, расположенных вблизи мышц, нервов и сосудов. На КТ более четко видна костная структура, а при МРТ лучше визуализируется связачно – суставной аппарат.
КТ костей таза и тазобедренных суставов широко используется для выявления опухолевых, дистрофических, травматических повреждений, а также для динамического наблюдения за консолидацией, в послеоперационном периоде и после эндопротезирования.
КТ кистей рук и стоп сходна по технике проведения. При проведении КТ кистей и стоп за одно исследование обычно просматривается и более крупный прилежащий сустав (лучезапястный, голеностопный и выше). Это особенно ценно при диагностике системных, обменно-дистрофических заболеваниях, а также в случаях множественных травм, когда кости одной конечности повреждаются в нескольких отделах. Особенно это актуально для нижних конечностей, где нередко сочетаются переломы костей стопы и голеностопного сустава, особенно на фоне остеопороза.






