Энгль (1899 г.) выделил две формы прогнатического прикуса.
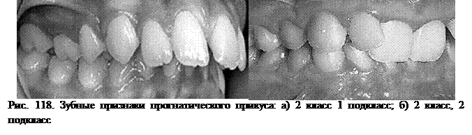
Первый подкласс II класса характеризуется веерообразным наклоном передних зубов верхней челюсти и сужением зубных рядов в боковых отделах.
Второй подкласс II класса – характеризуется небным наклоном верхних резцов. Такой наклон имеют только центральные резцы, а боковые резцы очень часто отклонены в сторону губы и повернуты по оси.
В отличие от первой разновидности при этой форме прогнатического прикуса, сагиттальная щель между верхними и нижними передними зубами, как правило, отсутствует.
Описанные Энглем две разновидности прогнатического прикуса встречаются в клинике и являются наиболее типичными формами этой аномалии.
В настоящее время имеется достаточно фактов, свидетельствующих о том, что в каждый из этих двух подклассов II класса Энгля объединены сходные по внешнему проявлению нарушения прикуса, но различные по этиологии, патогенезу и характеру морфологических изменений в зубочелюстной системе. Поэтому не случайно некоторые авторы выделили типичные формы этой деформации не только по соотношению зубных рядов и положению передних зубов, но и по морфологическим изменениям.
Ф.Я. Хорошилкина на основании изучения боковых телерентгенограмм головы выделила три формы дистального прикуса: зубоальвеолярную; гнатическую и сочетанную
Зубо-альвеолярная форма прогнатического прикуса развивается в результате аномалийного положения фронтальной группы зубов и изменения формы альвеолярного отростка.
Общими признаками, этой аномалии, является:
- несоответствие длины зубной дуги и ее аппекального базиса на одной или обеих челюстях;
- соотношение первых постоянных моляров по 1 классу Энгля.

Л. П. Григорьева различает прогнатический нейтральный прикус (моляры смыкаются по 1 классу Энгля) и прогнатический дистальный прикус (моляры смыкаются по 2 классу Энгля). В каждой из форм автор выделяет 4 разновидности: 1-я форма – обусловлена вестибулярным наклоном верхних фронтальных зубов (рис. 115, а); 2-я форма – обусловлена лингвальным наклоном нижних фронтальных зубов (рис. 115, б); 3-я форма - обусловлена вестибулярным наклоном верхних фронтальных зубов и лингвальным наклоном нижних фронтальных зубов (рис. 115, в); 4-я форма – обусловлена вестибулярным наклоном верхних и нижних фронтальных зубов (рис. 115, г).
При гнатической форме верхняя челюсть выстоит кпереди, тело ее удлинено. При этом форма лица и профиль выпуклые. Тело нижней челюсти укорочено, расположено дистальнее вследствие уменьшения величины нижнечелюстных углов или изогнутости шеек суставных отростков кзади, ветви нижней челюсти укорочены.
Эль-Нофели выделил две формы прогнатического прикуса: зубную форму и скелетную.
Первая обусловлена мезиальным расположением верхних зубов и деформацией верхнего зубного ряда, а вторая - нарушением развития лицевого скелета.
Исследования показывают, что нарушения соотношений зубных рядов в любых плоскостях, в том числе и прогнатический прикус, могут быть обусловлены аномалиями развития зубов, аномалиями развития челюстей и костей лицевого скелета или сочетанием нарушенного развития зубов и челюстно - лицевого скелета.
Если соотношения нарушены только между резцами и клыками, то такую аномалию лучше назвать прогнатическим соотношением передних зубов.
Зубные (зубо-альвеолярные) формы нарушений прикуса всегда менее тяжелые по морфологическим нарушениям и клиническим проявлениям, легче поддаются лечению.
К ним относятся:
1) мезиальное прорезывание, наклон или перемещение верхних передних и боковых зубов,
2)дистальное прорезывание, наклон или смещение нижних передних и боковых зубов,
3) сочетание этих аномалий развития верхних и нижних зубов.
К аномалиям развития челюстей, которые составляют морфологическую основу скелетных или гнатических форм прогнатического прикуса, относятся:
1.Чрезмерный рост верхней челюсти, который выражается в увеличении ее размера (макрогнатия).
2.Деформация верхней челюсти - сужение ее в боковых участках и удлинение переднего отдела.
3.Мезиальное расположение верхней челюсти в черепе (верхняя прогнатия)
4.Задержка роста нижней челюсти (всей челюсти или какого-либо отдела) (нижняя микрогнатия).
5.Деформация нижней челюсти, которая выражается в уменьшении угла между телом и ветвью нижней челюсти или искривление шейки суставного отростка.
6.Дистальное положение нижней челюсти, височно - нижнечелюстного сустава в черепе.
По такому принципу построена классификация гнатических форм прогнатического прикуса по Л.С. Персину (1998 г). Автор выделил следующие разновидности аномалий челюстных костей которые приводят к дистальной окклюзии зубных рядов.
По классификации прогнатического прикуса А.И. Бетельмана (1959) различают следующие клинические формы:
1. нижняя микрогнатия при нормальной верхней челюсти;
2. верхняя макрогнатия при нормальной нижней челюсти;
3. верхняя макрогнатия и нижняя микрогнатия;
4. верхнечелюстная прогнатия со сжатием в боковых участках.
Этиология и патогенез прогнатического прикуса. К наиболее частым причинам возникновения прогнатического прикуса следует отнести сочетание заболеваний раннего детского возраста с искусственным вскармливанием, нарушениями дыхания через нос, вредными привычками (сосание большого пальца и закусывание нижней губы), преждевременным разрушением временных зубов кариесом. Важное значение в этиологии прогнатического прикуса занимает наследственный или конституциональный фактор.
Неправильное искусственное вскармливание приводит к тому, что ребенок не прилагает усилий во время приема пищи, следовательно не смещает нижнюю челюсть вперед и не прилагает усилия для выдавливания молока. Таким образом исключается главный естественный стимул процесса роста нижней челюсти ребенка.
Нижняя челюсть не развивается в длину и не смещается кпереди, что и приводит к формированию прогнатического прикуса связанного с недоразвитием нижней челюсти.
Частые воспалительные заболевания верхних дыхательных путей приводят к привычке дышать ртом. При этом нижняя челюсть ребенка смещается дистально, язык ребенка опускается на дно полости рта, верхняя челюсть, ее альвеолярная часть и зубная дуга сужаются в боковых отделах и увеличивается переднезадний ее размер. Формируется прогнатический прикус обусловленный сужением в боковых участках и удлинением во фронтальном участке. Если в возрасте молочного прикуса отстает рост верхней челюсти, физиологическое перемещение нижней челюсти вперед следствие узости верхней челюсти становится невозможным.
Сосание большого пальца и привычка закусывать нижнюю губу оказывают повышенное механическое воздействие на формирующиеся альвеолярные отростки верхней и нижней зубных дуг. Это приводит либо к задержке роста соответствующего участка – фронтальный отдел нижней зубной дуги, либо к чрезмерному росту соответственно верхней зубной дуги и как следствие формированию зубоальвеолярных форм прогнатического прикуса.
М.М. Ванкевич, на основании экспериментальных данных утверждает, что причиной дистального положения нижней челюсти следует считать гипертрофию небных миндалин. А.Я. Катц, Б.Н. Бынин придают большое значение затрудненному носовому дыханию. Н.И. Агапов указывает на неблагоприятное влияние рахита на развитие фронтального участка нижней челюсти, в результате чего может образоваться сагиттальное несоответствие фронтального участка зубных рядов.
Немало внимания авторы уделяют вредным привычкам (А.М. Шварц, Л.Г. Мельничук и др.) и преждевременному удалению молочных зубов, (И.О. Новик, Л.Г. Ильина - Маркосян, А.И. Позднякова, А.П. Блуш и др.), вследствие чего происходит смещение постоянных зубов, и могут образоваться неправильные соотношения между антагонирующими группами зубов, в том числе, дистальный прикус.
Кроме того, на формирование прогнатического прикуса влияет отсутствие стираемости временных боковых зубов (рис. 117). Как следствие не происходит мезиальное смещение нижней челюсти в период редукции временного прикуса. Таким образом при отсутствии симптома Цилинского в возрасте 5 лет первые постоянные моляры устанавливаются в одноименном бугорковом контакте.
Прогнатический прикус приводит к значительным нарушениям функций полости рта. Становится невозможным откусывание пищи фронтальными зубами.
Функция откусывания пищи перемещается на боковые зубы. Следствием этого является атрофия пародонта фронтального участка зубных дуг, чрезмерная нагрузка на пародонт боковых участков зубных дуг.
Затрудняется глотание, жевание, развивается ротовое дыхание, наблюдается неправильная артикуляция языка и нечеткое произношение звуков.
Степень деформации окклюзионной плоскости, величина сагиттальной щели во фронтальном участке, степень уменьшения жевательной площади зубных рядов, а также отсутствие медиально - дистального контакта в области первых постоянных моляров влияет на характер жевательных движений нижней челюсти, а следовательно и на функцию жевания.
При прогнатическом соотношении зубных рядов характерно преобладание дробящих и раздавливающих движений нижней челюсти, удлинение периода жевания, снижение жевательной эффективности.
Клиника прогнатического прикуса. При внешнем осмотре пациента имеющего первый подкласс II класса аномалии отмечается смещение вперед верхней губы, которая укорочена. Верхние зубы видны из под губы, иногда до самых шеек.
При осмотре полости рта отмечается мезиальное расположение верхних зубов, веерообразный наклон передних зубов верхней челюсти и сужение зубных рядов в боковых отделах.
Очень часто губы не смыкаются, рот полуоткрыт. Нижняя губа располагается позади верхних резцов, а подбородок скошен кзади. При сочетании прогнатического прикуса с глубоким, нижняя треть лица укорочена, подбородочная складка резко выражена.
Пациенты имеющие второй подкласс II класса – имеют характерный небный наклон верхних резцов. Такой наклон имеют только центральные резцы, а боковые резцы очень часто отклонены в сторону губы и повернуты по оси.
В отличие от первой разновидности при этой форме прогнатического прикуса, сагиттальная щель между верхними и нижними передними зубами, как правило, отсутствует.
Характерным клиническим признаком второго подкласса II класса прогнатического прикуса, является также наличие клинических признаков глубокого блокирующего прикуса.
При этой форме прогнатического прикуса наблюдаются типичные лицевые признаки. Нижняя треть лица укорочена, подбородочная складка резко выражена, верхняя губа выступает вперед, а нижняя западает, вывернута и смещена кзади.






