Характерные особенности:
- наличие зубных отложений;
- отсутствие пародонтальных карманов;
- симптом кровоточивости;
- отсутствие явлений деструкции межзубных перегородок.
| Рис. 1. Острый катаральный гингивит. Десневые сосочки и край десны отечны, гиперемированы, легко кровоточат. Рис. 1.1. Гингивит прорезывания. Слизистая оболочка десны вокруг прорезывающихся зубов гиперемированна и имеется незначительный отек. Процесс прорезывания сопровождают чувство зуда и жжения, повышено слюноотделение. |
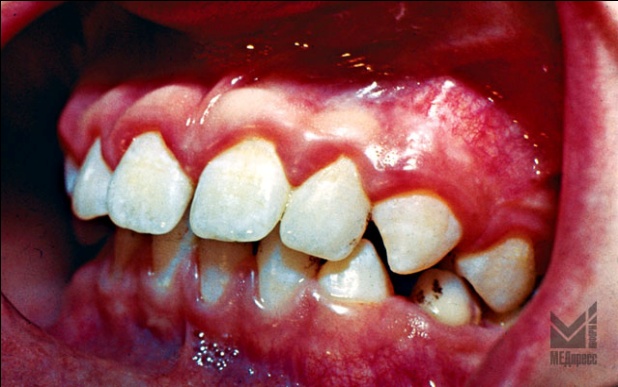
| Рис. 2. Хронический катаральный гингивит, генерализованный (К05.10 Хронический гингивит. Простой маргинальный). Десневой край в области зубов верхней челюсти и межзубные сосочки гиперемированы, отечны. |
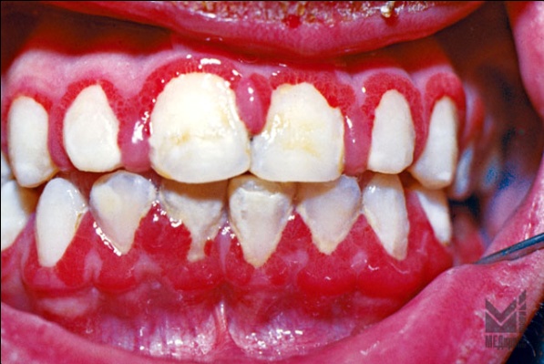
| Рис. 3. Хронический генерализованный катаральный гингивит пубертатного возраста. (К05.10. Хронический гингивит. Простой маргинальный). Отек и цианотичность десневого края и десневых сосочков. |
| Рис. 4. Хронический гипертрофический гингивит. Десневые сосочки увеличены в размерах, плотные (степень гипертрофии I-II). Зубной камень |
| Рис. 5. Гипертрофический гингивит пубертатного возраста. (К05.11 Хронический гингивит гипертрофический). Десневые сосочки и десневой край гипертрофированы и цианотичны с участками десквамативного эпителия Ложные десневые карманы. |
| Рис. 6 Хронический гипертрофический гингивит юношеского возраста (К05.11 Хронический гингивит. Гиперпластический) Десневые сосочки гипертрофированы, застойно-красного цвета. Ложные десневые карманы. |
| Рис. 7 Язвенный гингивит (К05.08 язвенный гингивит). Десневой край гиперемирован по краю десны язвенно-некротический процесс. В области 11 и 12 зубов десневой сосочек разрушен, раневая поверхность покрыта серым налетом. |






