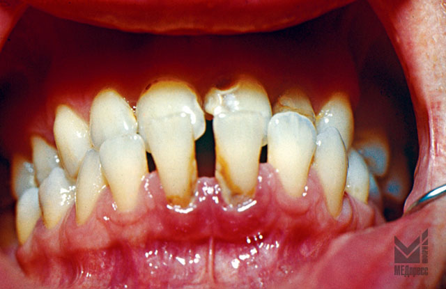
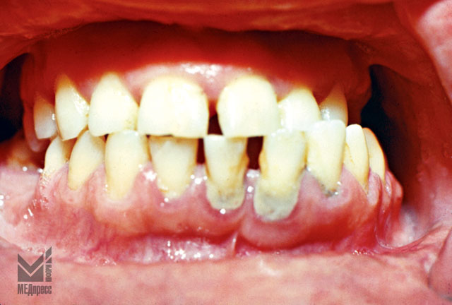
При аномалиях прикуса

Рис. 5.Антериальный прикус. Гиперемия и отек десневого края у 31 и 41 зубов. Шейки 31 и 41 зубов оголены. Наличие зубного камня.  
Рис. 6.Перекрестный прикус. Гиперемия и отек десны в области 31, 32, 41, 42 зубов, зубной камень, оголение шеек зубов.  
Рис. 7.Открытый прикус. Деформация челюстей и десневого края. Застойная гиперемия, отек. Оголение шеек центральных резцов, зубной камень.  
Рис. 8. При аномалийном расположении зубов. Тесное положение зубов. Гипертрофия межзубных сосочков у 31, 41, 42 зубов. Гиперемия, отек десневого края. Оголение шеек 32, 42 зубов.    
Рис. 9. Тесное положение зубов. Отек и гиперемия десневого края у нижних резцов. Валикообразный десневой край у 31.    



double arrow
Сейчас читают про: