Сахарный диабет
| Рис. 1. и 2. Десневой край и десневые сосочки отечны, рыхлые, имеют цианотичный оттенок. Имеются пародонтальные карманы с выбухающими грануляциями и гнойным отделяемым. Отложения зубного камня. Оголение корней зубов. Зубы подвижны. (14 и 16 лет). |
| |
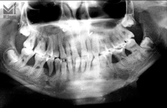
| Рис. 3. Генерализованный неравномерный остеолизис костной ткани альвеолярного отростка. В области 45 зуба остеолизис распространяется до верхушки корня. |






