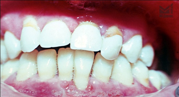
| Рис. 1. Генерализованная атрофия десневого края. Десна бледного цвета, глубокие пародонтальные карманы. Зубы подвижны. |
| Рис. 2. Равномерный остеолизис альвеолярного отростка в области всех зубов с четко выраженной сохранностью тела и ветвей нижней челюсти. |






