Случай 1
Генерализованный пародонтит, сопровождающийся прогрессирующим лизисом тканей пародонта, при Х-гистиоцитозе Лангерганса у мальчика 10-летнего возраста.
На кафедре наблюдается и лечится в течение 3-х лет мальчик 10 – летнего возраста с Х-гистиоцитозом, сопровождающимся пародонтолизисом. Диагноз онкологов: гистиоцитоз Лангерганса (синоним: синдром Хенда-Шюллера-Крисчена). Это заболевание сопровождается генерализованным поражением всей костной ткани.

В полости рта выявлено:
- уменьшение величины и формы коронок 12, 24, 25, 44, гипоплазия эмали 34;
- отсутствие 15, 14, 32, 36, 46 зубов;
- конвергенция зубов 13, 35, 43, 42 зубов;
- оголение корней имеющихся зубов на верхней челюсти в боковых отделах;
- отсутствие альвеолярных отростков в боковых отделах нижней челюсти и слева на верхней челюсти;
- пастозность, гиперемия слизистой десны, гипертрофия маргинальной десны и межзубного сосочка в области 32, 43, изъявление десны у 44 зуба;
- глубокие пародонтальные карманы (>6 мм) без отделяемого у 27, 35, 37, 45, 47, патологическая подвижность зубов 3 степени 27, 35, 37, 45, 47 зубов.
|
|
|
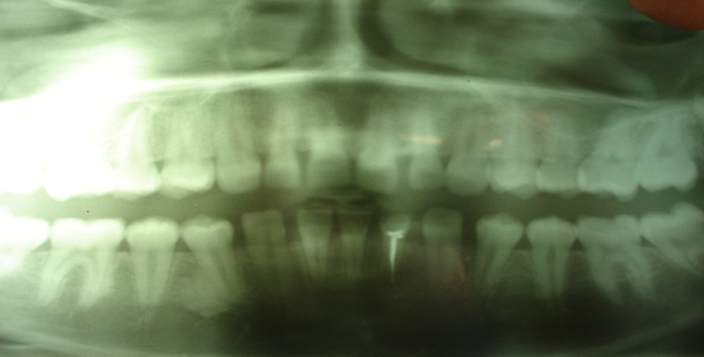
Данные ОПТГ: альвеолярный отросток нижней челюсти разрушен полностью от 33 до 43, на верхней челюсти в области 24, 25, 27 до ¾ длины корней. Вокруг медиального корня 37 обширный очаг деструкции кости округлой формы, захватывающий межкорневую перегородку; в области угла нижней челюсти слева – очаг деструкции размером 0,8 х 1,0 см со склерозированным передним контуром (рис.1.)
Рентгенологическое исследование подвздошных костей, костей черепа: множественные очаги деструкции костной ткани округлой формы, чётких очертаний, размером 0,8х1,0 см.

Рис. 1.
Лечебная тактика заключалась в следующем:
- мальчик проконсультирован с хирургом, ортодонтом, ортопедом;
- лечение согласовано с детским онкологом;
- профессиональная гигиена полости рта.
- противовоспалительная терапия: аппликации и полоскания полости рта отварами трав, промывание пародонтальных карманов раствором хлоргексидина;
- удаление 27, 37, 47 зубов;
- протезирование;
Общее лечение:
- цифран 250 мг 2 раза в день – 10 дней;
- тавегил по 0,0005х2 раза в день – в течение 5 дней;
- метронидазол 0,25 2 раза в день – 10 дней;
- кальций Д3 Никомед 1 табл. 2 раза в день – 10 дней.
В настоящее время ребёнку проведено протезирование. Процесс в полости рта стабилизирован. Динамическое наблюдение проводится 3 раза в год совместно с хирургом и ортопедом. Клиническая картина до- и после лечения представлена на рис.

Случай 2
У. Вика 12 лет с матерью была приглашена в стоматологический кабинет школы №94 с целью плановой санации полости рта. Жалоб девочка не предъявляла. Регулярно наблюдается и лечится у стоматолога с 4-х лет по поводу кариеса.
|
|
|
Анамнез жизни. Роды от второй беременности. Беременность у матери девочки протекала на фоне токсикоза I и II половины, гипоксии. Во время беременности были выявлены хронический холецистит, хронический пиелонефрит, заболевание щитовидной железы, анемия, существовала угроза прерывания беременности, было высокое артериальное давление в родах – 220/90. Девочка родилась преждевременно (в 37 недель), весом 2400 г. с оценкой по школе Апгар 5 баллов. При рождении был поставлен диагноз ателектаз легких, перинатальная энцефалопатия, гипотрофия III степени. Грудное вскармливание осуществлялось в течение одного месяца, девочка плохо прибавляла в весе. Психомоторное развитие запоздалое. В 4 месяца постален диагноз эпилепсия. Часто болела ОРВИ, бронхитом, блефоритом, стоматитом, перенесла пневмонию. Выявлены железодефицитная анемия, врожденный порок сердца. В возрасте 8-9 лет переболела герпесом, псевдотуберкулезом, этмоидитом, гайморитом, тубинфецирована. Выявлены патология ЖКТ, щитовидной железы. Неоднократно госпитализировалась по поводу носовых кровотечений. Лечилась тетрациклином и другими антибиотиками, противосудорожными препаратами, лактоферрином, противовирусными средствами, фитопрепаратами.
При анализе амбулаторной карты выявлено, что у девочки с раннего возраста, внезапно поднималась высокая температура, которая держалась 4-5 дней, резко ухудшалось общее состояние. В эти периоды, как правило, появлялись блефариты, фурункулы, стоматиты, воспаления придаточных пазух носа. Затем состояние ребенка постепенно улучшалось. В возрасте 5-ти лет гематолог поставил диагноз – наследственная циклическая нейтропения, тромбоцитопатия. Одновременно у матери девочки был поставлен диагноз циклическая нейтропения, которая ранее не проявлялась ни клинически, ни лабораторно. Диагноз выставлен на основе анализа гемограммы крови и миелограммы костного мозга.
В анализах крови:
нейтрофилы не прослеживаются (норма 2,2 – 4,2 ·10 г/л).
гранулоциты 1,67- 2,35 ·10 г/л
повышение СОЭ
Hb 116 (норма 120)
Тромбоциты 173,5 (норма 200 – 400)
Эозинофилия
Снижение активности 3 тромбоцитарного фактора.
Объективно: Пациентка спокойна. Длина тела соответствует возрасту. Осанка нарушена. Отмечается сутулость, голова наклонена вправо, кожные покровы сухие, желтоватого оттенка в области крыльев носа. Дыхание осуществляется через рот. Рот приоткрыт, губы разомкнуты, при смыкании
отмечается напряжение мышц. Носогубные и подбородочная складки умеренно выражены.
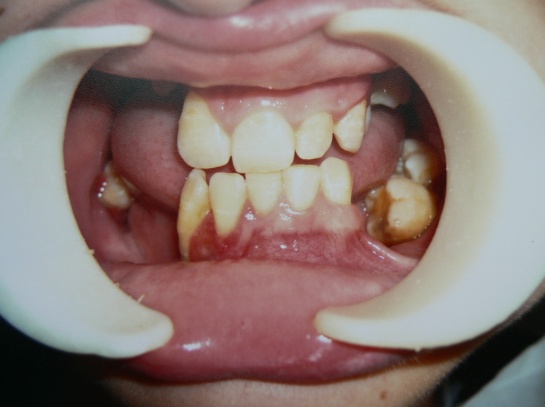
Конфигурация губ не нарушена. Красная кайма губ гиперемирована, слегка инфильтрирована, сухая, покрыта мелкими чешуйками сероватого оттенка. В углах рта заеды (рис.1). Отмечается вредная привычка – прикусывание нижней губы. Открывание рта затруднено вследствие сухости красной каймы губ и болезненных заед.
Лимфатические узлы челюстно – лицевой области не пальпируются.
Преддверие полости рта мелкое - 3 мм. Уздечка верхней губы вплетается в десну на границе свободной и прикрепленной частей. Уздечка нижней губы короткая. Нарушен рельеф десневого края.
Слизистая оболочка маргинальной десны отечна, гиперемирована, также отмечаются отек и гиперемия межзубных десневых сосочков. Ретракция десны у 41-го зуба. Корень 41-го зуба оголён на ⅓ длины (рис.2). Зубодесневое прикрепление не нарушено. Обильное отложение мягкого зубного налета.
Уздечка языка правильной формы и длины. Язык влажный, в задней трети – налет, отечный. Дно полости рта розовое, просвечивают крупные сосуды. На уздечке расположены выводные протоки слюнных желез. Слюноотделение свободное. Слизистая неба бледно-розового цвета, чистая, в области мягкого нёба розовая, мелкобугристая. Зев чистый, миндалины не выступают из-за небных дужек. Слизистая нёбных дужек розовая, чистая.
|
|
|
Зубы жёлтого цвета, эмаль истончена у фронтальной группы зубов верхней и нижней челюстей. Имеется патологическая стираемость эмали: у нижних резцов - горизонтальная и вертикальная; у верхних – вертикальная с небной поверхности (рис.2)
В пришеечной области боковой группы зубов имеются меловидные пятна, которые окрашиваются 2% раствором метиленового синего. По шкале Аксамит оценивается в 60 баллов.

Рис. 1. Рис. 2.
Индекс КПУ – 8 (декомпенсированная форма течения кариеса). Индекс по Федорову-Володкиной – 4,8 баллов (очень плохой гигиенический уход).
Индекс РМА – 60,5%(средняя степень тяжести).

На ортопантомограмме удовлетворительного качества определяется фолликул 48-го зуба, стадия минерализации зачатка – колпачок, 47 зуб – верхушки корней не сформированы. 46 зуб – корни сформированы. Вдоль медиального корня полоска затемнения четко выраженная с фестончатыми контурами с небольшими участками просветления. 45 зуб – корень не сформирован. 44 зуб - верхушка корня сформирована. У дистальной поверхности корня определяется образование большой плотности, охватывающее 2/3 поверхности корня. На фоне плотных полей имеются участки с меньшей контрастностью. Границы новообразования фестончатые. В нижнем отделе прослеживается полоса просветления, которая отделяет его от неизмененной кости. В среднем и верхнем отделах полоса просветления отсутствует. Периодонтальная щель не прослеживается. Корни клыков, центральных и боковых зубов сформированы. 31 зуб – корневой канал запломбирован на всем протяжении. Адентия 32-го зуба. Корни 33, 34 зубов сформированы. Корень 35-го зуба не сформирован. Корень 36-го зуба сформирован. 37 зуб в стадии незакрытой верхушки. Фолликул 38-го зуба - стадия минерализации – колпачок. В боковых отделах жевательной группы зубов межзубные перегородки на уровне эмалево-цементной границы, четко выражены их вершины. Фронтальный отдел нижней челюсти – отсутствие вершин межзубных перегородок, явления остеопороза. Верхняя челюсть – верхушки 13 и 23го зубов не закрыты. Снижение высоты межзубных перегородок в области фронтальных зубов снижена, деструкция вершин и остеопороз межзубных перегородок.
|
|
|

На внутриротовой контактной рентгенограмме удовлетворительного качества в области 42,41,31 зубов определяется дефект коронки 31-го зуба, полость зуба заполнена рентгеноконтрастным пломбировочным материалом, корневой канал запломбирован на всю длину, периодонтальная щель прослеживается на всем протяжении. В области всех зубов определяется деструкция вершин и остеопороз, снижение высоты межзубных перегородок.
На основании жалоб, анамнеза, объективных данных и дополнительных методов обследования был поставлен диагноз:
Пародонтолиз при наследственной циклической нейтропении. Хронический пародонтит легкой степени тяжести. Кариес, декомпенсированная форма. Тетрациклиновые зубы. Патологическая стираемость зубов, смешанная форма. Метеорологический хейлит, ангулярный хейлит, мелкое преддверие полости рта. Цементома. Аномалия смыкания зубов по классу по Энглю, глубокая резцовая окклюзия, недоразвитие апикального базиса нижней челюсти, первичная адентия 32 зуба.
Лечение:
- обучение гигиене полости рта, подбор средств и предметов гигиены;
- контролируемая гигиена полости рта;
- местная и общая патогенетическая терапия кариеса 3-4 раза в год, санация;
- иммунал по 20 капель 3 раза в день 7 недель;
- антимикробная терапия;
- полоскание полости рта 0,06% р-ром хлоргексидина 10 дней;
- фитотерапия, полоскание полости рта отваром трав: шалфеем, ромашкой, календулой;
- втирать в десны гель Метрогил дента 2 раза в день. Курс 10 дней.
Рекомендовано:
-чистка зубов 2 раза в день;
- зубная щетка с мягкой щетиной;
- зубная паста LACALUT ACTIV. Курс 30 дней. Затем необходимо перейти на другую зубную пасту Лесной бальзам.
- ограничить прием сладкого. В рационе должны преобладать овощи и фрукты.
Лечение метеорологического и ангулярного хейлита:
- смягчить корочки метилурациловой мазью, обладающей бактерицидным действием. Затем удалить корки.
- аппликации витаминов А, Е в масле.
- смазывать губы детским кремом «Алиса».
- использовать гигиеническую помаду.
Лечение у ортодонта:
В данной клинической ситуации ввиду плохой гигиены и декомпенсированной формы течения кариеса, лечение несъемной аппаратурой (брекет-системами) противопоказано.
Рекомендована миогимнастика.
Лечение прикуса «Трейнером» для нормализации положения зубов и устранения миофункциональных нарушений (носить 2 часа днем и спать ночью).
Рекомендации: Консультация с хирургом - стоматологом по поводу мелкого преддверия полости рта и цементом.
Литература:
1. Виноградова Т.Ф. Атлас по стоматологическим заболеваниям у детей: Учебное пособие. М., МЕДпресс – информ, 2007. - С. 383 – 418
2. Детская терапевтическая стоматология: Учебное пособие под ред. проф. Л.П. Кисельниковой. – М. - Литтерра, 2000. - 208 с.
3. Персин Л.С., Елизарова В. М., Дьякова С.В. Стоматология детского возраста. М., «Медицина», 2003. - С. 303 – 322.
4. Фридрих А. Паслер, Хайко Виссер. Рентгенодиагностика в практике стоматолога. М., «МЕДпресс – информ», 2007. – С. 190 – 204.
5. Чупрынина Н.М. Рентгенограммы зубов и альвеолярного отростка в норме и патологии у детей. Атлас. /Под ред. доц. М.И. Грошикова. – Межучебпособие. М., 1964. - С. 93 – 117.






