Диагностика. Установление диагноза ВИЧ-инфекции производится на основании клинических данных, эпидемиологического анамнеза и лабораторных исследований. Методы лабораторной диагностики ВИЧ-инфекции основаны на определении специфических анти-ВИЧ-антител в биологических жидкостях организма. Стандартной и наиболее доступной процедурой является выявление антител к ВИЧ серологическим методом в реакции иммуноферментного анализа (ИФА) с последующим подтверждением их специфичности в реакции иммунного блоттинга. Антитела к ВИЧ появляются в период от 2 нед до 3 мес с момента заражения.
В последнее время для диагностики ВИЧ-инфекции стали применять метод полимеразной цепной реакции (ПЦР), позволяющий оценить "вирусную нагрузку", которая резко возрастает по мере прогрессирования заболевания.
Лечение. Средств, позволяющих радикально излечивать больных ВИЧ-инфекцией, в настоящее время не существует. Лечебные мероприятия направлены на предупреждение или замедление прогрессирования болезни. Основу составляют специфические противовирусные препараты, в том числе антирет-ровирусные: зидовудин, диданозин, ловирдид, ритонавир, ин-динавир и др. Лечение антиретровирусными препаратами необходимо начать до развития сколько-нибудь существенного иммунодефицита и проводить пожизненно. Эффективность лечения контролируется систематическим измерением величины вирусной нагрузки и динамикой количества CD4+ Т-лимфо-цитов.
|
|
|
Применяют также разнообразные средства для лечения оппортунистических инфекций, заболеваний крови, опухолей и т.д. Лечение вторичных инфекций ЛОР-органов у ВИЧ-инфицированных имеет свои особенности. Назначают большие дозы направленных против возбудителя препаратов, увеличивают срок их применения, проводят профилактический прием. Нельзя назначать иммуностимулирующие и иммунодепрессивные средства.
Прогноз. При ВИЧ-инфицировании прогноз в целом неблагоприятный, поэтому наиболее важное значение имеет общественная и индивидуальная профилактика заболевания. Своевременно начатая комплексная терапия позволяет отсрочить манифестацию патологических проявлений в виде СПИДа иногда на десятилетие и более.
Окружи больного любовью и разумным утешением, но, главное, оставь его в неведении того, что ему предстоит, и особенно того, что угрожает.
Гиппократ
НОВООБРАЗОВАНИЯ ВЕРХНИХ ДЫХАТЕЛЬНЫХ ПУТЕЙ И УХА
Новообразования верхних дыхательных путей и уха встречаются сравнительно часто и составляют около 6—8 % новообразований человека всех локализаций. Особенности клинического течения, диагностика, эффективность лечения и прогноз зависят от локализации и распространенности новообразования. В соответствии с международной классификацией, в основу которой положены гистологические различия и особенности клинических проявлений, среди новообразований верхних дыхательных путей и уха вьщеляют доброкачественные и злокачественные опухоли, а также опухолеподобные образования.
|
|
|
Клинические проявления раскрывают особенности роста новообразования, его способность метастазировать, прорастать в окружающие ткани; однако окончательное суждение о характере образования обычно устанавливается лишь с учетом результатов гистологического исследования. Опухоли могут исходить из эпителиальной, соединительной, мышечной, нервной и других тканей. Наиболее часто они обнаруживаются в гортани; на втором месте по частоте стоят нос и околоносовые пазухи, затем глотка; сравнительно редко выявляются опухоли уха. В последующих разделах представлены наиболее распространенные новообразования ЛОР-органов.
7.1. Новообразования носа и околоносовых пазух
Как и в других отделах верхних дыхательных путей, в полости носа и околоносовых пазухах встречаются опухолеподобные образования, доброкачественные и злокачественные опухоли. Они отражены в Международной классификации и по частоте находятся на втором месте после новообразований гортани. Остановимся на рассмотрении тех из них, которые имеют наибольшее клиническое значение.
7.1.1. Опухолеподобные образования носа
и околоносовых пазух
Опухолеподобные процессы данной локализации довольно разнообразны, их необходимо разграничивать с опухолями.
Фиброзная дисплазия. Это своеобразный порок развития, представляющий собой самоотфаничивающееся неинкапсули-рованное образование, состоящее из фиброзной соединительной ткани, развивающейся взамен нормальной костной. Фиброзная дисплазия встречается редко, поражает чаще костные структуры верхней челюсти. У больного появляется безболезненная плотная припухлость в области щеки, которая медленно увеличивается. Распространение образования на боковую стенку носа проявляется затруднением носового дыхания, возможно развитие хронического гайморита вследствие нарушения оттока из этой пазухи. Рентгенологически наряду со снижением пневматизации верхнечелюстной пазухи нередко выявляются дефекты костной ткани. Окончательный диагноз устанавливается на основании результатов гистологического исследования материала, полученного при вскрытии пазухи. Лечение хирургическое, совместно со стоматологом.
Ангиогранулема (кровоточащий полип перегородки носа). Медленно растущее образование, локализующееся чаще в хрящевом отделе перегородки носа; имеет широкое основание, неровную буфистую поверхность, легко кровоточит при дотра-гивании. Чаще встречается у женщин, особенно в период беременности, проявляется частыми кровотечениями из носа, обычно небольшими порциями. Диагноз подтверждается результатами гистологического исследования удаленного новообразования. Во избежание рецидива новообразование должно быть удалено с подлежащим участком надхрящницы и хряща. Некоторые отоларингологи применяют электрокоагуляцию или крио-, лазеродеструкцию фанулемы.
7.1.2. Доброкачественные опухоли носа
и околоносовых пазух
К доброкачественным опухолям носа и околоносовых пазух относятся папилломы, фибромы, ангиомы, хондромы и остеомы, невромы, невусы (пигментные опухоли), бородавки.
Папиллома. Сравнительно редкая опухоль, одинаково часто выявляется у мужчин и женщин в возрасте старше 50 лет, однако бывает и в раннем возрасте. Различают фибовидные, инвертированные и переходно-клеточные папилломы. Грибовидная папиллома локализуется в преддверии носа (перегородка носа, дно, внутренняя поверхность крыльев носа) и по внешнему виду напоминает цветную капусту. Инвертирован-
|
|
|
|
Рис. 7.1. Рентгенограмма. Остеома лобной пазухи.
ная и переходно-клеточная папилломы исходят из слизистой оболочки глубокорасположенных отделов полости носа, чаще располагаются на боковой стенке. Поверхность такой опухоли гладкая и при осмотре новообразование может быть принято за обыкновенный полип. Два последних типа папилломы способны разрушать мягкие ткани и костные стенки, проникая в околоносовые пазухи и даже за их пределы. Инвертированная и переходно-клеточная папилломы склонны к малигниза-
ции, которая отмечается у 4—5 % больных. Существует мнение [Погосов B.C., Антонив В.Ф., 1994], что малигнизации доброкачественных опухолей, в том числе папиллом, способствует
облучение.
Лечение хирургическое. После эксцизии фибовидной папилломы производят криовоздействие или гальванокаустику исходного места опухоли. Инвертированную и переходно-кле-точную папилломы удаляют с использованием доступа по Ден-керу, а при необходимости и по Муру, при этом следует стремиться к полному удалению опухоли.
Сосудистые опухоли полости носа (гемангиомы — капиллярная и кавернозная, лимфангиомы) встречаются относительно редко, развиваются на перегородке носа, нижних носовых раковинах, в области свода полости носа. Растут они медленно, периодически кровоточат, постепенно увеличиваются и могут заполнять полость носа, прорастать в решетчатый лабиринт, глазницу и верхнечелюстную пазуху, чаще имеют вид округлой буфистой синюшной опухоли. Следует иметь в виду, что гемангиомы, располагающиеся на латеральной стенке полости носа, имеют повышенную склонность к малигнизации. Лечение хирургическое.
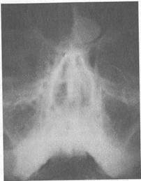
Остеома. Доброкачественная опухоль, исходящая из костной ткани и отличающаяся медленным ростом (рис. 7.1). Чаще располагается в лобных пазухах и в решетчатой кости, реже — в верхнечелюстных пазухах.
|
|
|
Остеомы маленьких размеров часто остаются незамеченными и обнаруживаются случайно на рентгенофамме околоно-
совых пазух. При отсутствии функциональных, косметических и иных нарушений нет оснований к немедленному хирургическому лечению остеомы. В таком случае проводят длительное наблюдение; заметный рост остеомы является показанием к ее удалению. Следует отметить, что иногда маленькие остеомы, особенно на церебральной стенке лобной пазухи, являются причиной упорной головной боли. После исключения других причин головной боли показано удаление такой остеомы. Иногда остеомы достигают больших размеров, могут распространяться в полость черепа, в глазницу, деформировать лицевой скелет и являться причиной мозговых расстройств, головной боли, понижения зрения, нарушения носового дыхания и обоняния. Лечение хирургическое. Остеомы средних и больших размеров даже при отсутствии тяжелых симптомов подлежат полному удалению.
7.7.3. Злокачественные опухоли носа и околоносовых пазух
Рак и саркома носа и околоносовых пазух встречаются сравнительно редко и составляют 1—3 % от злокачественных опухолей всех локализаций. Первичным злокачественным процессом чаще поражаются верхнечелюстные, затем решетчатые пазухи, на третьем месте по частоте — полость носа, затем лобные и клиновидные пазухи.
Рак. Наиболее часто встречающаяся злокачественная опухоль носа и околоносовых пазух. В области наружного носа чаще развивается базально-клеточный рак, в полости носа — плоскоклеточный ороговевающий, реже в этой области встречается аденокарцинома.
Опухоли околоносовых пазух относительно быстро прорастают в соседние органы и ткани: в основание черепа, крыло-небную ямку, глазницу, полость рта. Метастазирование обычно наступает поздно, вначале в затылочные и поднижнечелюстные лимфатические узлы, малодоступные для клинического исследования, а затем и в шейные, хорошо определяемые пальпа-торно.
По распространенности в течении злокачественных опухолей полости носа выделяют четыре стадии. В I стадии новообразования не выходят за пределы полости носа, метастазы отсутствуют; во II — опухоль прорастает стенки полости носа или имеет единичные подвижные регионарные метастазы; в III — опухоль прорастает основание черепа с метастазами в регионарные узлы; в IV — опухоль имеет отдаленные метастазы или прорастает в полость черепа.
Клиника. Симптоматика при опухоли носа нарастает постепенно, вначале она носит неопределенный характер. Больных
беспокоит постепенно усиливающееся затруднение дыхания через одну половину носа, головная боль различной интенсивности и ощущение тяжести в определенной половине лица. Выделения из носа первоначально слизистые, затем с примесью крови, позже могут быть носовые кровотечения, заложенность уха, оталгия. Опухоль в полости носа бугристая, иногда полиповидная. Удаление таких полипов сопровождается обильной кровоточивостью, что должно насторожить хирурга; гистологическое исследование помогает установить точный диагноз. Прорастание опухоли через решетчатый лабиринт в глазницу вызывает экзофтальм и смещение глазного яблока; распространение к основанию черепа и в лобную пазуху также сопровождается соответствующей симптоматикой. Опухоли, локализующиеся в задних отделах полости носа, быстро проникают в носоглотку, нарушая носовое дыхание. При этом часто отмечаются гнойные выделения с примесью крови, возможны профузные носовые кровотечения, снижается слух на стороне поражения.
Первичная локализация опухоли в верхнечелюстной пазухе характеризуется длительным отсутствием клинических симптомов. Первыми признаками нередко являются невралгические боли, вторичное поражение зубов, деформация лицевого рельефа, вторичный воспалительный процесс в пазухе, экзофтальм. Из верхнечелюстной пазухи опухоль может прорастать через соустье в полость носа и решетчатую кость, а затем и в основание черепа. По степени распространенности опухоли и метастазов выделяют также четыре стадии ее развития.
Первичное поражение опухолью лобных и клиновидных пазух встречается редко; возникающая при этом симптоматика соответствует локализации опухоли. На первый план обычно выступают неврологические признаки.
При распространенных, распадающихся новообразованиях развиваются общие признаки воспаления: повышение температуры тела, снижение аппетита, изменение состава
крови.
Диагностика. Раннее выявление злокачественных опухолей носа и околоносовых пазух представляет значительные трудности. Проявляя онкологическую настороженность, следует всякий болезненный процесс в области верхних дыхательных путей оценивать с точки зрения возможности развития злокачественного процесса. Опухоли этой локализации очень часто проявляются симптомами обычных, неопухолевых заболеваний. Лишь тщательное выявление точных и полных причин возникновения того или иного симптома поможет заподозрить опухоль и не пропустить ранние стадии ее развития. Если опухоль заподозрена, с помощью существующих диагностических методик ее уже нетрудно распознать.

Рис. 7.2. Хирургические доступы при удалении распространенной
опухоли носа и околоносовых пазух.
а — по Муру; б — по Прайсингу; в, г — модификация разреза по Погосову.
Помимо эндоскопических методов, для диагностики применяют пункцию и зондирование околоносовых пазух с аспирацией содержимого и введением в них контрастного вещества, рентгенографию в различных проекциях, КТ и МРТ пазух. С целью определения границ злокачественного опухолевого процесса используют радионуклидную диагностику, ангиографию, термографию в сочетании с ультразвуковой биолокацией. Для окончательного уточнения диагноза производят биопсию и гистологическое исследование подозрительной на опухоль ткани.
Лечение. При злокачественных опухолях носа и околоносовых пазух используют хирургический, лучевой и химиотерапев-тический методы лечения, чаще в комбинации.
При ограниченных новообразованиях полости носа применяют наиболее щадящий хирургический доступ при операции по Денкеру. При более распространенных опухолях этот доступ не может обеспечить необходимой широты обзора и свободы действий хирурга. В этих случаях производят вмешательства с наружным подходом, через разрезы на лице. Используют разнообразные доступы, в частности челюстно-носовой, небный,
небно-альвеолярный и лицевой (рис. 7.2). Операцию проводят под интубационным наркозом. Косметические дефекты лица устраняют затем с помощью пластических операций и индивидуальных протезов.
Прорастание опухоли в основание черепа, глубоко в кры-лонебную ямку делает невозможным радикальное иссечение опухоли. Таким больным проводят лучевое лечение и общую или регионарную химиотерапию.
7.2. Новообразования глотки
Среди различных новообразований верхних дыхательных путей опухолеподобные образования, доброкачественные и злокачественные опухоли носо-, рото- и гортаноглотки по частоте находятся на третьем месте после гортани и носа.
7.2.7. Опухолеподобные заболевания глотни
Представлены, в частности, доброкачественной лимфоидной гиперплазией носоглотки — аденоидами, часто в сочетании с гиперплазией небных миндалин. Эти образования, состоящие из гиперплазированной лимфаденоидной ткани, встречаются преимущественно в детском возрасте. Рассмотрены в соответствующих разделах.
Кисты глотки. Встречаются в различных ее отделах, чаще в миндалинах — фолликулярные (или ретенционные), заполненные гноевидным отделяемым. Бывают интрамуральные (истинные) кисты, имеющие внутреннюю эпителиальную выстилку и заполненные светлым слизистым отделяемым. Истинные кисты локализуются чаще на мягком небе; размеры их небольшие, поэтому особых беспокойств они обычно не вызывают, однако иногда появляется ощущение инородного тела в глотке.
Диагностика кисты не вызывает особых затруднений. При осмотре определяется округлое эластичное образование с гладкой поверхностью. При пункции можно получить жидкость, как правило, янтарного цвета. Лечение хирургическое.
7.2.2. Доброкачественные опухоли глотки
Наиболее распространенными являются папиллома, юве-нильная (юношеская) ангиофиброма и ангиома.
Папилломы. Обычно мягкие, чаще располагаются на небе и небных дужках, иногда на задней или боковой стенках глотки и язычной поверхности надгортанника. Обычно мало беспокоят больного. Имеют характерный вид: серовато-розового цвета, на широком основании или на ножке.
![]() |
|
Рис. 7.3. Эндоскопическая картина. Юношеская ангиофиброма.
Диагностика по внешнему виду опухоли и данным гистологического исследования трудностей не представляет.
Лечение заключается в удалении одиночных папиллом с последующей гальванокаустикой; возможно криовоздействие на участки папилломатозного перерождения. Иногда папилломы удаляют с помощью ультразвукового дезинтегратора, хирургического лазера. При рецидивировании папиллом показано повторное удаление, после чего — аппликации 30 % про-спидиновой мази на раневую поверхность ежедневно в течение 10—15 дней.
Юношеская (ювенильная) ангиофиброма. Это опухоль носоглотки, исходящая из ее купола или области крылонебной ямки, по гистологическому строению имеющая доброкачественный характер, однако по клиническому течению (деструирующий рост, сильные кровотечения, частые рецидивы после операции, прорастание в околоносовые пазухи и даже в полость черепа) проявляющая себя как злокачественное образование (рис. 7.3).
Ангиофиброма встречается чаще всего у юношей в возрасте 10—18 лет, поэтому она называется юношеской; после 20 лет она обычно претерпевает обратное развитие. Считается, что фиброма носоглотки возникает из аномально отшнуровавших-ся в эмбриональном периоде остатков мезенхимы в носоглотке. Строма фибромы состоит из разнообразно расположенных соединительнотканных волокон и очень большого количества кровеносных сосудов. Источником роста опухоли может быть тело клиновидной кости, глоточно-клиновидная фасция и задние ячейки решетчатой кости — это сфеноэтмоидалъный тип фибромы. Отсюда опухоль может прорастать в решетчатый лабиринт, клиновидную пазуху, полость носа, глазницу и верхнечелюстную пазуху. Если опухоль растет из области свода носоглотки — базалъный тип фибромы, она может прорастать по направлению к ротоглотке. Когда фиброма начинается из области крыловидного отростка клиновидной кости — птериго-
максиллярный тип опухоли, она может прорастать в ретромаксил-лярное пространство, крылонебную ямку, внутрь черепа, глазницу и полость носа. В соответствии с направлением роста фибромы возникает асимметрия лица, сдавливаются и деформируются окружающие костные и мягкие ткани, что может привести к смещению глазного яблока, нарушению кровоснабжения различных отделов мозга, сдавлению нервных образований.
Клиника. Зависит от стадии распространения процесса. В практической работе удобна следующая классификация юношеских ангиофибром [Логосов B.C. и др., 1987]:
I стадия —опухоль занимает носоглотку и(или) полость
носа, костная деструкция отсутствует; II стадия — опухоль соответствует I стадии, но распространяется в крыловидную ямку, околоносовые пазухи, возможна костная деструкция;
III стадия — опухоль распространяется в глазницу, голов-
ной мозг;
IV стадия — опухоль соответствует III стадии, но распро-
страняется в пещеристый синус, зрительный перекрест и гипофизарную ямку.
В начале заболевания больной отмечает небольшое затруднение носового дыхания, першение в горле, незначительные катаральные явления. В дальнейшем дыхание через одну половину носа полностью прекращается и затрудняется через другую, нарушается обоняние, изменяется голос, лицо приобретает вид аденоидного. Наиболее тяжелый и часто встречаемый симптом — рецидивирующие носовые кровотечения, вызывающие анемию и ослабление организма. Опухоль может сопровождаться гнойным синуситом, гнойным средним отитом, что затрудняет своевременную диагностику.
При передней и задней риноскопии можно видеть округлую, гладкую или бугристую опухоль ярко-красного цвета, плотную при пальцевом исследовании или при ощупывании зондом. Фиброма обычно заполняет носоглотку и может свисать в средний отдел глотки. При пальпации опухоль может обильно кровоточить, основание ее определяется в верхнем отделе носоглотки.
Диагностика. Осуществляется на основании отмеченных симптомов с учетом данных эндоскопического (в том числе с использованием фиброэндоскопа), рентгенологического, а в ряде случаев и ангиографического исследования. При определении распространения опухолевого процесса решающая роль принадлежит КТ и МРТ (рис. 7.4). Дифференцировать юношескую ангиофиброму следует от аденоидов, хоанального полипа, папилломы, саркомы, раковой опухоли, аденомы. Окончательный диагноз устанавливают на основании биопсии, ко-

|
Рис. 7.4. Компьютерная томограмма черепа больного с юношеской ангиофибромой (указана стрелкой). Прорастание опухоли в глазницу, верхнечелюстную пазуху и решетчатые ячейки.
торая представляет определенные трудности и должна производиться только в ЛОР-стационаре, где имеются все условия для остановки кровотечения.
Лечение. Только хирургическое и по возможности радикальное, так как наблюдаются рецидивы. Учитывая быстрый рост опухоли, операция должна быть произведена как можно раньше. Вмешательство выполняют под наркозом; хирургические подходы — эндооралъный, эндоназалъный и трансмаксиляр-ный. Можно использовать модификации радикальных операций по Муру, Денкеру. Во время операции обычно наблюдается сильное кровотечение, ввиду чего необходимо массивное переливание крови. Перед удалением опухоли производят перевязку наружной сонной артерии, что значительно уменьшает кровопотерю.
В послеоперационном периоде проводят инфузионную, ге-мостатическую, антибактериальную терапию; при необходимости — лучевую дистанционную гамма-терапию. По месту жительства больному оформляется группа инвалидности.
7.2.3. Злокачественные опухоли глотки
В глотке чаще встречаются карциномы и саркомы, реже наблюдаются лимфоэпителиомы, цитобластомы, ретикулоцитами, смешанные опухоли. Мужчины болеют чаще, чем женщины, обычно в среднем возрасте.
Ранняя симптоматика злокачественных опухолей глотки скудна и малохарактерна. Появляется легкое ощущение неловкости или инородного тела в горле, першение, иногда распи-рание. В более поздних стадиях отмечается нарушение носового дыхания и заложенность уха, если опухоль в носоглотке; ощущение инородного тела и затруднение проглатывания пищи, а затем и слюны при наличии опухоли в ротоглотке; 544
нарушение проходимости вначале для густой, а затем и для жидкой пищи и нарушение дыхания, если опухоль в гортано-глотке. Эти явления вначале расцениваются больным как малозначащие, а врач нередко относит их за счет хронического фарингита или невроза.
Среди ранних симптомов опухоли носоглотки часто отмечается гиперсекреция слизи с сукровичной примесью; выделения возможны через ротоглотку или нос. Из носоглотки опухоль часто дает регионарные метастазы, прорастает в полость черепа, что сопровождается возникновением болей в челюсти, зубах и ухе одноименной стороны, появлением двоения в глазах и косоглазия. При распаде опухоли отмечаются сильные носовые кровотечения. Диагноз опухоли носоглотки устанавливают на основании отмеченных признаков и данных эндоскопического, пальпаторного и рентгенологического исследований. Хирургическое лечение при злокачественных опухолях носоглотки малоприменимо; эффективность лучевого и химиотерапев-тического воздействия зависит от чувствительности к ним опухоли.
При локализации опухоли в среднем отделе глотки (чаще — рак или саркома) выраженность симптомов зависит от величины опухоли, ее расположения и наличия или отсутствия распада. Появление болевых ощущений, дисфагии, поперхива-ния пищей, гнилостный запах изо рта являются признаками поздней стадии опухоли. Метастазирование такого новообразования наступает рано, нередко бывает сразу двусторонним.
Дифференцировать злокачественную опухоль среднего отдела глотки нужно от доброкачественных новообразований, па-ратонзиллита, ангины при заболеваниях крови, ангины Сима-новского—Плаута—Венсана. Лечение в раннем периоде комбинированное — хирургическое (диатермокоагуляция) и лучевое, в поздних стадиях — только лучевое и химиотерапия.
Гортаноглотка чаще поражается злокачественными опухолями, чем вышележащие отделы глотки. Здесь обычно бывают эпителиальные новообразования — карциномы, иногда смешанные опухоли. Первыми признаками опухоли гортаноглотки могут быть различные неприятные ощущения в глотке; при осмотре можно отметить застой слюны в том или ином грушевидном кармане. Относительно быстро возникает дисфагия, и это является показанием для прямой гипофарингоскопии и рентгеноконтрастного исследования. Если опухоль сдавливает черпаловидные хрящи и закрывает часть входа в гортань, появляются грубые признаки дисфагии, нарушение голоса, а иногда и дыхания. Рак гортаноглотки рано изъязвляется, появление в мокроте примеси крови указывает на распад новообразования.
При лечении опухолей гортаноглотки предпочтение отдает-
ся комбинированной терапии, при этом на первое место выступает хирургическое удаление опухоли с применением диа-термокоагуляции и в дальнейшем лучевого воздействия на пути лимфооттока. Подходы к опухоли осуществляются посредством боковой или передней фаринготомии. При значительном поражении опухолью передней стенки гортаноглотки иногда приходится удалять и гортань.
7.3. Новообразования гортани
Чаще всего различные опухолеподобные образования, доброкачественные и злокачественные опухоли локализуются в гортани. Все виды новообразований гортани имеют определенные клинические проявления, которые в немалой степени зависят от места локализации: в преддверии гортани, в области голосовой щели или в подголосовой полости. Лечение во всех случаях хирургическое и удаленные фрагменты новообразования в обязательном порядке направляются на гистологическое исследование.
7.3.1. Опухолеподобные образования гортани
Встречаются полипы голосовых складок и диффузные полипоз-ные образования, отличающиеся значительным разнообразием по форме, размерам, локализации. Чаще они располагаются на голосовых складках и бывают двусторонними. Происхождение таких полипов объясняется особой формой воспаления субэпителиального пространства голосовых складок. Это пространство, впервые описанное Reinke в 1895 г., находится между эпителием и краем эластического конуса голосовой складки и выполнено рыхлой соединительной тканью. При отеке этой ткани эпителий не в состоянии ограничить его; отек края голосовой складки постепенно увеличивается, развивается полип. Заболевание, представляющее собой своеобразный поли-позный ларингит, было описано Гаеком. Полипы, как правило, двусторонние, располагаются по свободному краю голосовых складок от передней комиссуры до голосового отростка черпа-ловидного хряща, на него обычно не распространяясь. Диагностика диффузных полипозных образований обычно не представляет труда. Лечение хирургическое, наиболее эффективно удаление полипов под контролем микроскопа.
Певческие узелки ("узелки крикунов"). Бывают чаще у лиц "голосовых" профессий и представляют собой эпителиальное образование типа ограниченной мозоли, локализующееся на фанице между передней и средней третями голосовых складок (см. рис. 4.11). Образование часто двустороннее; основная и
нередко единственная жадоба при этом заболевании — охриплость, которая постепенно профессирует. Лечение преимущественно хирургическое — эндоларингеальное удаление при непрямой или прямой ларингоскопии, лучше под контролем микроскопа. Поочередно, с интервалом в 2—3 нед узелки удаляют гортанным выкусывателем или с помощью лазера. Удаленную ткань, как правило, направляют на гистологическое исследование.







