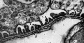
| Схема (I) и электронная микрофотография (II) - фильтрационный барьер. (Здесь приведена та же схема, что и выше. но с другими обозначениями - такими же, как на микрофотографии.) | ||
| Опреде- ление | а) Фильтрационный барьер – это совокупность структур, разделяющих просвет капилляра клубочка и полость капсулы. б) Через данный барьер происходит фильтрация плазмы крови. | I. Полный размер II. Полный размер |
| Компо- ненты барьера | Согласно вышеизложенному, барьер включает 3 компонента: эндотелий (1) капилляров, клетки которого имеют фенестры и поры (4), трёхслойную базальную мембрану (2) | |
и внутренний листок капсулы, чьи клетки – подоциты (3), – как выяснилось, не образуют непрерывного препятствия. | ||
| Факти- ческий барьер | а) Поэтому центральную роль в образовании барьера играет базальная мембрана. б) В её же составе в качестве фильтра (молекулярного сита) могут выступать протеогликаны и гиалуроновая кислота периферических слоёв либо (и) коллагеновая сеточка среднего слоя. |

28.2.3.3. Почечное тельце
при световой и электронной микроскопии
|
|
|
просвет капилляра клубочка
Полный размер II.
Полный размер