I. Обычный срез

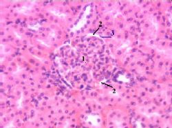
1,в. Препарат - почка. Окраска гематоксилин-эозином.
Неразличи- мые структуры а) На гистологическом препарате различить в почечном тельце все перечисленные ранее компоненты, разумеется, нельзя. б) Главная сложность в том, что вся внутренняя часть (1) тельца – это конгломерат клеток трёх видов: эндотелиоцитов капилляров, Полный размер
подоцитов внутреннего листка капсулы и мезангиоцитов обеих их разновидностей.
Различи- мые структуры Но обычно хорошо видны наружный листок (3) капсулы, состоящий из плоских клеток, и под ним – полость (2) капсулы (узкая щель).


II. Полутонкий срез

2,а. Препарат - почка; полутонкий срез. Окраска толуидиновым синим.
Техничес- кие отличия Данный препарат отличается от предыдущего тем, что срез является полутонким (это позволяет лучше различить детали) и использован другой краситель. Полный размер
Различи- мые структуры тельца а) Теперь в клубочке выявляются отдельные капилляры (1) и находящиеся в них эритроциты (2). б) Вновь можно видеть полость клубочка (3) и тонкий наружный листок (4) капсулы.
Место отхожде- ния канальца а) Но, кроме того, в срез попало место отхождения проксимального извитого канальца (5). б) В этом месте плоский эпителий наружного листка капсулы резко заменяется на кубический эпителий канальца (6).



double arrow
Сейчас читают про: