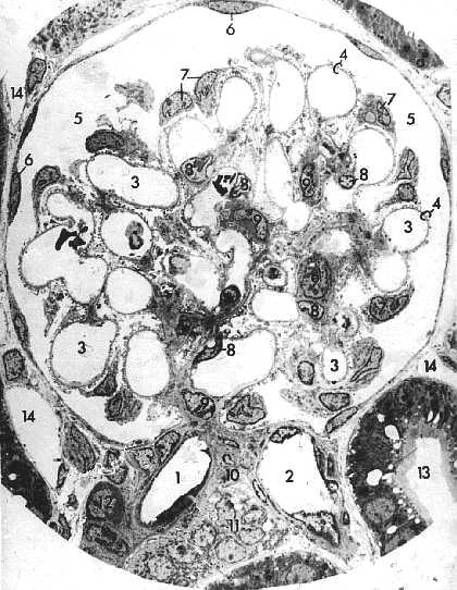
| Электронная микрофотография - почечное тельце. а) Наконец, наиболее полно компоненты почечного тельца выявляются под электронным микроскопом. б) Перечислим их в той же последовательности, как они были описаны в п. 28.2.3.1. | |
1. а) Сосуды:
приносящая артериола (1),
капилляры (3) клубочка
и их эндотелиоциты (8; отмечены ядросодержащие части клеток),
выносящая артериола (2).
б) Напомним, что участок почечного тельца, где входит приносящая и выходит выносящая артериолы иногда обозначается как его (тельца)
сосудистый полюс (10).
2. а) Капсула Шумлянского-Боумена:
париетальный листок (6) (образован однослойным плоским эпителием),
полость (5) капсулы.
|
|
висцеральный листок (7) (образован подоцитами; отмечены их выбухающие ядросодержащие тела);
б) Структуры, отделяющие просвет капилляров от полости капсулы, составляют
фильтрационный барьер (4).
3. Мезангиальные клетки (9; плохо видимая цифра - примерно в центре тельца).
4. Наконец, видны и некоторые образования, которые не входят в состав почечного тельца:
стенка дистального извитого канальца, прилегающая к почечному тельцу между двумя артериолами (самый низ снимка);
|
|
проксимальный извитой каналец (13) и капилляры канальцев (14).
|

|
|
|
28.2.4. Почечные канальцы
| Строение различных видов почечных канальцев тесно связано с их функцией, о которой говорилось выше. |

28.2.4.1. Корковое вещество:
проксимальные извитые канальцы
а) В корковом веществе (исключая мозговые лучи) расположены канальцы двух видов –
проксимальные извитые и дистальные извитые.
б) Вначале остановимся на первых из них.
|
приносящая артериола (1),






