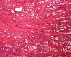
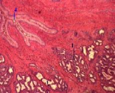
| 3,б-г. Препарат - предстательная железа собаки. Окраска гематоксилин-эозином. | ||
(Малое увеличение) б)Полный размер | (Другое поле зрения) в)Полный размер | (Большое увеличение) г)Полный размер |
| Концевые отделы | 1. По форме концевых отделов (1) ж е лезы простаты являются альвеолярно-трубчатыми. 2. В этих отделах – по крайней мере, три вида клеток: главные клетки – слизистые экзокриноциты кубической или призматической формы, вырабатывающие - все компоненты секрета простаты - и (как полагают некоторые авторы) несколько гормонов (см. выше); базальные, или стволовые, клетки – выглядят как мелкие вставочные клетки; относительно редкие эндокринные клетки, синтезирующие гормоны с паракринным действием. 3. Концевые отделы окружены гладкими миоцитами (2), чьё сокращение облегчает опорожнение концевых отделов при эякуляции. |
| Выводные протоки | 1. Выводные протоки (3), отходящие от концевых отделов, направляются к мочеиспускательному каналу (4). 2. а) У человека они имеют более широкий просвет, чем концевые отделы. б) У собаки же (как видно на снимке) протоки очень узкие. 3. В крупных выводных протоках эпителий - многорядный. |
| Группы желёз | По локализации железы простаты делят на 3 группы: железы в составе слизистой оболочкимочеиспускательного канала; железы в соединительной ткани вокруг мочеиспускательного канала, железы, находящиеся в остальной части простаты (и представляющие собственно предстательные железы). |
II. Мышечно-эластическая строма простаты
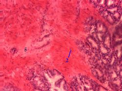
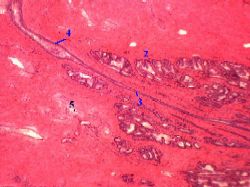
| 3,д-е. Препарат - предстательная железа собаки. Окраска гематоксилин- эозином. | (Малое увеличение) д)Полный размер | (Большое увеличение) е)Полный размер |
1. Как следует из названия стромы, в ней - два основных компонента: пучки гладких миоцитов (2) и рыхлая волокнистая соединительная ткань (5) с большим содержанием эластических волокон. 2. а) Мышечные пучки окружают дольки и в них отдельные концевые отделы двумя слоями – циркулярным и продольным. б) Кроме того, они окружают уретру(образуя её мышечную оболочку) - и тоже двумя слоями: внутренним продольным и наружным циркулярным.. |
III. Возрастные изменения
С возрастом (после 50-60 лет) железы простаты начинают атрофироваться, а соединительная ткань стромы – наоборот, разрастаться; кроме того, в просвете концевых отделов и протоков накапливаются конкреции – слоистые тельца, включающие - остатки разрушенных эпителиоцитов, - компоненты секрета желёз - и минеральные вещества (напр. фосфат кальция). |

29.3.2. Мужской половой член
Кожа
1. Кожа полового члена - очень тонкая, и под ней нет жирового слоя. 2. В то же время она содержит многочисленные нервные окончания (п. 27.1.5.2.I): в составе эпидермиса - свободные окончания, в сосочках дермы - осязательные тельца, в сетчатом слое дермы - пластинчатые (фатер-пачиниевы) тельца и колбы Краузе. (Два последних вида рецепторов имеются также в белочной оболочке пещеристых тел.) 3. Кроме того, в коже головки находятся сальные (препуциальные) железы. |

б)Полный размер
в)Полный размер
г)Полный размер
главные клетки – слизистые экзокриноциты кубической или призматической формы, вырабатывающие - все компоненты секрета простаты - и (как полагают некоторые авторы) несколько гормонов (см. выше);
д)Полный размер
е)Полный размер 





