| Здесь тоже начнём с напоминаний того, что было сказано в п. 29.2.1.2; а вместе с тем и существенно дополним сведения о функциях простаты. |
| Тканевой состав | а) Простата - паренхиматозный (т.е. неполый) непарный орган. б) Этот орган окружает начальную часть уретры и является мышечно-железистым, т.е. представляет собой совокупность многочисленных (30-50) отдельных желёзок, которые окружены соединительнотканной стромой, богатой гладкими миоцитами и эластическими волокнами. в) Такой состав прямо связан с функцией простаты. |
| Экзо- кринная функция | Как экзокринная железа, простата продуцирует секрет, пополняющий жидкую часть спермы. Вот лишь некоторые из его компонентов. а) Протеолитические ферменты (фибринолизин и др.): разрушая те или иные белки, разжижают сперму (уменьшают её вязкость - в отличие от секрета семенных пузырьков; см. выше). б) Фосфолипиды и их носители белки аннексины: благодаря им, в мембранах сперматозоидов холестерин замещается на фосфолипиды, что повышает лабильность мембран. в) Простасомы – мелкие мембранные пузырьки: связываются со сперматозоидами и тем самым препятствуют воздействию на них (со стороны женских половых путей) факторов иммунной защиты. г) Простагландины: стимулируют сократительную активность женских половых путей. Заметим, что само название простагландинов произошло от того, что они впервые были обнаружены в секрете простаты. |
| Эндо- кринная функция | Видимо, простата обладает и эндокринными функциями. Полагают, что среди её эндокринных продуктов – следующие вещества. а) Аналог гипофизарного ФСГ: тоже стимулирует деятельность яичек. б) Фактор, определяющий в эмбриогенезе развитие гипоталамуса по мужскому типу. в) Целая совокупность известных гормонов (серотонин, кальцитонин, соматостатин, холецистокинин). Последние вырабатываются специальными эндокринными клетками и, попадая не в кровь, а в межклеточное пространство (т.е. распространяясь паракринным способом), регулируют в самой простате сократительную активность миоцитов (серотонин, холецистокинин) и секреторную активность желёз (соматостатин). |
| Сократи- тельная функция | Наконец, как уже было сказано в п. 29.2.1.2, во время эякуляции мышечные элементы простаты выбрасывают секрет из желёзок и образуют непроизвольный сфинктер мочеиспускательного канала. |
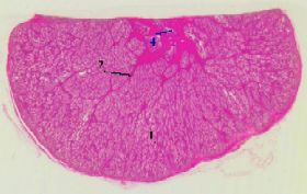
II. Компоненты паренхимы на препарате
| 3,а. Препарат - предстательная железа собаки. Окраска гематоксилин-эозином. |
1. Итак, простата является паренхиматозным мышечно-железистым органом. 2. В соответствии с этим, в ней присутствуют два основных элемента. | Полный размер |
| а) Многочисленные слизистые железы (1) | б) Мышечно-эластическая строма (2) |
| а) Отличаются сильным ветвлением концевых отделов. б) Протоки, сливаясь в более крупные, открываются в уретру. | Строма расходится от центра простаты прослойками: крупные прослойки разделяют простату на дольки, а мелкие проникают внутрь долек, окружая отдельные железы. |
| 3. Благодаря сочетанию разветвлённых желёз и многочисленных расходящихся прослоек, срез простаты выглядит как лист некоего экзотического растения. |
III. Простатическая часть уретры
| Уретра, или мочеиспускательный канал (4) проходит через простату в передней части последней. 1. Просвет канала - узкий, звёздчатой формы. 2. Как и предыдущие участки мочевыводящих путей, он выстлан переходным эпителием. | |
3. Под эпителием находятся собственная пластинка слизистой оболочки, подслизистая основа и гладкомышечная оболочка (см. также п. 29.3.2.4). |
