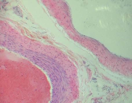
На препаратах просвет вены, как правило, имеют неправильную форму при отсутствии кровенаполнения. В стенке вены слабо развита мышечная оболочка и содержится незначительное количество эластических волокон, что часто приводит к деформации сосуда при приготовлении препарата. На препаратах нет четкой границы между внутренней и средней оболочками сосуда. Волокна соединительной ткани субэндотелиального слоя внутренней оболочки переходят в среднюю оболочку, в прослойки рыхлой волокнистой ткани, расположенной между гладкими миоцитами. Граница средней и адвентициальной оболочек четкая.
Задание:
При малом увеличении микроскопа:
а) найти внутреннюю оболочку. Оболочка очень тонкая. Видны ядра эндотелиоцитов. субэндотелиальный слой на препарате не виден.
б) найти мышечную оболочку. Оболочка сравнительно тонкая. Удлиненные базофильно окрашенные ядра гладких миоцитов расположены циркулярно и образуют 3-4 слоя.
в) найти адвентициальную оболочку. Рыхлая волокнистая соединительная ткань наружной оболочки окрашена оксифильно.
Фото. 1.3.1.; 1.3.3.
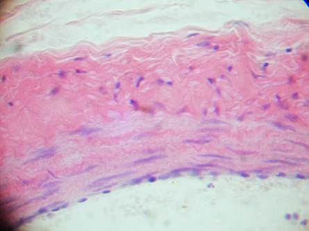
При большом увеличении микроскопа:
а) рассмотреть эндотелий сосуда
б) рассмотреть и сравнить толщину средней и наружней оболочек вены
Наружная оболочка примерно в три раза толще средней.
Фото 1.3.2.
Зарисовать препарат и обозначить на рисунке:
I. Внутреннюю оболочку
1. эндотелий
2. субэндотелиальный слой
II. Среднюю оболочку
3. ядра гладкомышечных клеток
III. Адвентициальную оболочку
4. рыхлую волокнистую соединительную ткань
Фото 1.3.1. Вена мышечного типа. Поперечный срез.
Гем.-Эоз. Малое увеличение.(Ув.10х7)
|
|
|
Фото 1.3.2. Вена мышечного типа. Поперечный срез.
Гем.-Эоз. Большое увеличение.(Ув.40х7)
|
|
|
Морфологические признаки, позволяющие отличить на гистологических препаратах артерию мышечного типа от вены:
1) в венах мышечные элементы в средней оболочке развиты слабее, чем в артериях; 2) в венах не развиты внутренние и наружные эластические мембраны; 3) свободная поверхность внутренней оболочка вены гладкая, а в артерии имеет извилистый контур.
Фото 1.3.3.
Фото 1.3.3. Артерия и вена. Поперечный срез.
Гем.-Эоз. Среднее увеличение.(Ув.20х7)
|
|







