На поперечном срезе артерии стенка сосуда относительно толстая, по сравнению с просветом. Свободная поверхность внутренней оболочки артерии, обращенная в просвет сосуда, имеет извилистый контур.Средняя оболочка хорошо выражена и состоит из циркулярных пучков гладких миоцитов. В результате дегидратации гладких миоцитов в процессе приготовления препарата происходит сжатие внутренней оболочки сосуда. Эндотелий, субэндотелиальный слой, внутренняя эластическая мембрана собраны в складки (имеют извилистый контур) из-за уменьшения объема средней оболочки. Эластические и, в основном, коллагеновые волокна соединительной ткани наружной оболочки расположены в основном вдоль сосуда. В наружной оболочке встречаются сосуды и нервы.
Задание:
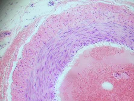
При малом увеличении микроскопа:
а) найти стенку артерии
б) найти внутреннюю оболочку. Оболочка очень тонкая, имеет складчатый контур.
в) найти среднюю оболочку. Гладкие миоциты образуют концентрические круги вокруг просвета сосуда. Цитоплазма гладких миоцитов окрашивается оксифильно, удлиненные ядра – базофильно.
г) найти адвентицию. Наружная оболочка представлена сетью оксифильно окрашенных волокон, в ней расположены сосуды сосудов.
Фото 1.2.1.; 1.2.3.
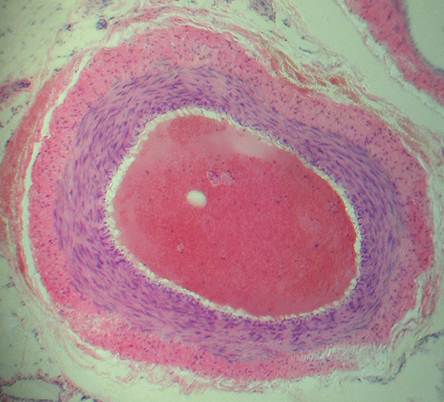
При большом увеличении микроскопа:
а) рассмотреть внутреннюю оболочку. Хорошо видны ядра эндотелиоцитов. Субэндотелиальный слой очень тонкий, практически не виден на препарате. Внутренняя эластическая мембрана имеет вид блестящей извитой полоски.
б) рассмотреть среднюю оболочку. Хорошо видны расположенные циркулярно, уплощенные ядра гладких миоцитов, коллагеновые и эластические волокна средней оболочки.
в) рассмотреть наружную оболочку, состоящую из волокон и клеток рыхлой соединительной ткани. Наружная эластическая мембрана в составе наружной оболочки тонкая и незаметна на срезе.
Фото 1.2.2.
Зарисовать препарат и обозначить на рисунке:
I. Внутреннюю оболочку
1. эндотелиальный слой
2. внутреннюю эластическую мембрану
II. Среднюю оболочку
3. ядра гладкомышечных клеток
4. эластические волокна
III. Адвентициальную оболочку
5. наружную эластическую мембрану
6. рыхлую волокнистую соединительную ткань
Фото 1.2.1. Артерия мышечного типа. Поперечный срез.
Гем.-Эоз. Малое увеличение. (Ув.10х7)
|
|
|
Фото 1.2.2. Артерия мышечного типа. Поперечный срез.
|
|
|
|
|







