Клетки железы – паратироциты – полигональной формы, мелкие, ядра окрашиваются базофильно. Различают светлые и темные паратироциты. Темные – активно секретирующие, светлые – покоящиеся клетки. По периферии долек встречаются оксифильные паратироциты. Эти клетки по размеру крупнее, чем главные и их цитоплазма розовая. Количество оксифильных паратироцитов увеличивается с возрастом. Соединительная ткань стромы хорошо развита, однако дольки выражены плохо. В соединительной ткани трабекул много сосудов и адипоцитов.
При малом увеличении микроскопа:
а) найти и рассмотреть паратироциты. Паратироциты расположены группами. Границы клеток малоразличимы, хорошо видны только ядра.
б) найти капсулужелезы. Это слой оксифильно окрашенных волокон, расположенных по периферии органа.
в) найти междольковую соединительную ткань. В волокнах соединительной ткани расположены многочисленные сосуды и группы адипоцитов.
г) найти гемокапилляр
Зарисовать препарат и обозначить на рисунке:
|
|
|
1. капсулу
2. междольковую соединительную ткань
3. междольковый сосуд
4. паратироциты
5. адипоциты
6. гемокапилляр
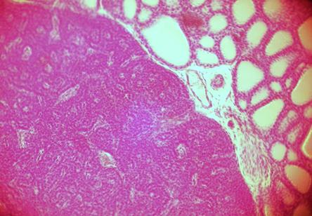
Фото. 3.3.1. Паращитовидная железа. Гем.-Эоз.
Малое увеличение. (Ув.10х7)
|
|
|
|
|
|
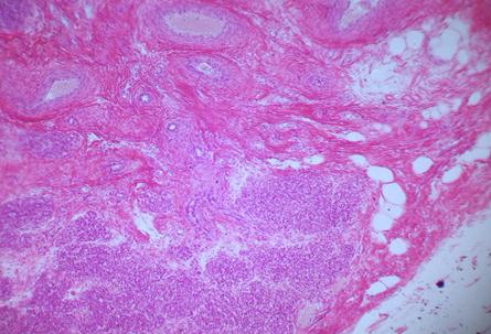
Фото. 3.3.2. Паращитовидная железа на задней поверхности щитовидной железы, погруженная в ее капсулу. Гем.-Эоз.
Малое увеличение. (Ув.10х7)
|
|
|







