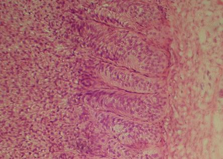
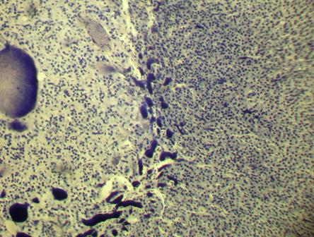
Кора надпочечника состоит из тяжей эндокриноцитов. В клубочковой зоне мозговые эндокриноциты мелкие, образуют тяжи в виде арок. Наиболее выражена пучковая зона. Клетки этой зоны крупные, содержат значительное количество липидов. Тяжи клеток расположены параллельными пучками, направленными к мозговому веществу надпочечника. В сетчатой зоне коры эпителиальные тяжи переплетаются и идут в различных направлениях, образуя сеть. В этой зоне расположены самые мелкие клетки коркового вещества надпочечника. Прослойки соединительной ткани в коре надпочечника незначительны, многочисленные сосуды, расположенные между эндокриноцитами, имеют вид щелей.
В мозговом веществе надпочечника крупные клетки нервной природы (хромаффиноциты) образуют скопления вокруг синусоидных капилляров. В мозговом веществе расположены крупные венозные синусы.
При малом увеличении микроскопа:
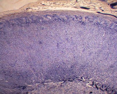
а) найти капсулу. Волокна, расположенные по периферии органа оксифильно окрашены (гем.-эоз.) или серо-черного цвета (железный гем.). В капсуле располагаются вегетативные ганглии, скопления адипоцитов, нервы, сосуды.
б) найти кору и границу между корой и мозговым веществом. В корковом веществе видны цепочки клеток (цитоплазмой розового цвета, ядра - синего при окраске гем.-эоз.,
При окраске железным гем. цитоплазма клеток серая, ядра – черные. В мозговом веществе клетки более крупные, расположены диффузно.
в) найти зоны коры. Под капсулой клетки образуют клубочки; в пучковой зоне – видны тяжи клеток радиально направленных параллельными пучками к мозговому веществу; в сетчатой зоне тяжи клеток переплетаются, образуя сеть.
г) рассмотреть хромаффиноциты мозгового вещества. Эти крупные эндокриноциты расположены рыхлыми скоплениями вокруг синусоидных капилляров.
д) найти венозный синус. В центре мозгового вещества расположена крупная полость – мозговой венозный синус.
Зарисовать препарат и обозначить на рисунке:
1. капсулу
2. корковое вещество
3. корковые эндокриноциты
4. клубочковую зону
5. пучковую зону
6. синусоидные капилляры
7. сетчатую зону
8. мозговое вещество
9. хромаффиноциты
10. венозный синус
Фото. 3.4.1. Надпочечник. Железный гем.
Малое увеличение. (Ув.10х7)
Фото. 3.4.2. Надпочечник. Гем.-Эоз.
Малое увеличение. (Ув.10х7)
Фото. 3.4.3. Клубочковая зона коры надпочечника. Гем.-Эоз.
Большое увеличение. (Ув.40х7)
| «клубочки» корковых эндокриноцитов | |
Фото.3.4.4. Пучковая зона коры надпочечника. Железный гем.
Большое увеличение. (Ув.20х7)
Фото. 3.4.5. Сетчатая зона коры и мозговое вещество надпочечника. Железный гем.
Среднее увеличение. (Ув.20х7)
| гемокапилляры сетчатой зоны коркового вещества | |
| синусоидные капилляры мозгового вещества | |
