Основное значение для врача приобретает анамнез заболевания (указание на травму, заболевание легких, резкое начало симптоматики).
Проявлением пневмоторакса является резко возникшие одышка и боль в грудной клетке. В связи с болью в груди дыхание становится поверхностным и частым.
Осмотр: больной бледен, может отмечаться синюшность кожных покровов. Движения грудной клетки ассиметричны. Дыхание поверхностное и частое. При напряжённом пневмотораксе — слабый быстрый пульс, артериальная гипотензия, набухание шейных вен.
Пальпация: Ослабление голосового дрожания на стороне поражения. Может определяться подкожная эмфизема.
Перкуссия: смещение границ сердца в здоровую сторону, на пораженной стороне – тимпанический перкуторный звук.
Аускультация: дыхательные шумы на стороне поражения ослаблены либо отсутствуют.
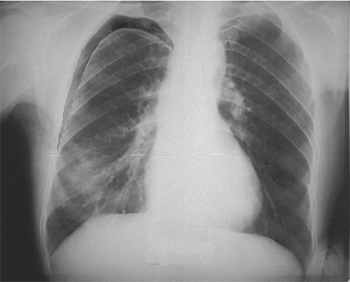
Рентгенологически: воздух в плевральной полости, выявляемый как зона отсутствия легочного рисунка по периферии грудной клетки в верхних отделах, ателектаз (спадение) легкого с четко очерченным краем, возможно смещение сердца в здоровую сторону (рис. 4).

Рис. 4. Пневмоторакс






