Жалобы. В течение абсцесса различают два периода — до и после прорыва в бронх. В начале заболевания больные жалуются на боль в боку, сухой кашель, плохое самочувствие. Температура повышается до 40°, причем наблюдаются большие колебания утром и вечером, падение температуры сопровождается проливным потом.
Второй период характеризуется прорывом гнойника в приводящий бронх и выделением большого количества мокроты («полным ртом»). При абсцессе мокрота при стоянии разделяется на несколько слоев, зловонна.
После прорыва мокроты в бронх температура и лейкоцитоз нормализуются, самочувствие больных улучшается, появляется аппетит. Кашель становится продуктивным. После прорыва абсцесса иногда наблюдаются периоды улучшения и ухудшения самочувствия. Ухудшение вызывается закупоркой дренирующего бронха и задержкой гнойного содержимого. В целях облегчения выделения гноя из полости рекомендуют лежать на здоровом боку, при расположении гнойника в верхних долях мокрота лучше отходит при лежании на животе.
|
|
|
Объективный осмотр
Осмотр. Кожные покровы бледные, возможно отставание пораженной половины грудной клетки при дыхании, тахипноэ.
Пальпация. В первый период (до вскрытия абсцесса) – усиление голосового дрожания над очагом.
Перкуссия. В первый период – притупление перкуторного звука над поражением. После вскрытия определяется тимпанит с металлическим оттенком (при большой полости) или коробочный звук (при более мелкой полости).
Аускультация В первый период – ослабленное везикулярное дыхание, усиление бронхофонии, после вскрытия абсцесса в бронх – амфорическое дыхание (при крупной полости).
Лабораторные данные. Отмечается нейтрофильный лейкоцитоз со сдвигом лейкоцитарной формулы влево и ускорение СОЭ.
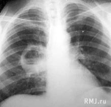
При рентгенографическом исследовании до прорыва абсцесса выявляется участок равномерного затемнения с округлыми контурами и увеличение лимфатических узлов у корня легкого. После прорыва гнойника в бронх определяется овальной формы полость с четкими границами (рис.5), горизонтальным уровнем жидкости и газовым пузырем над ней.
Исходы и осложнения. Абсцесс в большинстве случаев поддается терапевтическому лечению и в течение 4-5 недель заканчивается выздоровлением. Среди осложнений можно отметить плевриты, в том числе гнойные, кровотечения. Серьезным осложнением является и пиопневмоторакс, который возникает в результате прорыва гнойника в полость плевры и сопровождается острой болью в боку, коллапсом, иногда со смертельным исходом.

Рис. 5. Абсцесс правого легкого
Другие причины формирования полости в легком: туберкулез легких (туберкулезная каверна), распад опухоли легкого, кисты легких.
|
|
|
ТЕСТОВЫЕ ЗАДАНИЯ
Выберите один или несколько правильных ответов
1. ПЕРКУТОРНЫЙ ЗВУК НАД ГЛАДКОСТЕННОЙ ПОЛОСТЬЮ, БОЛЬШИХ РАЗМЕРОВ, ИМЕЮЩЕЙ СВОБОДНОЕ СООБЩЕНИЕ С БРОНХОМ, ИМЕЕТ СЛЕДУЮЩИЙ ХАРАКТЕР
1) тимпанический
2) металлический
3) звука треснувшего горшка
4) коробочный
5) легочной
2. БОЛЬ В ПРАВОЙ ПОЛОВИНЕ ГРУДНОЙ КЛЕТКИ, УСИЛИ-ВАЮЩАЯСЯ ПРИ ГЛУБОКОМ ВДОХЕ И СОПРОВОЖДАЮЩАЯСЯ СУХИМ КАШЛЕМ НА ВЫСОТЕ ВДОХА. ЭТО
1) воспаление трахеи (трахеит)
2) воспаление плевры (сухой плеврит)
3) поражение межреберных мышц и нервов
4) перенапряжение дыхательных мышц (диафрагмы) при кашле, (мышечные боли)
5) бронхиальная астма
3. ТИМПАНИЧЕСКИЙ ПЕРКУТОРНЫЙ ЗВУК НАБЛЮДАЕТСЯ ПРИ
1) компрессионном ателектазе
2) пневмотораксе
3) остром бронхите
4) пневмонии
5) полости в легком, сообщающейся с бронхом
4. ОСЛАБЛЕНИЕ ГОЛОСОВОГО ДРОЖАНИЯ ВОЗНИКАЕТ ПРИ
1) сухом плеврите
3) гидротораксе
4) хроническом бронхите
5) эмфиземе легких
5. ПОСЛОЙНОЕ РЕНТГЕНОЛОГИЧЕСКОЕ ИССЛЕДОВАНИЕ ЛЕГКИХ
1) бронхография
2) спирография
3) томография
4) флюорография
5) сонография
6. СКОПЛЕНИЕ ВОЗДУХА В ПЛЕВРАЛЬНОЙ ПОЛОСТИ НАЗЫВАЕТСЯ
1) гемоторакс
2) гидроторакс
3) пневмоторакс
4) эмфизема
7. ПРИ ПНЕВМОТОРАКСЕ ПЕРКУТОРНЫЙ ЗВУК
1) коробочный
2) тимпанический
3) тупой
4) ясный
8. ПОВЫШЕННАЯ ВОЗДУШНОСТЬ ЛЕГКИХ - ЭТО
1) ателектаз
2) пневмония
3) пневмосклероз
4) эмфизема
9. ПРИ МАССИВНОМ ПЛЕВРАЛЬНОМ ВЫПОТЕ ОДНОМОМЕНТНО МОЖЕТ БЫТЬ УДАЛЕНО ЖИДКОСТИ
1) 0.5 л
2) 1 л
3) 1.5 л
4) 2 л
5) 3 и более л
10. ВНЕЗАПНОЕ ВЫДЕЛЕНИЕ БОЛЬШОГО КОЛИЧЕСТВА ЗЛОВОН-НОЙ МОКРОТЫ ХАРАКТЕРНО ДЛЯ
1) абсцесса легких
2) рака легкого
3) бронхоэктатической болезни
4) туберкулеза легких
5) обструктивного бронхита
11. КРОВОХАРКАНЬЕ ВОЗМОЖНО ПРИ ЗАБОЛЕВАНИИ ЛЁГКИХ
1) пневмония
2) инфаркт легкого
3) бронхиальная астма
12. ПРИ СИНДРОМЕ СКОПЛЕНИЯ ЖИДКОСТИ В ПЛЕВРАЛЬНОЙ ПОЛОСТИ ПЕРКУТОРНЫЙ ЗВУК
1) коробочный
2) тимпанический
3) тупой
4) ясный
13. ПРИ СИНДРОМЕ СКОПЛЕНИЯ ЖИДКОСТИ В ПЛЕВРАЛЬНОЙ ПОЛОСТИ ОРГАНЫ СРЕДОСТЕНИЯ
1) не смещаются
2) смещаются в здоровую сторону
3) смещаются в больную сторону
4) возможен любой вариант
14. МОКРОТА ПРИ АБСЦЕССЕ ЛЕГКОГО
1) прозрачная, стекловидная
2) зловонная, трехслойная
3) белёсая, полупрозрачная
4) скудная, без запаха
15. БОЛЬНОЙ ПРИ СУХОМ ПЛЕВРИТЕ ЖАЛУЕТСЯ НА
1) лихорадку, боли в грудной клетке при кашле и дыхании, сухой кашель
2) лихорадку, кашель с обильной зловонной мокротой
3) боли в грудной клетке при физической нагрузке
4) приступы удушья
5) одышку и кашель при горизонтальном положении тела
16. ФАКТОР, СПОСОБСТВУЮЩИЙ РАЗВИТИЮ ПЛЕВРИТА
1) переохлаждение
2) травма
4) иммунодефицит
5) все перечисленное
17. РЕНТГЕНОЛОГИЧЕСКИ ПРИ ПЛЕВРИТЕ ВЕРХНИЙ ДУГООБРАЗ-НЫЙ УРОВЕНЬ ЭКССУДАТА НОСИТ НАЗВАНИЕ
1) линия Дамуазо
2) пространство Траубе
3) треугольник Гарленда
4) треугольник Грокко
5) точка Керра
Дополните предложения
18. БРОНХОФОНИЯ ПРИ СИНДРОМЕ ЗАКРЫТОГО ПНЕВМО-ТОРАКСА__________
19. ПЛЕВРАЛЬНАЯ ПУНКЦИЯ ПРОВОДИТСЯ ПО_____ЛИНИИ В _____МЕЖРЕБЕРЬЕ
20. ПЛЕВРАЛЬНЫЙ ВЫПОТ МОЖЕТ БЫТЬ ЭКССУДАТОМ И _______






