Недостаточность:
Створки не герметичны. В диастолу часть крови из аорты возвращается в его полость, происходит перегрузка левого желудочка. Аорта расширяется в восходящей части в следствии увеличенного выброса крови и возникает гипертрофия миокарда левого желудочка.
Рентгеноскопия: глубокие и быстрые сокращения левого желудочка, размашистая, пульсация восходящей части аорты.

СХЕМА НАРУШЕНИЯ ГЕМОДИНАМИКИ ПРИ НЕДОСТАТОЧНОСТИ АОРТАЛЬНЫХ КЛАПАНОВ.
1 — левый желудочек (значительно дилятирован и гипертрофирован); 2 — аорта (равномерно расширена).
Объяснение механизма нарушения гемодинамики. Во время диастолы левого желудочка полость его заполняется не только кровью, поступающей из левого предсердия, но и в значительной мере кровью, возвращающейся из аорты через дефект полулунных клапанов. В результате этого полость левого желудочка переполняется кровью, возникает его первичная дилятация, а увеличенный ударный объем крови при выраженной гиперсистоле выбрасывается в аорту. В связи с этим начальная часть аорты п ее дуга резко расширяются п сразу же спадаются в результате обратного тока крови в левый желудочек. Внезапное повышение артериального давления с быстрым падением его создает выраженную пульсацию аорты. До появления относительной недостаточности митрального клапана при этом пороке основные изменения наблюдаются в левом желудочке и аорте. С появлением же относительной недостаточности митрального клапана наступает «митралнзация» аортального порока с изменением пульсаций, характерных для аортальной недостаточности
|
|
|
Рентгенография: - аортальная форма сердца. Талия, в результате удлинения и выпуклости дуги аорты и левого желудочка, заметно углублена и подчеркнута.

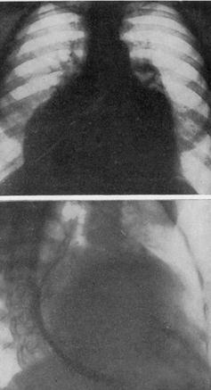
РЕНТГЕНОГРАММЫ БОЛЬНОГО С НЕДОСТАТОЧНОСТЬЮ АОРТАЛЬНЫХ КЛАПАНОВ.
Типичная аортальная конфигурация сердца. Локальное увеличение левого желудочка. Расширение аорты. На рентгенокимограмме — возбужденная пульсация по дуге левого желудочка. На аорте — зубцы по амплитуде значительно превышают желудочковые.
УЗИ: - расширение полости левого желудочка.
- увеличение давления в надклапанном отделе аорты,
- повышение амплитуды и скорости движения стенки левого желудочка.
- гипертрофия миокарда.
ДЭХОКБ и рентгенконтрастная аорторграфия: визуализация регургитирующего потока крови из аорты в левый желудочек.
Стеноз устья аорты:
Левый желудочек полностью не опорожняется в фазу систолы, в нем появляется дополнительный объем крови, вследствие чего расширяется.

СХЕМА НАРУШЕНИЯ ГЕМОДИНАМИКИ ПРИ СТЕНОЗЕ АОРТАЛЬНОГО ОТВЕРСТИЯ.
1 — левый желудочек (гипертрофирован); 2 — аорта (с выраженным сужением отверстия).
|
|
|
Объяснение механизма нарушении гемодинамики. В момент систолы левого желудочка, при сужении устья аорты, возникают препятствия к прохождению крови из левого желудочка в аорту. Кровь под повышенным давлением узкой струей проходит в аорту, встречая на своем пути стенку начальной части восходящей аорты. Хотя время изгнания крови из желудочка в аорту удлиняется, однако не вся кровь полностью выбрасывается из левого желудочка, и большой круг кровообращения вследствие этого частично обедневает. В период диастолы левый желудочек принимает кровь из левого предсердия, которая с оставшейся кровью увеличивает полость левого желудочка (тоногенная дилятация), а последующие гиперсистолы приводят к гипертрофии мускулатуры. Таким образом, при этом пороке больше всего страдают левый желудочек и большой круг кровообращения.
Рентгенография:
- аортальная форма сердца: дуга левого желудочка закруглена и смещена влево,
- расширение восходящей части аорты, т. к. в ней через суженное отверстие аортального клапана устремляется сильная струя крови, поэтому дуга аорты больше чем в норме выступает в легочное поле,
- смещение вниз правого кардиовазального угла.

РЕНТГЕНОГРАММЫ БОЛЬНОГО СО СТЕНОЗОМ АОРТАЛЬНОГО ОТВЕРСТИЯ
Типичная аортальная конфигурация. Увеличение левого желудочка влево и кзади. Восходящая аорта расширена, а на рент-генокимограммах большие по амплитуде зубцы в этом отделе По дуге аорты зубцы уменьшены. На томограмме — обызвествление в области аортальных клапанов.
Рентгеноскопия: медленное, напряженное движение стенок левого желудочка.
УЗИ: увеличение левого желудочка гипертрофия миокарда, уменьшение систолического расхождения створок аортального клапана; утолщение, уплотнение, обызвествление аортального клапана; уменьшение площади аортального устья.
ДЭХОКТ: увеличение максимальной скорости аортального кровотока, увеличение систолического градиента давления на аортальном клапане.

СХЕМА НАРУШЕНИЯ ГЕМОДИНАМИКИ ПРИ НЕДОСТАТОЧНОСТИ ТРЕХСТВОРЧАТОГО КЛАПАНА.
1 — левый желудочек; 2 — аорта; 3 — правый желудочек (ди-лятирован, стенка его гипертрофирована); 4 — правое предсердие (резко дилятировано); 5 — левое предсердие; 6 — верхняя полая вена (расширена); 7 — нижняя полая вена (расширена); 8 — трехстворчатый клапан с выраженной недостаточностью при смыкании.
Объяснение механизма нарушения гемодинамики. Недостаточность трехстворчатого клапана может быть органического и функционального характера. Очень часто осложняет митральный стеноз. В момент систолы правого желудочка кровь из него поступает не только в легочную артерию, но и в полость правого предсердия, которое аналогично левому при недостаточности двустворчатого клапана расширяется, после чего увеличенный объем крови правого предсердия поступает в правый желудочек. Это создает гипертрофию и дилятацию правого предсердия и правого желудочка. При потере тонуса сердечной мышцы появляется застой в системе полых вен.

РЕНТГЕНОГРАММЫ БОЛЬНОГО СО ВТОРИЧНОЙ НЕДОСТАТОЧНОСТЬЮ ТРЕХСТВОРЧАТОГО КЛАПАНА
(при митральном стенозе).
В прямой проекции — митральная конфигурация сердца. Правая граница сердца значительно отодвинута вправо. В первой косой проекции — заполнение ретрокардиального пространства не только в верхнем отделе (за счет левого предсердия), но и внизу (правое предсердие). Во второй косой проекции, кроме увеличения левого предсердия и правого желудочка, отмечается изменение переднего сердечно-сосудистого угла (вместо тупого он почти прямой).
Рентгенодиагностика базируется на значительном отодвигании границы сердца вправо, выполнении ретрокардиального пространства в нижнем отделе в первой косой проекции и уменьшении сердечно-сосудистого угла до прямого спереди во второй косой проекции.
|
|
|

РЕНТГЕНОГРАММЫ БОЛЬНОГО СО СТЕНОЗОМ ПРАВОГО ВЕНОЗНОГО ОТВЕРСТИЯ.
В изолированном виде встречается довольно редко, чаще сочетается с поражением митрального и аортального клапанов. Рентгенодиагностика очень трудна. На представленных рентгенограммах в трех типичных проекциях выявляется венозный застой в легких. Резкое увеличение размеров сердца, особенно вправо. На рентгенограмме в первой косой проекции с кон-трастированным пищеводом последний заметно оттеснен кзади по дуге большого радиуса (левым предсердием). В нижнем отделе ретрокардиалыюго пространства тень сердца выходит за пределы контрастированного пищевода (увеличение правого предсердия) — недостаточность митрального клапана, стеноз правого венозного отверстия

СХЕМА НАРУШЕНИЯ ГЕМОДИНАМИКИ ПРИ ОТКРЫТОМ АРТЕРИАЛЬНОМ ПРОТОКЕ.
1 — левый желудочек (увеличен); 2 — аорта (расширена); 3 — правый желудочек (может быть увеличен); 4 — правое предсердие; 5 —левое предсердие (увеличено слегка); 6— верхняя полая вена; 7 — нижняя полая вена; 8 — артериальный конус; 9, 10 — легочные артерии (расширены); 11—14 — легочные вены (умеренно расширены); 15 — незаращенный боталлов проток.
Объяснение механизма нарушения гемодинамики. В результате значительного преобладания давления в аорте по сравнению с давлением в легочной артерии часть крови из аорты через артериальный проток попадает в легочную артерию (иногда в левую ее ветвь); в этот же момент правый желудочек тоже выбрасывает кровь из своей полости в легочную артерию. Сосуды легкого переполняются кровью; при этом часть крови, поступающей из легких, снова возвращается в легкие, минуя большой круг кровообращения. Аорта постепенно расширяется. Через левые камеры сердца прогоняется дополнительное количество крови, сброшенное через артериальный проток, тогда как правые камеры недополучают определенное количество крови из-за обеднения большого круга кровообращения. Для сохранения нужного давления крови в большом круге левый желудочек производит большую работу, в силу чего он гипертрофируется, а так как он еще и перекачивает большее против нормы количество крови, он и расширяется. Если вначале на увеличение объема крови легочная артерия и ее ветви реагируют расширением просвета без повышения давления (гиперволемия), то с возрастом больного или при значительном сбросе, для предупреждения отека легкого и чрезмерного переполнения левых отделов сердца, наступает спазм легочных артериол, что приводит к легочной гипертензии. Она увеличивает нагрузку на правый желудочек и вызывает его увеличение.
|
|
|
Таким образом, при открытом артериальном протоке вначале возникает увеличение левых отделов сердца (больше левого желудочка) и гиперволемия малого круга кровообращения. С развитием легочной гипертензии возникает увеличение и правых отделов сердца. Пульсация левого желудочка и аорты усилена.

РЕНТГЕНОГРАММЫ БОЛЬНОГО С ОТКРЫТЫМ АРТЕРИАЛЬНЫМ ПРОТОКОМ.
Гиперволемня. Корни расширены, но структурны, содержат так называемые вишни (тангенциальное сечение расширенных артерий). Увеличен левый желудочек, умеренно — левое предсердие. Расширена аорта. На рентгенокимограмме усиленная пульсация по дуге левого желудочка и аорте. На внутренней ангиокардиограмме правые камеры не контрастированы. Контрастное вещество в левом желудочке и аорте. Повторное контрастирование легочной артерии. Электрокимография: на кривой основного ствола легочной артерии — крутой подъем, заостренная вершина и низко расположенный зубец захлопывания полулунных клапанов. На кривой с правой ветви легочной артерии волна «шунта» (дополнительный подъем кривой в протодиастоле).

СХЕМА НАРУШЕНИЯ ГЕМОДИНАМИКИ ПРИ ДЕФЕКТЕ МЕЖЖЕЛУДОЧКОВОИ ПЕРЕГОРОДКИ
(БОЛЕЗНЬ ТОЛОЧИНОВА—РОЖЕ).
1 — левый желудочек; 2 — аорта; 3 — правый желудочек (увеличен);
4 — правое предсердие; 5 — левое предсердие; 6 — дефект межжелудочковой перегородки.
Объяснение механизма нарушения гемодинамики. В момент систолы сброс крови происходит из левого желудочка в правый (из-за более высокого давления в полости левого желудочка). Правый желудочек и система легочной артерии переполняются кровью и расширяются. Легочная гипертензия развивается при довольно больших дефектах перегородки и вызывает гипертрофию правого желудочка. Давление в нем повышается и может измениться направление сброса крови. При таком состоянии гипертрофируется и левый желудочек. Таким образом, при этом пороке страдает правый желудочек, сосуды малого круга кровообращения, а при возникновении легочной гипертензии — левый желудочек.

РЕНТГЕНОКИМОГРАММЫ БОЛЬНОГО С БОЛЕЗНЬЮ ТОЛОЧИНОВА — РОЖЕ.
Гиперволемия. Срединное положение сердца. Талия сглажена. Увеличен правый желудочек; па правом контуре сердца желудочковые зубцы на большом протяжении. Амплитуда их превышает таковую зубцов левого желудочка. Во второй косой проекции дополнительно отмечается умеренное увеличение левого предсердия.

СХЕМА НАРУШЕНИЯ ГЕМОДИНАМИКИ ПРИ КОМПЛЕКСЕ ЭЙЗЕНМЕНГЕРА.
1 — левый желудочек (не изменен, но может быть и увеличен); 2 — аорта («верхом сидящая» на межжелудочковой перегородке, по диаметру уже, чем легочная артерия); 3 — правый желудочек (расширен и гипертрофирован); 4 — правое предсердие (незначительно увеличено); 5 —левое предсердие (не изменено, но может быть увеличенным); 6,7 — полые вены; 8 — артериальный конус (выбухает); 9, 10 — легочные артерии (расширены); 11 — мелкие разветвления легочной артерии (обогащенные кровью); 12 — мелкие вены (обогащенные кровью); 13 — высокий дефект межжелудочковой перегородки.
Объяснение механизма нарушения гемодинамики. Из-за высоко расположенного п значительного по размерам дефекта мембранозной части межжелудочковой перегородки гемодинамика нарушена в большей степени, чем при дефекте в мышечной части перегородки. В момент систолы левого желудочка кровь в большом количестве поступает в правый желудочек и легочную артерию. Последние расширяются и гипертрофируются. При этом пороке значительно чаще и раньше возникает легочная гнпертензия, при которой может быть сброс крови влево с клиническим цианозом. Как правило, увеличиваются и оба предсердия.
