![]() | ||||||||||||
![]() | ||||||||||||
![]() | ||||||||||||
![]() | ||||||||||||
![]() | ||||||||||||
![]() | ||||||||||||
![]() | ||||||||||||
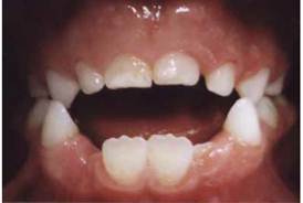
Мезиальная окклюзия
![]() | |||||||
![]() | |||||||
![]() | |||||||
![]() | |||||||
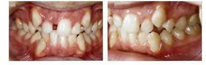
Открытый прикус
![]() | |||||||||||
![]() | |||||||||||
![]() | |||||||||||
![]() | |||||||||||
![]() | |||||||||||
![]() | |||||||||||
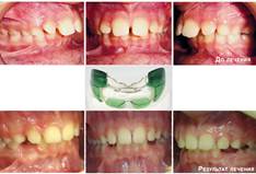
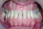
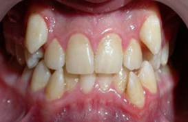
Глубокая окклюзия
![]() | |||||||
![]() | |||||||
![]() | |||||||
![]() | |||||||
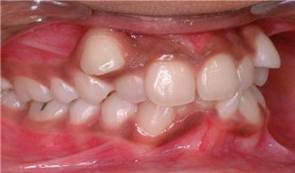
Перекрестная окклюзия
![]() |
Пропозиция передних зубов
![]() | |||
![]() | |||
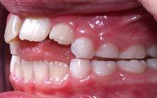
Вестибулярное положение клыков.
![]() | |||
![]() | |||
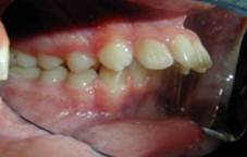
Мезиопозиция боковых зубов
![]() | |||
![]() | |||
Супрапозиция зубов верхней челюсти. Инфрапозиция зубов нижней челюсти
![]() |
Эндопозиция боковых зубов

Латеропозиция передних зубов.
![]() |
Тортопозиция зубов.
![]() |
Транспозиция зубов






































